Polipy nosa
![]() | |
| Klasyfikacje | |
| ICD-10 | |
|---|---|
.tif.jpg)
.tif.jpg)

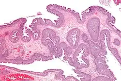
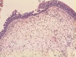
Polipy nosa – powstają w wyniku zmian zapalnych lub alergicznych błony śluzowej nosa. Najczęściej wychodzą ze środkowego przewodu nosowego, zatok szczękowych lub sitowych. Tworzenie polipa rozpoczyna się od obrzęku błony śluzowej, rozrostu tkanki podśluzowej, gromadzenia się płynu i tworzeniem się szypuły poprzez grawitacyjne opadanie naciągniętego zdwojenia błony śluzowej wypełnionego płynem.
Objawy:
- zaburzenia drożności nosa
- zaburzenia węchu
- bóle głowy
- zmiany w głosie
- przewlekły, śluzowo-ropny nieżyt nosa
Diagnostyka:
- rynoskopia
- zdjęcie RTG zatok
Ważne jest różnicowanie z nowotworami.
Leczenie:
- chirurgiczne usunięcie zmian
- w przypadku polipów alergicznych wskazane jest typowe leczenie przeciwalergiczne
- w celu uniknięcia nawrotów polipów przez krótki czas stosuje się steroidy
Bibliografia
- Maria Zalesska-Kręcicka: Zarys otolaryngologii: podręcznik dla studentów i lekarzy. Wrocław: Akademia Medyczna im. Piastów Śląskich, 2008, s. 128. ISBN 978-83-7055-552-8.
Przeczytaj ostrzeżenie dotyczące informacji medycznych i pokrewnych zamieszczonych w Wikipedii.
