Ostre zapalenie oskrzelików
| bronchiolitis acuta | |
| Klasyfikacje | |
| ICD-10 | |
|---|---|

Ostre zapalenie oskrzelików (łac. bronchiolitis acuta, ang. acute bronchiolitis) – choroba zapalna oskrzelików wywołana najczęściej infekcją wirusową lub rzadziej czynnikami toksycznymi, występująca głównie u dzieci.
Etiologia
Ostre zapalenie oskrzelików u dzieci najczęściej spowodowane jest zakażeniem wywołanym przez wirusa RSV. W badaniach klinicznych wykazano również, że w etiologii choroby u dzieci biorą udział inne wirusy, takie jak: metapneumowirus (hMPV), bocawirus (hBOV), wirus grypy, wirus paragrypy, koronawirusy, adenowirusy i rynowirusy[2][3]. U dorosłych choroba nie jest tak częsta a jej przyczyną jest zwykle zachłyśnięcie się treścią pokarmową albo wdychanie szkodliwych gazów.
Objawy i wyniki badań dodatkowych
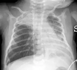
Najczęstsze objawy ostrego zapalenia oskrzelików to przyspieszone oddychanie (tachypnoe) i wydłużenie wydechu. W badaniu przedmiotowym podczas osłuchiwania płuc stetoskopem stwierdza się świsty. W badaniu rentgenowskim płuc widoczne są zmiany o charakterze rozdęcia płuc, zagęszczenia pęcherzykowe (wywołane wypełnieniem pęcherzyków płucnych przez płyn[4]), zacienienia o charakterze guzków, siateczkowate. W spirometrii obserwuje się cechy obturacji oskrzeli. W badaniu histopatologicznym tkanki płucnej stwierdza się zmiany obrzękowe i martwicze w obrębie nabłonka oskrzelików. Wnętrze oskrzelików może być wypełnione wysiękiem i śluzem.
Leczenie i rokowanie
Ostre zapalenie oskrzelików ma często przebieg łagodny. Leczenie polega głównie na ułatwieniu oddychania, podawaniu tlenu, uzupełnianiu niedoborów płynowych i odżywianiu. W terapii stosowana jest rybawiryna, wziewne leki rozszerzające oskrzela, kortykosterydy – nie udowodniono jednak, że leki te mają wpływ na poprawę stanu chorych. Antybiotyki zalecane są jedynie w przypadku współistniejących zakażeń bakteryjnych. Prowadzone są badania z wykorzystaniem w leczeniu ostrego zapalenia oskrzelików egzogennego surfaktantu, nie jest to jednak metoda stosowana rutynowo[5].
Klasyfikacja ICD10
| kod ICD10 | nazwa choroby |
|---|---|
| ICD-10: J21 | Ostre zapalenie oskrzelików |
| ICD-10: J21.0 | Ostre zapalenie oskrzelików wywołane przez RSV |
| ICD-10: J21.8 | Ostre zapalenie oskrzelików wywołane przez inne określone drobnoustroje |
| ICD-10: J21.9 | Ostre zapalenie oskrzelików nieokreślone |
Przypisy
- ↑ Di Nardo M., Perrotta D., Stoppa F., Cecchetti C., Marano M., Pirozzi N. Independent lung ventilation in a newborn with asymmetric acute lung injury due to respiratory syncytial virus: a case report.. „Journal of medical case reports”, s. 212, 2008. DOI: 10.1186/1752-1947-2-212. PMID: 18565228.
- ↑ Marguet C., Lubrano M., Gueudin M., Le Roux P., Deschildre A., Forget C., Couderc L., Siret D., Donnou MD., Bubenheim M., Vabret A., Freymuth F. In very young infants severity of acute bronchiolitis depends on carried viruses.. „PLoS ONE”. 2 (4), s. e4596, 2009. DOI: 10.1371/journal.pone.0004596. PMID: 19240806.
- ↑ Chun JK., Lee JH., Kim HS., Cheong HM., Kim KS., Kang C., Kim DS. Establishing a surveillance network for severe lower respiratory tract infections in Korean infants and young children.. „European journal of clinical microbiology & infectious diseases : official publication of the European Society of Clinical Microbiology”, luty 2009. DOI: 10.1007/s10096-009-0701-0. PMID: 19190941.
- ↑ Grzanka Piotr, Bestry Iwona: Badania diagnostyczne. W: Andrzej Szczeklik: Choroby wewnętrzne : podręcznik multimedialny oparty na zasadach EBM, [T. 1]. Cz. II: Choroby układu oddechowego. Kraków: Medycyna Praktyczna, 2005, s. 484. ISBN 83-7430-031-0.
- ↑ Wright M., Mullett CJ., Piedimonte G. Pharmacological management of acute bronchiolitis.. „Therapeutics and clinical risk management”. 5 (4), s. 895–903, październik 2008. PMID: 19209271.
Bibliografia
- Rowińska-Zakrzewska Ewa, Bestry Iwona: Choroby oskrzelików w rozdziale: Choroby dróg oddechowych. W: Andrzej Szczeklik: Choroby wewnętrzne : podręcznik multimedialny oparty na zasadach EBM, [T. 1]. Cz. II: Choroby układu oddechowego. Kraków: Medycyna Praktyczna, 2005, s. 549. ISBN 83-7430-031-0.
Przeczytaj ostrzeżenie dotyczące informacji medycznych i pokrewnych zamieszczonych w Wikipedii.