Perforacja przewodu pokarmowego

Perforacja przewodu pokarmowego – jest to uszkodzenie wszystkich warstw ściany przewodu pokarmowego prowadzące do obecności gazu lub zawartości przewodu pokarmowego poza jego światłem[1]. Perforacja najczęściej jest spowodowana chorobą wrzodową (niemal 70% wszystkich perforacji) lub przyczyną urazową, również jatrogenną[1]. Jest to stan zagrożenia życia, wymaga szybkiej diagnostyki i leczenia, które zwykle jest operacyjne. Perforacja przewodu pokarmowego jest zaliczana do tzw. ostrego brzucha[2].
Etiologia
Przyczyny perforacji są odmienne w różnych narządach[1]:
- przełyk – uraz, oparzenia chemiczne, przyczyny jatrogenne (endoskopia, zabiegi endoskopowe), zespół Boerhaavego, rak przełyku.
- żołądek i dwunastnica – choroba wrzodowa żołądka i dwunastnicy, urazy, rzadziej rak żołądka.
- jelito cienkie – urazy, martwica w wyniku zatoru, zakrzepu lub urazu naczyń krezkowych[3], choroba Leśniowskiego-Crohna, dur brzuszny[4], popromienne zapalenie jelit[1], uchyłek Meckela[4], ostre zapalenie jelit[4].
- jelito grube – rak jelita grubego i zapalenie uchyłków (choroba uchyłkowa jelit), rzadziej perforacja wyrostka robaczkowego w wyniku jego zapalenia, martwica w wyniku zatoru, zakrzepu lub urazu naczyń krezkowych, wrzodziejące zapalenie jelita grubego (megacolon toxicum), popromienne zapalenie jelit, skręt jelita.
Objawy
Obraz kliniczny jest uzależniony od rodzaju przedziurawianego narządu oraz jałowości i toksyczności zawartej w nim treści[5]. Perforacja w obrębie jamy brzusznej objawia się ograniczonym lub uogólnionym zapaleniem otrzewnej. Występuje nagły bardzo silny ból, porównywany do zranienia nożem[6], ból zwykle jest początkowo ograniczony do obszaru, w którym wystąpiła perforacja. Stwierdza się obronę mięśniową i inne objawy otrzewnowe. Często napięcie mięśni prostych brzucha jest tak silne, że brzuch określa się jako deskowaty[7]. Dochodzi do zaniku perystaltyki jelit i do rozwoju zapalenia otrzewnej. Stopniowo rozwija się wstrząs. Czasem zawartość dwunastnicy może spływać do prawego dołu biodrowego, co może sugerować ostre zapalenie wyrostka robaczkowego[8].
Z kolei objawy uszkodzenia przełyku objawiają się bólem w klatce piersiowej, bólem podczas połykania oraz trudnościami w połykaniu. Mogą występować krwiste wymioty lub wymioty bez krwi, odma podskórna. Szybko dochodzi do zapalenia śródpiersia i rozwoju sepsy[9].
Diagnostyka

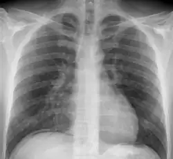
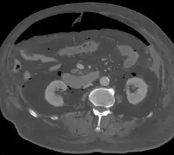
Objawem radiologicznym perforacji przewodu pokarmowego jest obecność wolnego gazu pod przeponą, który na zdjęciu jest widoczny jako przejaśnienie o kształcie sierpa lub rogala[10]. Powietrze zgromadzone pod kopułą przepony powoduje również zniesienie stłumienia wątrobowego podczas opukiwania jamy brzusznej[11]. W tomografii komputerowej widoczne jest wolne powietrze, wolny płyn poza światłem uszkodzonego narządu, nieciągłość ścian narządu, wyciek kontrastu lub obecność zmian zapalnych. TK pozwala dokładnie określić miejsce perforacji[12], jest szczególnie przydatna w diagnostyce "ukrytej perforacji" oraz "zamkniętej perforacji"[13]. Perforacja w obrębie klatki piersiowej (przełyk) w badaniu radiologicznym jest widoczna jako odma śródpiersiowa, odma podskórna, płyn w śródpiersiu oraz poszerzenie śródpiersia[9].
Leczenie
Leczenie jest uzależnione od przyczyny perforacji. Konieczne jest wyrównanie zaburzeń wodno-elektrolitowych oraz podaż antybiotyków[14].
Perforacja przełyku leczona jest operacyjnie. Usuwa się przedziurawiony fragment przełyku i odtwarza się jego ciągłość poprzez wstawkę z jelita grubego lub żołądka. Operacja może być jednoczasowa lub z wytworzeniem czasowej przetoki żołądkowej i ślinowej[15]. U niektórych starannie wybranych chorych możliwe jest leczenie zachowawcze, które obejmuje żywienie pozajelitowe, podaż antybiotyków i leczenie endoskopowe (stenty)[16]. Możliwe jest również zszycie i zdrenowanie z dostępu torakoskopowego[17].
W przypadku perforacji żołądka lub dwunastnicy leczenie polega na zszyciu owrzodzenia łatą z sieci większej oraz płukaniu jamy otrzewnej. Operacja może być wykonana laparoskopowo. Stosuje się inhibitory pompy protonowej[8].
W przypadku perforacji w obrębie jelita wykonuje się laparotomię i płukanie jamy otrzewnej. Po zidentyfikowaniu miejsca perforacji przeprowadza się resekcję zajętej części, często z wyprowadzeniem czasowej stomii (w obrębie jelita grubego – operacja Hartmanna), wówczas zespolenie jest przeprowadzane w późniejszym czasie[18]. W przypadku megacolon toxicum może być konieczne wykonanie kolektomii z zachowaniem lub nie odbytnicy[19].
Przypisy
- 1 2 3 4 Baker, Reese i Teo 2010 ↓, s. 19.
- ↑ Noszczyk 2009 ↓, s. 308.
- ↑ Noszczyk 2009 ↓, s. 446.
- 1 2 3 F. Mechat, O.N. Zerouali, Non-traumatic perforation of the small intestine, „Journal De Chirurgie”, 130 (6-7), 1993, s. 292–296, ISSN 0021-7697, PMID: 8408329 [dostęp 2017-09-07].
- ↑ O.J. Garden i inni, Chirurgia. Podręcznik dla studentów, Elsevier Urban & Partner, 2009, ISBN 978-83-7609-128-0.
- ↑ Noszczyk 2009 ↓, s. 284.
- ↑ Noszczyk 2009 ↓, s. 290.
- 1 2 Noszczyk 2009 ↓, s. 328.
- 1 2 Gamal, Lamont i Greene 2006 ↓, s. 193.
- ↑ Noszczyk 2007 ↓, s. 877.
- ↑ Noszczyk 2009 ↓, s. 291.
- ↑ S. Borofsky, M. Taffel, N. Khati, R. Zeman i inni. The emergency room diagnosis of gastrointestinal tract perforation: the role of CT.. „Emerg Radiol”, Nov 2014. DOI: 10.1007/s10140-014-1283-4. PMID: 25417073.
- ↑ O. Catalano. [Computed tomography in the study of gastrointestinal perforation].. „Radiol Med”. 91 (3), s. 247-52, Mar 1996. PMID: 8628938.
- ↑ Baker, Reese i Teo 2010 ↓, s. 20.
- ↑ Gamal, Lamont i Greene 2006 ↓, s. 194.
- ↑ Bland i inni, [General Surgery Principles and International Practice], Springer Science & Business Media, 2008, s. 462-469, ISBN 978-1-84628-832-6.
- ↑ Noszczyk 2009 ↓, s. 215.
- ↑ Noszczyk 2009 ↓, s. 224.
- ↑ Noszczyk 2009 ↓, s. 394-395.
Bibliografia
- Wojciech Noszczyk: Chirurgia repetytorium. Warszawa: PZWL, 2009. ISBN 978-83-200-3843-9.
- Wojciech Noszczyk: Chirurgia.. Warszawa: Wydawnictwo Lekarskie PZWL, 2007. ISBN 83-200-3120-6.
- Jan Fibak (red.), Chirurgia, Warszawa: PZWL, 2010, ISBN 83-200-2012-3.
- Cara R. Baker, George Reese, James T. H. Teo: Rapid Surgery. Wiley-Blackwell, 2010. ISBN 978-1-4051-9329-0.
- Mostafa Gamal, Cathey Lamont, Frederick L. Greene: Review of Surgery. Springer, 2006. ISBN 978-0-387-44952-4.
Przeczytaj ostrzeżenie dotyczące informacji medycznych i pokrewnych zamieszczonych w Wikipedii.