Staw poprzeczny stępu

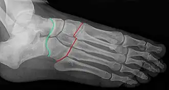
Staw poprzeczny stępu (łac. articulatio tarsi transversa), dawniej nazywany stawem Choparta (łac. articulatio Choparti) – w anatomii człowieka staw złożony kończyny dolnej, obejmujący staw skokowo-łódkowy oraz staw piętowo-sześcienny[1]. Nazwa eponimiczna upamiętnia francuskiego chirurga François Choparta (1743–1795)[2][3].
Przypisy
- ↑ Adam Bochenek, Michał Reicher, Anatomia człowieka. Tom I. Anatomia ogólna. Kości, stawy i więzadła, mięśnie, wyd. XIII, Warszawa: Wydawnictwo Lekarskie PZWL, 2019, s. 611, ISBN 978-83-200-4323-5.
- ↑ François Chopart w bazie Who Named It (ang.)
- ↑ Bogusław Gołąb, Słownik eponimów morfologicznych, Warszawa: Państwowy Zakład Wydawnictw Lekarskich, 1974, s. 25.
Przeczytaj ostrzeżenie dotyczące informacji medycznych i pokrewnych zamieszczonych w Wikipedii.