Oponiak
| meningioma | |
| Klasyfikacje | |
| ICD-10 | |
|---|---|

Oponiak (łac. meningioma) – zazwyczaj łagodny (w 90% I° według WHO) nowotwór ośrodkowego układu nerwowego, zwykle łatwy do zoperowania, umiejscowiony w oponach mózgowo-rdzeniowych mózgowia lub rdzenia kręgowego. Oponiaki są najczęstszymi łagodnymi nowotworami mózgu.
Patogeneza
Oponiaki pochodzą z komórek nabłonka pokrywającego pajęczynówkę (meningiothelium). Większość to postaci sporadyczne, ale możliwe jest też występowanie rodzinne. Są to nowotwory dorosłych, występujące najczęściej w szóstej lub siódmej dekadzie życia; częściej u kobiet niż mężczyzn, co jest łączone z obecnością w komórkach meningiothelium receptorów dla progesteronu. Zwiększone ryzyko wystąpienia oponiaków obserwuje się u chorych na nerwiakowłókniakowatość typu 2, w tych przypadkach zmiany są często mnogie. Zaobserwowano także pewien związek występowania oponiaków z napromieniowaniem czaszki.
Większość zmian zlokalizowana jest poza miąższem mózgu, wewnątrz czaszki lub kanału kręgowego. Guzy mają postać twardych mas dobrze odgraniczonych od przylegającego mózgu, przytwierdzonych do opony twardej. Możliwy jest naciek kości czaszki. Niekiedy w guzie obecne są zwapnienia (ciałka piaszczakowate). Większość zmian jest mała (poniżej 2 cm).
Objawy kliniczne i przebieg
Najczęstszym objawem jest wzrost ciśnienia wewnątrzczaszkowego mogący prowadzić do napadów padaczkowych a także wywoływać ogniskowe objawy neurologiczne zależne od umiejscowienia guza (notowano np. przypadki porażenia spastycznego kończyn dolnych spowodowanego obecnością oponiaka). Większość małych guzów nie daje żadnych objawów. Możliwe są nawroty po chirurgicznym lub radiologicznym usunięciu, ale niemal wszystkie oponiaki są zmianami łagodnymi, złośliwienie jest wyjątkowo rzadkie.
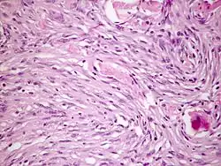
Obraz histologiczny

Oponiaki są bardzo zróżnicowane histologicznie. Klasyfikacja WHO nowotworów ośrodkowego układu nerwowego wyróżnia następujące warianty oponiaków (tabela).
| Wariant | Grading WHO |
ICD-O | |
| 1. | wariant meningotelialny lub syncytialny | I° | ICD-O9531/0 |
| 2. | wariant włóknisty lub włóknotwórczy | I° | ICD-O9532/0 |
| 3. | wariant przejściowy lub mieszany | I° | ICD-O9537/0 |
| 4. | wariant piaszczakowaty | I° | ICD-O9533/0 |
| 5. | wariant naczyniakowaty | I° | ICD-O9534/0 |
| 6. | wariant drobnotorbielkowaty | I° | ICD-O9530/0 |
| 7. | wariant wydzielniczy | I° | ICD-O9530/0 |
| 8. | wariant jasnokomórkowy | II° | ICD-O9538/1 |
| 9. | wariant struniakowaty | II° | ICD-O9538/1 |
| 10. | wariant z naciekami limfoplazmocytarnymi | I° | ICD-O9530/0 |
| 11. | wariant metaplastyczny | I° | ICD-O9530/0 |
| 12. | wariant atypowy | II° | ICD-O9539/1 |
| 13. | wariant brodawkowaty | III° | ICD-O9538/3 |
| 14. | wariant rabdoidny (pałeczkowaty) | III° | ICD-O9538/3 |
| 15. | wariant anaplastyczny (złośliwy) | III° | ICD-O9530/3 |
Bibliografia
- Nowotwory opon. W: Wielisław Papierz, Paweł P. Liberski: Nowotwory mózgu u dzieci. Suplement do Pol J Pathol 53, 4. Paweł P. Liberski (red.). 2001, s. 157-172. ISSN 1233-9687.
- Nowotwory ośrodkowego układu nerwowego. W: Dariusz J. Jaskólski, Wielisław Papierz, Wojciech Biernat, Paweł P. Liberski: Choroby układu nerwowego. Wojciech Kozubski, Paweł P. Liberski (red.). Warszawa: Wydawnictwo Lekarskie PZWL, 2004, s. 170-172. ISBN 83-200-2636-9.
- Vinay Kumar, Ramzi S. Cotran, Stanley L. Robbins: Patologia Robbinsa. Urban&Partner, 2005. ISBN 978-83-89581-92-1.
- Podstawy patomorfologii, Janusz Groniowski (red.), Stefan Kruś (red.), Daniel Chibowski, Warszawa: PZWL, 1984, ISBN 83-200-0765-8, OCLC 830181552.
Linki zewnętrzne
Przeczytaj ostrzeżenie dotyczące informacji medycznych i pokrewnych zamieszczonych w Wikipedii.