Nefropatia toczniowa
| lupus nephritis | |
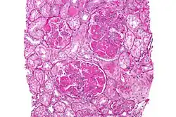
![]() Nerka zajęta przez rozlane rozplemowe kłębuszkowe zapalenie nerek w przebiegu tocznia układowego |

Nefropatia toczniowa – glomerulopatia wtórna zapalna, w której uszkodzenie miąższu nerek spowodowane jest toczniem rumieniowatym układowym. Do zmian w nerkach dochodzi u około 50% chorych z SLE[1].
Objawia się białkomoczem, krwiomoczem, nadciśnieniem tętniczym, niewydolnością nerek[1].
Klasyfikacja histopatologiczna WHO (1982, rewizja w 1995)[2]:
- Klasa I: minimalne zmiany mezangialne (ang. minimal mesangial glomerulonephritis; 10-25%)
- Klasa II: zmiany mezangialne rozplemowe ze złogami w mezangium (ang. mesangial proliferative glomerulonephritis)
- Klasa III: ogniskowe rozplemowe kłębuszkowe zapalenie nerek (ang. focal proliferative nephritis; 20-35%)
- Klasa IV: rozlane rozplemowe lub błoniastorozplemowe kłębuszkowe zapalenie nerek (ang. diffuse proliferative nephritis; 35-60%)
- Klasa V: błoniaste kłębuszkowe zapalenie nerek (ang. membranous nephritis)
- Klasa VI: zaawansowane stwardnienie kłębuszków (ang. glomerulosclerosis)
Klasyfikacja ICD10
| kod ICD10 | nazwa choroby |
|---|---|
| ICD-10: N08.5 | Zaburzenia kłębuszków nerkowych w przebiegu układowych chorób tkanki łącznej |
| ICD-10: N16.4 | Zaburzenia cewkowo-śródmiąższowe nerek w układowych zaburzeniach tkanki łącznej |
| ICD-10: M32.1 | Toczeń rumieniowaty układowy z zajęciem narządów |
Przypisy
- 1 2 Andrzej Szczeklik (red.): Choroby wewnętrzne, tom II. Wydawnictwo Medycyna Praktyczna, 2005, s. 1661, 1294-1295. ISBN 83-7430-069-8.
- ↑ Weening JJ, D'Agati VD, Schwartz MM, Seshan SV, Alpers CE, Appel GB, Balow JE, Bruijn JA, Cook T, Ferrario F, Fogo AB, Ginzler EM, Hebert L, Hill G, Hill P, Jennette JC, Kong NC, Lesavre P, Lockshin M, Looi LM, Makino H, Moura LA, Nagata M. The classification of glomerulonephritis in systemic lupus erythematosus revisited. „Journal of the American Society of Nephrology : JASN”. 2 (15), s. 241–50, luty 2004. PMID: 14747370.
Przeczytaj ostrzeżenie dotyczące informacji medycznych i pokrewnych zamieszczonych w Wikipedii.
