Strzępka uchyłkowata
_Figure_56.jpg)
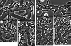
Strzępka uchyłkowata – rodzaj strzępek u grzybów z prostymi lub rozgałęzionymi naroślami. Strzępki takie czasami tworzą gęste, koraloidalne masy[1]. Występują zwykle w skórce grzybów, w jej warstwie właściwej, zwanej subkutisem. Występowanie strzępek uchyłkowatych ma znaczenie przy mikroskopowej identyfikacji niektórych gatunków[2], np. w rodzaju Mycena (grzybówka)[1].
Istnieją też strzępki z krótkimi i nierozgałęzionymi wyrostkami noszącymi nazwę kołków strzępkowych[3].
Przypisy
- 1 2 Mycena metata, s. 125–309, DOI: 10.5943/sif/5/1/12 [dostęp 2024-02-10] (ang.).
- ↑ Alina Skirgiełło, Gołąbek (Russula). Grzyby (Mycota). Podstawczaki (Basidiomycetes), gołąbkowce (Russulales), gołąbkowate (Russulaceae), Warszawa-Kraków: Państwowe Wydawnictwo Naukowe, 1998, s. 14, ISBN 83-01-09137-1.
- ↑ An introduction to poroide fungi [online], Fungiflora [dostęp 2023-10-17] (ang.).