Pałeczki Auera

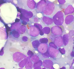
Aspirat szpiku kostnego pacjenta z AML zawierający liczne blasty z pałeczkami Auera.

Pałeczki Auera (ang. Auer rods) – twory znajdywane w cytoplazmie blastów ostrej białaczki mieloblastycznej. Są patognomoniczne dla tego nowotworu. Widoczne są w barwieniu metodą Pappenheima jako cienkie, azurochłonne pałeczki. Przypuszczalnie są ziarnistościami lizosomalnymi zawierającymi peroksydazę i fosfatazę kwaśną. Zostały opisane przez amerykańskiego fizjologa Johna Auera (1875-1948) w 1906 roku.

Nie występują nigdy w limfoblastach i służą do diagnostyki różnicowej ostrych białaczek granulocytarnych i limfoblastycznych.

Bibliografia

  • Podstawy hematologii. Anna Dmoszyńska, Tadeusz Robak. Lublin: Wydawnictwo Czelej, 2003, s. 154. ISBN 83-88063-94-4.

Przeczytaj ostrzeżenie dotyczące informacji medycznych i pokrewnych zamieszczonych w Wikipedii.