Odpływ pęcherzowo-moczowodowy
| refluxus vesicoureteralis | |
| Klasyfikacje | |
| ICD-10 | |
|---|---|

Odpływ pęcherzowo-moczowodowy (odpływ wsteczny pęcherzowo-moczowodowy, OWPM; łac. refluxus vesicoureteralis, ang. vesicoureteral reflux, VUR) – stan w którym dochodzi do cofania się moczu z pęcherza moczowego do moczowodów i nerek.
W warunkach prawidłowych, moczowód przy ujściu do pęcherza moczowego przebiega na pewnym odcinku śródściennie a następnie podśluzówkowo, co zapobiega się cofaniu moczu. Gdy ten mechanizm zastawkowy zawodzi, cofający się mocz stanowi potencjalne ryzyko wstecznego zakażenia nerki.
Wyróżniamy V stopni refluksu:
- Stopień I – cofający się mocz wypełnia tylko moczowód
- Stopień II – cofający się mocz wypełnia tylko moczowód, miedniczkę i kielichy nerkowe, nie powodując jednak ich poszerzenia
- Stopień III – stan jak wyżej, jednak dochodzi do poszerzenia miedniczek i kielichów nerkowych
- Stopień IV – umiarkowane poszerzenie moczowodu, możliwe też jest jego niewielkie zagięcie, całkowity zanik sklepień kielichów z zachowanym jednak zarysem brodawek
- Stopień V – znaczne poszerzenie moczowodu, staje się on poskręcany, zanik brodawek nerkowych w kielichach nerkowych.
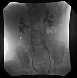
Wadę rozpoznaje się wykonując cystografię mikcyjną.
Leczenie refluksu zależy przede wszystkim od wieku i jego stopnia. W stopniu I–III najczęściej jest zachowawcze. W trakcie leczenia należy unikać sytuacji sprzyjających zakażeniom (odpowiednia higiena okolic krocza, regularne mikcje, unikanie długich kąpieli, rezygnacja z basenu) oraz przyjmować leki odkażające drogi moczowe (np. nitrofurantoina albo trimetoprim). Bardzo ważne są również regularne badania moczu (badanie ogólne i posiew).
Leczenie w stopniach IV i V i w utrzymującym się stopniu III jest operacyjne i polega na zabiegach przywracających jak najdłuższy podśluzówkowy przebieg moczowodu.
Bibliografia
- Pediatria. Podręcznik do Państwowego Egzaminu Lekarskiego i egzaminu specjalizacyjnego. Anna Dobrzańska, Józef Ryżko (red.). Wrocław: Urban&Partner, 2005, s. 690. ISBN 83-89581-25-6.
- Choroby układu moczowego. W: Pediatria. Podręcznik dla studentów, tom II, wyd. III. Krystyna Kubicka, Wanda Kawalec (red.). Warszawa: Wydawnictwo Lekarskie PZWL, 2010, s. 464. ISBN 978-83-200-4171-2.
Linki zewnętrzne
- Odpływ pęcherzowo-moczowodowy - od cystouretrografii do przeszczepienia moczowodu
- Odpływ pęcherzowo-moczowodowy w serwisie nefrologia.mp.pl (serwis dla pacjentów Wydawnictwa Medycyna Praktyczna)
Przeczytaj ostrzeżenie dotyczące informacji medycznych i pokrewnych zamieszczonych w Wikipedii.