Staw rzekomy

Staw rzekomy
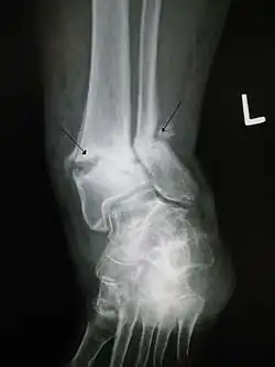
Ilustracja
Nieprawidłowy zrost złamanej kości
Klasyfikacje
MeSH

D011542

Staw rzekomy – rodzaj zaburzeń zrostu kości.

Mianownictwo

Mianownictwo polskie i angielskie się nieco różni. W literaturze anglojęzycznej rozróżniane są dwa pojęcia:

  • nonunion – brak zrostu,
  • pseudoarthrosis – staw rzekomy sensu stricto, czyli taki brak zrostu, który cechuje się pojawieniem pseudo-stawu w miejscu złamania z deformacją końców kostnych.

W polskim mianownictwie każdy brak zrostu jest nazywany stawem rzekomym.

Kryteria rozpoznania

Kryteria czasowe nie mogą być ściśle określone. Umownie staw rzekomy jest rozpoznawany, jeśli po upływie 9 miesięcy od urazu (złamania kości) nie ma zrostu kostnego, a na zdjęciach rentgenowskich nie ma postępu gojenia złamania przez kolejne 3 miesiące.

Objawy stawu rzekomego można podzielić na kliniczne i radiologiczne. Kliniczne to utrzymywanie się dolegliwości bólowych w miejscu złamania, szczególnie w obciążeniu kończyny, ruchomość patologiczna, nieco wyższa temperatura kończyny w miejscu złamania. Do objawów radiologicznych należy widoczna szczelina przełomu w czasie, kiedy powinien być już widoczny zrost kostny.

Przyczyny pojawienia się stawu rzekomego to:

  • ze strony kości: okolica anatomiczna z typowymi zaburzeniami unaczynienia (np. 1/3 dalsza kości piszczelowej, szyjka kości udowej itp.), duży ubytek kości w miejscu złamania, interpozycja tkanek miękkich, stan po rozległym uszkodzeniu tkanek miękkich w okolicy złamania, utajona infekcja, złamanie otwarte;
  • ze strony pacjenta: choroby metaboliczne (np. cukrzyca), zaburzenia odżywiania, palenie tytoniu, brak współpracy w trakcie leczenia (np. za wczesne obciążanie kończyny);
  • ze strony operatora: niewłaściwa technika operacyjna, niewłaściwy wybór sposobu zespolenia czy wadliwa stabilizacja.

Klasyfikacja

Stawy rzekome dzielimy na:

  • hipertroficzne (typu "stopy słonia" i typu "stopy konia");
  • oligotroficzne;
  • awaskularne (dysplastyczne, aplastyczne, z dużym ubytkiem kości i atroficzne).

Stawy rzekome można również podzielić na zakażone (z widocznymi objawami infekcji) i niezakażone (bez widocznych objawów infekcji).

Najczęściej staw rzekomy pojawia się w obrębie trzonu kości piszczelowej (lokalizacja 1/3 wszystkich stawów rzekomych), ale może również dotyczyć innych kości, np. kość łódeczkowata, obojczyk, kość ramienna, kości przedramienia, szyjka kości udowej czy trzon kości udowej.

Leczenie

Leczenie jest najczęściej operacyjne. Do głównych metod należy: rewizja miejsca przełomu, dekortykacja (np. dekortykacja sposobem Judet-Forbesa czy nawiercanie sposobem Becka), zmiana sposobu/wymiana zespolenia kości, użycie przeszczepów kostnych, przeszczepy unaczynione kości, podanie czynników wzrostu. Obowiązkiem lekarza jest przekazywanie pacjentom zaleceń ogólnych, jak zaprzestanie palenia tytoniu czy właściwe odżywianie. Niektóre badania dowodzą skuteczności elektrostymulacji i terapii ultradźwiękowej w leczeniu zaburzeń zrostu.

Do innych rodzajów zaburzeń zrostu należy: zrost opóźniony (ang. delayed union), zrost w nieprawidłowym ustawieniu (ang. malunion) i zakażony staw rzekomy (ang. infected nonunion).

Klasyfikacja ICD10

kod ICD10nazwa choroby
ICD-10: M84.1Niezrośnięcie złamania (staw rzekomy)
ICD-10: M96.0Staw rzekomy jako powikłanie nastawiania kości lub artrodezy

Bibliografia

  • S. T. Canale, J. H. Beaty: Campbell's operative orthopaedics, vol. 3. Elsevier, 2008.
  • Ramotowski W.: Leczenie powikłań zrostu kostnego. PZWL, 1984.
  • Sanders R.: Traumatologia układu ruchu. Elsevier, 2009.
  • Stannard J. P. i wsp.: Leczenie operacyjne obrażeń narządu ruchu, tom 1. Medipage, 2010.
  • Tylman D., Dziak A.: Traumatologia narządu ruchu, tom 1. PZWL, 1996.

Przeczytaj ostrzeżenie dotyczące informacji medycznych i pokrewnych zamieszczonych w Wikipedii.