Objaw powietrznego rąbka w kształcie półksiężyca

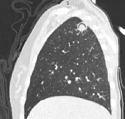
CT w projekcji strzałkowej klatki piersiowej 14-letniej dziewczynki z ostrą białaczką mieloblastyczną. W górnym prawym płacie płuca widać zmianę, odpowiadającą obrazowi grzybniaka w przebiegu infekcji Aspergillus

Objaw powietrznego rąbka w kształcie półksiężyca – objaw radiologiczny występujący na zdjęciach rentgenowskich i obrazach w tomografii komputerowej klatki piersiowej jako półksiężycowaty obszar, przepuszczalny dla promieniowania rentgenowskiego spowodowany przez obecność okrągłej masy nieprzepuszczalnej dla promieniowania w jamie płuca wypełnionej powietrzem[1]. Klasycznie spowodowany przez grzybniaka kropidlakowego (jedna z postaci aspergilozy) w płucu. Dochodzi do tego gdy Aspergillus skolonizuje jamę płuca (np. pogruźliczą)[2].

Przypisy

  1. Simeon Abramson, The air crescent sign, „Radiology”, 218 (1), 2001, s. 230-232, DOI: 10.1148/radiology.218.1.r01ja19230, PMID: 11152807.
  2. Anne McB. Curtis, G.J. Walker Smith, Carl E. Ravin, Air crescent sign of invasive aspergillosis, „Radiology”, 133 (1), 1979, s. 17-21, DOI: 10.1148/133.1.17, PMID: 472287.

Przeczytaj ostrzeżenie dotyczące informacji medycznych i pokrewnych zamieszczonych w Wikipedii.