Sekwestracja płuca



| Sequestratio pulmonalis | |
| Klasyfikacje | |
| ICD-10 | |
|---|---|
Sekwestracja płuca (łac. sequestratio pulmonis, ang. bronchopulmonary sequestration) – rzadka wada wrodzona układu oddechowego, polegająca na odłączeniu części miąższu płucnego bez połączenia z drzewem oskrzelowym, unaczynionego przetrwałym płodowym krążeniem systemowym.
Etiologia i podział
Etiologia zaburzenia nie jest znana; przypuszcza się, że malformacja ta spowodowana jest nieprawidłowym rozwojem dolnego zawiązka układu oddechowego w embriogenezie. Wyróżniamy dwa główne typy wady: sekwestrację wewnątrzpłucną (wewnątrzpłatową, ang. internal lung sequestration, ILS) i zewnątrzpłucną (zewnątrzpłatową, ang. external lung sequestration, ELS). Sekwestracja z łącznością z układem pokarmowym (bronchopulmonary foregut malformation) jest bardzo rzadko spotykanym wariantem.
Objawy i przebieg
Objawy w ELS pojawiają się zwykle wcześniej; w 80% wada jest objawowa i powoduje niewydolność oddechową w okresie noworodkowym. Jest rzadszym wariantem wady (10-25% wszystkich LS). Często współistnieją z nią inne wady wrodzone.
ILS ujawnia się zwykle w późnym dzieciństwie lub w okresie dojrzewania nawracającymi zapaleniami płuc.
Rozpoznanie
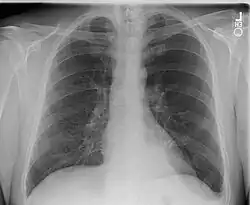
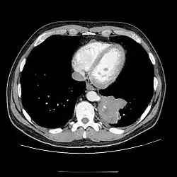
Wada przebiegająca bezobjawowo, bez połączenia z oskrzelem, może być wykryta przypadkowo na zdjęciu przeglądowym klatki piersiowej jako okrągława masa o wysyceniu typowym dla tkanek miękkich, najczęściej zlokalizowana nad przeponą w dolno-tylnej części lewego płuca. Obraz radiologiczny objawowej sekwestracji płucnej naśladuje zmiany torbielowate, jamiste lub marskie. Aortografia pozwala ocenić zaopatrzenie zmiany w naczynia tętnicze.
Leczenie
Leczeniem z wyboru jest chirurgiczne usunięcie fragmentu płuca (sekwestru).
Bibliografia
- Andrzej Szczeklik (red.): Choroby wewnętrzne, tom 1. Kraków: Medycyna Praktyczna, 2005. ISBN 83-7430-031-0.
- Bogdan Pruszyński (red.): Radiologia. Diagnostyka obrazowa. Rtg, TK, MR i radioizotopy. Wyd. Wyd. II unowocześnione. Warszawa: Wydawnictwo Lekarskie PZWL, 2003, s. 170. ISBN 83-200-2780-2.
Linki zewnętrzne
- Bruce M Schnapf: Bronchopulmonary Sequestration. eMedicine Pediatrics, 2007. [dostęp 2007-08-18].
Przeczytaj ostrzeżenie dotyczące informacji medycznych i pokrewnych zamieszczonych w Wikipedii.