Rak pęcherzyka żółtkowego
| endodermal sinus tumor | |
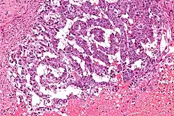
![]() Komórki pęcherzyka żółtkowego w obrazie mikroskopowym nowotworu zarodkowego jądra | |
| Klasyfikacje | |
| ICD-10 |
C62.9 |
|---|---|
Rak pęcherzyka żółtkowego, guz pęcherzyka żółtkowego, rak zarodkowy typu dziecięcego[1] (ang. yolk sac tumor, yolk sac carcinoma, endodermal sinus tumor) – najczęstszy typ nowotworu zarodkowego jądra u niemowląt i dzieci (znany również pod nazwą orchidoblastoma). Postać dziecięca występuje najczęściej przed ukończeniem 24. miesiąca życia. Do 15. roku życia guz pęcherzyka żółtkowego stanowi 90% rozpoznawanych nowotworów jąder. U osób dorosłych częściej występuje jako składowa guzów zarodkowych o mieszanej budowie histologicznej, natomiast "czysta" postać nowotworu jest rzadka (3,1%). Ten rodzaj utkania często stwierdza się w pierwotnych zarodkowych nowotworach śródpiersia.
W obrazie mikroskopowym typowe jest tworzenie struktur torbielowatych, przypominających budową zatokę żółtkową, złożonych z płaskich lub jajowatych komórek uwypuklających się do ich światła. Występują także ciałka Schillera-Duvala, złożone z małych okrągłych komórek skupiających się wokół drobnych naczyń krwionośnych. Charakterystyczną cechą guzów pęcherzyka żółtkowego jest produkcja α-fetoproteiny.
Guzy pęcherzyka żółtkowego u dzieci charakteryzują się bardzo dobrym rokowaniem i w momencie rozpoznania u 80% chorych ograniczone są do jądra. U dorosłych przebieg jest znacznie bardziej agresywny, a przerzuty odległe drogą naczyń krwionośnych powstają we wczesnym okresie choroby. Nowotwór posiada szczególną zdolność do tworzenia przerzutów w wątrobie.
Przypisy
- ↑ Urologia Polska 1989/42/3 - OCENA SKUTECZNOŚCI CHEMICZNEGO LECZENIA ZARODKOWYCH GUZÓW JĄDRA Z KOMPONENTĄ YOLK SAC [online], www.urologiapolska.pl [dostęp 2017-11-26].
Przeczytaj ostrzeżenie dotyczące informacji medycznych i pokrewnych zamieszczonych w Wikipedii.
