Struniak

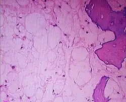
Obraz histologiczny struniaka. Widoczne duże zwakuolizowane komórki i miejscowa destrukcja tkanki kostnej[1]
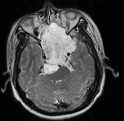
Duży struniak wychodzący ze stoku kości potylicznej, rozrastający się w kierunku pnia mózgu[1]

Struniak (łac. chordoma, ang. chordoma) – rzadki, wolnorosnący nowotwór złośliwy, wywodzący się z pozostałości struny grzbietowej. Pozostałości struny znajdują się najczęściej na stoku (clivus) kości potylicznej i w okolicy krzyżowo-guzicznej, i tam też najczęściej rozwija się struniak. Guz trzykrotnie częściej występuje u mężczyzn. Rozwija się zazwyczaj w średnim wieku, najczęściej w 4. dekadzie życia. W Stanach Zjednoczonych zapadalność roczną na struniaka szacuje się na 1:1 000 000, co daje 300 nowych zachorowań co roku w tym kraju.

W MRI guz jest hipointensywny (sekwencja T1) lub hiperintensywny (T2), w TK hipodensyjny.

Najlepsze wyniki uzyskuje się po całkowitej resekcji chirurgicznej i następczej radioterapii na lożę guza. Całkowita resekcja jest zazwyczaj trudna, a wznowy są bardzo częste. Opisano ograniczoną odpowiedź guza na mesylat imatinibu (inhibitor PDGFR)[2].

Przypisy

  1. 1 2 Hassan S, Abdullah JM, Wan Din SJ, Idris Z. Combined use of maxillomandibular swing approach and neurosurgical ultrasonic aspirator in the management of extensive clival chordoma: a case report. „Journal of Medical Case Reports”. 2. 49, 2008. DOI: 10.1186/1752-1947-2-49. PMID: 18279530.
  2. Casali PG, Messina A, Stacchiotti S, et al. Imatinib mesylate in chordoma. „Cancer”. 101. 9, s. 2086-97, 2004. DOI: 10.1002/cncr.20618. PMID: 15372471.

Bibliografia

  • Hassan S, Abdullah JM, Wan Din SJ, Idris Z. Combined use of maxillomandibular swing approach and neurosurgical ultrasonic aspirator in the management of extensive clival chordoma: a case report. „Journal of Medical Case Reports”. 2. 49, 2008. DOI: 10.1186/1752-1947-2-49. PMID: 18279530. 
  • Nowotwory ośrodkowego układu nerwowego. W: Dariusz J. Jaskólski, Wielisław Papierz, Wojciech Biernat, Paweł P. Liberski: Choroby układu nerwowego. Wojciech Kozubski, Paweł P. Liberski (red.). Warszawa: Wydawnictwo Lekarskie PZWL, 2004, s. 183. ISBN 83-200-2636-9.

Przeczytaj ostrzeżenie dotyczące informacji medycznych i pokrewnych zamieszczonych w Wikipedii.