Ropień Brodiego
| abscessus Brodie | |
![]() | |
| Klasyfikacje | |
| ICD-10 | |
|---|---|
Ropień Brodiego (łac. abscessus Brodie, ang. Brodie abscess) – postać przewlekłego zapalenia kości i szpiku.
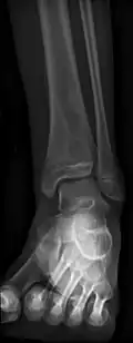
Objawia się radiologicznie centralnie położonym ogniskiem przejaśnienia otoczonym dosyć szeroką tzw. strefą sklerotyczną kości, bez ostrych granic[1]. Zazwyczaj występuje w przynasadach kości długich, w okolicy stawu kolanowego i skokowo-goleniowego. Ognisko ropne zostaje otoczone błoną i zazwyczaj nie ulega przebiciu na zewnątrz. Spotykana u starszych dzieci i dorosłych[2].
Nazwa tej jednostki chorobowej upamiętnia sir Benjamina Collinsa Brodiego (1783–1862), który opisał taką zmianę u 24-letniego pacjenta z zapaleniem przynasady piszczeli w 1832 roku[3].
Przypisy
- ↑ Bogdan Pruszyński (red.) Radiologia. Diagnostyka obrazowa. Rtg, TK, MR i radioizotopy. Wyd. II unowocześnione, Wydawnictwo Lekarskie PZWL, Warszawa 2003 ISBN 83-200-2780-2
- ↑ Tadeusz Szymon Gaździk, Tomasz Bielecki: Ortopedia i traumatologia. [T.] 2. Warszawa: Wydawnictwo Lekarskie PZWL, 2008, s. 498. ISBN 978-83-200-3896-5 (t. 2).
- ↑ Brodie, BC. An account of some cases of chronic abscess of the tibia. „Medico-Chirurgical Transactions”. 17, s. 239-249, 1832.
Przeczytaj ostrzeżenie dotyczące informacji medycznych i pokrewnych zamieszczonych w Wikipedii.
