Osteoklast


Osteoklasty, komórki kościogubne – wielojądrzaste komórki zwierzęce mające zdolność rozpuszczania i resorpcji tkanki kostnej. Mają istotne znaczenie w warunkach prawidłowego kształtowania się kości, procesów zrostu po złamaniach oraz w chorobach kości (np. osteoporozie). Są rodzajem makrofagów – powstają przez fuzję makrofagów jednojądrowych pobudzaną przez witaminę D. W nadmiernej ilości prowadzą do osteoporozy.
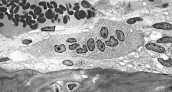
Budowa
Osteoklasty są wielkości ok. 100 μm, mają zwykle kształt owalny. Są polikariocytami, mają 5-10 jąder komórkowych. Ich cytoplazma jest kwasochłonna i bogata w lizosomy, mitochondria i polirybosomy. Na powierzchni komórek znajduje się wiele wypustek cytoplazmatycznych, zwiększających powierzchnię ich styku z macierzą międzykomórkową kości.
Funkcje
Główną funkcją osteoklastów jest niszczenie kości. Produkcja osteoklastów pobudzana jest przez białka, które wytwarzane są przez osteoblasty. Wydzielają enzymy hydrolityczne (oprócz kolagenazy, która jest syntetyzowana przez osteoblasty) oraz fagocytują rozkładaną kość. Na nasilenie ich czynności wpływają cytokiny wydzielane przez limfocyty T.
Zobacz też
Przeczytaj ostrzeżenie dotyczące informacji medycznych i pokrewnych zamieszczonych w Wikipedii.