Ostre poprzetoczeniowe uszkodzenie płuc
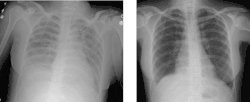
![]() Zdjęcie radiologiczne klatki piersiowej osoby z TRALI (po lewej) i po wyleczeniu (po prawej) | |
| Klasyfikacje | |
| ICD-10 |
T80.8 |
|---|---|
Ostre poprzetoczeniowe uszkodzenie płuc (ang. transfusion related acute lung injury, TRALI) – powikłanie występujące po przetoczeniu preparatów krwiopochodnych, polegające na ostrym, niekardiogennym obrzęku płuc. Etiologia TRALI jest nieznana; być może powikłanie spowodowane jest obecnością przeciwciał dla antygenów układu HLA lub antygenów granulocytarnych we krwi dawcy. Objawami TRALI są: nagła, silna duszność, kaszel, dreszcze, gorączka, spadek lub wzrost ciśnienia tętniczego. Śmiertelność w TRALI wynosi 6–9%[1][2]. TRALI występuje z częstością 1:2000–5000 przetoczeń[2][3]. W diagnostyce różnicowej należy uwzględnić zespół ostrej niewydolności oddechowej. W leczeniu stosuje się tlenoterapię i wentylację mechaniczną.
Przypisy
- ↑ M.A. Popovsky, H.C. Chaplin, S.B. Moore. Transfusion-related acute lung injury: a neglected, serious complication of hemotherapy.. „Transfusion”. 32 (6). s. 589–92. PMID: 1502715.
- 1 2 J. Bux. Transfusion-related acute lung injury (TRALI): a serious adverse event of blood transfusion.. „Vox Sang”. 89 (1), s. 1–10, Jul 2005. DOI: 10.1111/j.1423-0410.2005.00648.x. PMID: 15938734.
- ↑ C.C. Silliman, A.J. Paterson, W.O. Dickey, D.F. Stroneck i inni. The association of biologically active lipids with the development of transfusion-related acute lung injury: a retrospective study.. „Transfusion”. 37 (7), s. 719–26, Jul 1997. PMID: 9225936.
Bibliografia
- Gajic O., Moore S.B.. Transfusion-related acute lung injury. „Mayo Clin Proc”. 80. 6, s. 766–70, 2005. PMID: 15945528.
- Podstawy hematologii. Anna Dmoszyńska, Tadeusz Robak. Lublin: Wydawnictwo Czelej, 2003, s. 452. ISBN 83-88063-94-4.
- Andrzej Szczeklik (red.): Choroby wewnętrzne, tom II. Wydawnictwo Medycyna Praktyczna, 2005, s. 1585. ISBN 83-7430-069-8.
Przeczytaj ostrzeżenie dotyczące informacji medycznych i pokrewnych zamieszczonych w Wikipedii.
