Odma wewnątrzczaszkowa
| pneumocephalia, pneumoencephalon | |
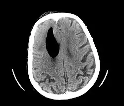
![]() Odma wewnątrzczaszkowa u pacjentki jako powikłanie pooperacyjne resekcji raka kolczystokomórkowego skóry głowy. | |
| Klasyfikacje | |
| ICD-10 |
G93.8 |
|---|---|
Odma wewnątrzczaszkowa, odma czaszkowa (łac. pneumocephalia, pneumoencephalon) – stan w którym dochodzi do dostania się powietrza do jamy czaszki, najczęściej wskutek złamania w obrębie podstawy czaszki lub sklepienia czaszki przebiegającego z rozerwaniem opony twardej, oczodołu[1], powikłań operacji neurochirurgicznych[2], lub operacyjnego leczenia wodogłowia[3].
Objawy chorobowe
Pacjent przytomny w wypadku odmy wewnątrzczaszkowej, zgłasza objawy chlupania lub przelewania w głowie.
Rozpoznanie
Chorobę rozpoznaje się na podstawie jednego z badań obrazowych:
Leczenie
Z uwagi na ryzyko powstania zakażenia w obrębie ośrodkowego układu nerwowego, obowiązuje pilna konieczność operacyjnego zlikwidowania łączności wnętrza czaszki ze środowiskiem zewnętrznym.
Przypisy
- ↑ Brozek M, Kaźmierska H, Bieganowski L. [Pneumoencephalon and pneumatocoele intrabulbaris--the consequence of penetrating wounds of the orbital cavity and severe ocular injury--case reports]. „Klinika oczna”. 4-6 (107), s. 348–50, 2005. PMID: 16118955.
- ↑ Grzegorz Zieliński, Jan Krzysztof Podgórski, Andrzej Koziarski, Ziemowit Potakiewicz. Rekonstrukcja dna siodła tureckiego po przezklinowej operacji guzów przysadki. „Neurol Neurochirur Pol”. 40. 4, s. 302-311, 2006.
- ↑ Czepko Ryszard, Morga Rafał, Uhl Henryka. Odma śródczaszkowa po założeniu zastawki u chorej z wodogłowiem. Opis przypadku i przegląd piśmiennictwa. „Neurol Neurochir Pol”. 39. 6, s. 524-530, 2005.
Bibliografia
- Choroby wewnętrzne. Tom II. Andrzej Szczeklik (red.). Kraków: Wydawnictwo Medycyna Praktyczna, 2006, s. 1963. ISBN 83-7430-069-8.
Przeczytaj ostrzeżenie dotyczące informacji medycznych i pokrewnych zamieszczonych w Wikipedii.
