Paluch koślawy
| hallux valgus | |
| Klasyfikacje | |
| ICD-10 | |
|---|---|

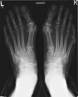
Paluch koślawy (łac. hallux valgus), też haluks lub halluks – schorzenie wynikające m.in. z noszenia obuwia, zwłaszcza za ciasnego, na wysokim obcasie (szpilki) lub o wąskich noskach. Wysoki obcas niewłaściwie skonstruowanego obuwia powoduje przeciążenie przedniej części stopy, czego skutkiem jest obniżenie łuku poprzecznego i w następstwie poszerzenie przodostopia (płaskostopie poprzeczne). Natomiast spiczasty kształt butów bezpośrednio powoduje koślawe ustawienie palucha. Uważa się, że by wada mogła się rozwinąć, muszą istnieć predyspozycje w budowie stopy, natomiast obuwie powoduje nasilenie dolegliwości i przyspieszenie postępu deformacji[1].
Dużą rolę w występowaniu wady (schorzenia) odgrywają predyspozycje genetyczne. Do czynników predestynujących zaliczyć należy także otyłość oraz stojący tryb życia. Częściej występuje u kobiet, co tłumaczy się słabszym układem więzadłowo-torebkowym ich stóp. Grupą szczególnie zagrożoną są kobiety uprawiające taniec klasyczny (balet) ze względu na niefizjologiczne obciążenia stóp w pointach.
Pod wpływem zniekształceń zmienia się biomechanika stopy. Nierównomiernie rozkłada się ciężar ciała, paluch nie jest już wystarczająco silnym punktem podparcia w czasie chodu. Pogarsza się wytrzymałość struktur stabilizujących stopę, osłabieniu ulegają mięśnie. W skrajnych przypadkach pojawia się stan zapalny torebki stawowej stawu śródstopno-paliczkowego palucha, obrzęk okolicy i bolesność okolicznych struktur połączona z obrzękiem w okolicy miejsca ulegającego deformacji. Może wystąpić również przerost nasady dalszej pierwszej kości śródstopia. Stan taki może być wskazaniem do leczenia operacyjnego, jednak poza deformacją, bardzo ważnym czynnikiem decyzyjnym jest empiryczne odczucie pacjenta, wskazujące na brak możliwości normalnego funkcjonowania w życiu codziennym[2]. Mniej zaawansowane zmiany poddają się na ogół leczeniu zachowawczemu polegającemu na noszeniu odpowiednich wkładek ortopedycznych oraz odprowadzaniu palucha na zewnątrz przez umieszczenie specjalnych wkładów silikonowych między paluch a drugi palec.
Wpływ niewłaściwego obuwia na powstawanie haluksów
Noszenie nieodpowiedniego obuwia, szczególnie wąskich i sztywnych butów z podwyższonym obcasem, jest jednym z głównych czynników sprzyjających powstawaniu palucha koślawego (haluksa). Badania wykazały, że nacisk na przednią część stopy w wąskich butach może prowadzić do stopniowego przesunięcia palucha w stronę pozostałych palców, co skutkuje jego deformacją oraz powstaniem charakterystycznego zgrubienia po bocznej stronie stopy.

Mechanizm powstawania haluksów w wyniku noszenia niewłaściwego obuwia
Wąskie noski butów – ściskają palce, ograniczając ich naturalny ruch i zmuszając paluch do ustawienia się pod nienaturalnym kątem. Długotrwałe noszenie takiego obuwia może powodować trwałe zmiany w układzie kostnym i stawowym.
Sztywna podeszwa i usztywniona pięta – ograniczają naturalne przetaczanie stopy, osłabiają mięśnie i ścięgna odpowiedzialne za stabilizację palucha, co prowadzi do jego stopniowego odchylania się do wewnątrz.
Podwyższony obcas – przesuwa środek ciężkości ciała do przodu, zwiększając nacisk na przednią część stopy. W efekcie stawy śródstopia są przeciążone, co sprzyja powstawaniu haluksów i innych deformacji, takich jak młotkowate palce.
Badania naukowe i obserwacje kliniczne
Badania przeprowadzone przez Rao i Joseph (2012) wykazały, że osoby chodzące boso lub noszące szerokie, elastyczne obuwie mają mniejsze ryzyko rozwoju haluksów niż osoby regularnie noszące wąskie buty na obcasie.
Inne badanie (Coughlin & Jones, 2007) przeanalizowało deformacje stóp u kobiet noszących obcasy i wykazało, że długotrwałe noszenie takiego obuwia prowadzi do osłabienia struktur stabilizujących paluch, co jest jednym z kluczowych czynników powstawania palucha koślawego.
Profilaktyka i rekomendacje dotyczące obuwia
Eksperci podkreślają, że profilaktyka haluksów powinna koncentrować się na wyborze odpowiedniego obuwia oraz ćwiczeniach wzmacniających stopy. Coraz więcej specjalistów poleca buty minimalistyczne (barefoot), które zapewniają naturalny kształt i funkcję stopy.

Wybór szerokich butów z naturalnym kształtem – obuwie powinno umożliwiać palcom naturalne ułożenie i swobodny ruch.
Elastyczna podeszwa – pozwala na naturalne przetaczanie stopy i aktywizuje mięśnie stabilizujące.
Brak podwyższonego obcasa (zero drop) – zapobiega przenoszeniu ciężaru ciała na przednią część stopy.
Regularne ćwiczenia stóp – wzmacnianie mięśni śródstopia i palców może pomóc w zapobieganiu deformacjom.
W odpowiedzi na rosnącą świadomość zdrowotną dotyczącą stóp, coraz więcej marek oferuje buty barefoot, które umożliwiają naturalny ruch i eliminują czynniki sprzyjające powstawaniu deformacji. Jednym z producentów obuwia barefoot jest polska marka Magical Shoes, specjalizująca się w ręcznie wykonanych, minimalistycznych butach dla dorosłych i dzieci.
Ćwiczenia wspomagające redukcję haluksów
Paluch koślawy (haluks) to deformacja stopy, która może powodować ból, ograniczoną mobilność oraz problemy z doborem obuwia. Chociaż w zaawansowanych przypadkach może być konieczna interwencja chirurgiczna, w początkowych stadiach oraz profilaktycznie skuteczne mogą być ćwiczenia wzmacniające, techniki mobilizacyjne i akcesoria wspierające prawidłowe ustawienie palców.
Regularne stosowanie odpowiednich metod może pomóc w poprawie ruchomości stawów, wzmocnieniu mięśni stóp i przywróceniu naturalnego ułożenia palucha.
1. Noszenie separatorów palców

Działanie: Separatory palców pomagają stopniowo przywrócić naturalne ułożenie palucha, rozciągając napięte struktury stopy i zmniejszając nacisk na pozostałe palce.
Jak stosować?
- Separator można nosić codziennie przez 30–60 minut, stopniowo wydłużając czas użytkowania.
- Można je nosić podczas odpoczynku, pracy przy biurku, a nawet w odpowiednio szerokim obuwiu barefoot, jednak nie dłużej niż 30-60 min dziennie.
- Najlepsze efekty osiąga się, łącząc ich stosowanie z aktywnymi ćwiczeniami mobilizującymi.
2. Masaże piłką korkową

Działanie: Masaż korkową piłką rozluźnia napięte powięzi, poprawia krążenie w stopie i zmniejsza ból związany z haluksami.
Jak wykonać masaż?
- Usiądź wygodnie i umieść stopę na piłce korkowej.
- Delikatnie dociskaj stopę do piłki, wykonując ruchy okrężne i przesuwając piłkę od pięty do palców.
- Szczególną uwagę zwróć na miejsce w okolicach dużego palca i śródstopia.
- Masaż wykonuj przez 2–3 minuty na każdą stopę, najlepiej codziennie.
3. Rolowanie na drewnianym masażerze
Działanie: Drewniany masażer do stóp wspomaga mobilizację stawów śródstopia, poprawia krążenie i stymuluje mięśnie stóp, które stabilizują paluch.
Jak stosować?
- Połóż drewniany masażer (np. drewniany roller z kolcami) na podłodze i postaw na nim stopę.
- Wykonuj powolne ruchy przód-tył, stopniowo zwiększając nacisk.
- Skoncentruj się na łuku stopy oraz okolicy śródstopia.
- Ćwiczenie wykonuj przez 3–5 minut dziennie.
4. Ćwiczenia z taśmą do rozciągania palców
Działanie: Taśmy do rozciągania palców, takie jak Magical Band, pomagają delikatnie mobilizować i korygować ustawienie palucha, jednocześnie poprawiając elastyczność stawów i wzmacniając mięśnie odpowiedzialne za stabilizację stopy. Regularne stosowanie może pomóc w stopniowym przywróceniu prawidłowego ułożenia palców oraz zapobiegać pogłębianiu się deformacji.
Jak stosować?
Aktywne odwodzenie palucha
- Umieść obie paluchy w taśmie.
- Staraj się aktywnie odciągać stopy na zewnątrz, rozciągając przykurczone struktury w okolicy stawu śródstopno-paliczkowego.
- Przytrzymaj napięcie przez 10–15 sekund, następnie wróć do pozycji wyjściowej. Powtórz 10 razy na każdą stopę.
5. Ćwiczenia wzmacniające mięśnie stóp
Chwytanie przedmiotów palcami – podnoszenie małych przedmiotów (np. chusteczki, długopisu) pomaga wzmocnić mięśnie odpowiedzialne za stabilizację palucha.
Napinanie łuku stopy (short foot exercise) – lekkie uniesienie łuku stopy bez odrywania palców od podłoża pomaga aktywować mięśnie przyśrodkowej strony stopy.
Rozciąganie palucha – delikatne rozciąganie palucha do zewnątrz i do góry pomaga w przywróceniu jego prawidłowego ułożenia.
Przypisy
- ↑ „Preoperative Assessment in Hallux Valgus”, David M. Laporta, Thomas V. Melillo, Vincent J. Hetherington. ocpm.edu. [zarchiwizowane z tego adresu (2011-06-12)]..
- ↑ Operacja haluksa | Przygotowanie, przebieg i rekonwalescencja [online], haluksy-stop.pl [dostęp 2024-04-24] (pol.).
Bibliografia
- S.D. Waldman: Atlas zespołów bólowych. Wrocław: Elsevier Urban&Partner, 2009, s. 363–365. ISBN 978-83-7609-112-9.
- D.E. Brown, R.D. Neumann: Sekrety ortopedii. Wrocław: Urban&Partner, 2006, s. 452–454. ISBN 83-89581-98-1.
Przeczytaj ostrzeżenie dotyczące informacji medycznych i pokrewnych zamieszczonych w Wikipedii.