Rdzeń nadnercza

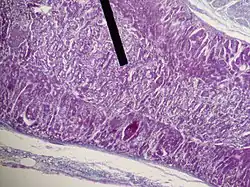
Rdzeniowa część nadnercza.

Rdzeń nadnercza – w anatomii ssaków centralna część nadnercza, powstająca z neuroektodermy[1].

Rdzeń nadnercza zbudowany jest głównie z dużych, wielościennych komórek chromochłonnych, układających się w gniazda i beleczkowate pasma, opartych na sieci włókien siateczkowych i oplecionych licznymi naczyniami włosowatymi zatokowymi i żyłami[2][3][4]. Pomiędzy nimi znajdują się także nieliczne wielobiegunowe komórki zwojowe i przedzwojowe układu współczulnego[5][1].

Komórki chromochłonne rdzenia nadnercza zawierają w cytoplazmie liczne ziarnistości wydzielnicze o średnicy 150–350 nm, wydzielające i przechowujące katecholaminy: adrenalinę (epinefrynę) i noradrenalinę (norepinefrynę). Ich wydzielane stymulowane jest przez układ współczulny pod wpływem stresu i silnych emocji[3][4].

Przypisy

  1. 1 2 Jan A. Litwin: nadnerczy rdzeń. W: Encyklopedia biologiczna. Czesław Jura, Halina Krzanowska (red). T. VII: Mo–Oś. Kraków: Agencja Publicystyczno-Wydawnicza Opres, 1999, s. 97. ISBN 83-85909-46-X.
  2. Maciej Zabel, Układ dokrewny, [w:] Maciej Zabel (red.), Histologia. Podręcznik dla studentów medycyny i stomatologii, Wrocław: Elsevier Urban & Partner, 2021, s. 216, ISBN 978-83-66960-02-2.
  3. 1 2 Anthony L. Mescher, Histologia Junqueira. Podręcznik i atlas, wyd. XV, Wrocław: Edra Urban & Partner, 2020, s. 454–456, ISBN 978-83-66548-20-6.
  4. 1 2 Adam Bochenek, Michał Reicher, Anatomia człowieka. Tom II. Trzewa, wyd. X, Warszawa: Wydawnictwo Lekarskie PZWL, 2018, s. 762, ISBN 978-83-200-4501-7.
  5. Jadwiga Mirecka, Układ wydzielania wewnętrznego, [w:] Tadeusz Cichocki, Jan A. Litwin, Jadwiga Mirecka, Kompendium histologii. Podręcznik dla studentów nauk medycznych i przyrodniczych, Kraków: Wydawnictwo Uniwersytetu Jagiellońskiego, 2016, s. 347, ISBN 978-83-233-4166-6.

Przeczytaj ostrzeżenie dotyczące informacji medycznych i pokrewnych zamieszczonych w Wikipedii.