Urazowe uszkodzenie mózgu
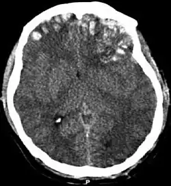
![]() Obraz tomografii komputerowej pokazujący stłuczenie mózgu, krwiak śródczaszkowy, i podtwardówkowy oraz złamanie czaszki[1]. | |
| Specjalizacja |
neurochirurgia, neurologia, medycyna ratunkowa |
|---|---|
| Klasyfikacje | |
| ICD-10 | |
| DiseasesDB | |
| MedlinePlus | |
| MeSH | |
Urazowe uszkodzenie mózgu (ang. traumatic brain injury, TBI), zwane również urazem wewnątrzczaszkowym – uszkodzenie mózgu na skutek działania zewnętrznej siły (urazu). Uszkodzenia można klasyfikować ze względu na ostrość obrażeń, mechanizm powstania (zamknięte np. wskutek uderzenia, lub otwarte np. rana postrzałowa), lub inne czynniki (np. lokalizacje urazu bądź obszar obrażeń). Sformułowanie „uraz głowy” zwykle odnosi się do urazowego uszkodzenia mózgu. Jest to jednak pojęcie mające szersze znaczenie, ponieważ obejmuje także urazy innych organów niż mózg (np. skóry głowy, lub czaszki).
Urazowe uszkodzenie mózgu jest jednym z głównych powodów śmierci oraz niepełnosprawności na świecie, szczególnie wśród dzieci i młodzieży[2]. Do przyczyn należą upadki, wypadki komunikacyjne oraz skutki przemocy. Zmniejszenie liczby przypadków polega na stosowaniu zabezpieczeń w transporcie (np. pasy bezpieczeństwa, kaski), przestrzegania przepisów drogowych i bezpieczeństwa. Pomocne są również kampanie edukacyjne zwiększające bezpieczeństwo na drogach.
Uraz mózgu może być spowodowany bezpośrednim uderzeniem lub samym przyspieszeniem. Pierwotnemu uszkodzeniu towarzyszą również różnorodne zjawiska, wywołujące przez pierwsze minuty, a nawet dni, dodatkowe uszkodzenia mózgu. Są to przede wszystkim uszkodzenia układu krwionośnego, a także wzmożone ciśnienie śródczaszkowe, które przyczyniają się do zwiększenia rozległości pierwotnego uszkodzenia.
Typy
- Wstrząśnienie mózgu – przemijające zaburzenia fizykochemiczne w mózgu,
- Stłuczenie mózgu – dochodzi w nim do obrzęku mózgu,
- Zranienie mózgu – następuje przerwanie ciągłości tkanki nerwowej, co wywołuje jej masywną martwicę i krwotok.
Objawy
Najczęstszym objawem są zaburzenia świadomości, mogące trwać od kilku sekund do wielu miesięcy. W łagodnych przypadkach chory pamięta, jak przebiegał wypadek i okres tuż przed nim, skarży się na bóle i zawroty głowy, zaburzenia równowagi, nudności i wymioty. Objawy te utrzymują się od kilku dni do paru miesięcy. Stłuczenia i zranienia mózgu mogą być przyczyną niedowładów lub porażeń kończyn, uszkodzeń nerwów czaszkowych, zaburzeń mowy i otępienia. Później często występują objawy rzekomonerwicowe – drażliwość, zmęczenie, zaburzenia koncentracji, snu i zmiany zachowania[3].
Skale urazu
Jedną z używanych skal do opisu ciężkości urazu czaszkowo-mózgowego na podstawie wyników badań tomografii komputerowej jest skala Marshalla.
| Stopień | Przesunięcie linii pośrodkowej | Zbiorniki płynu mózgowo rdzeniowego | Obecność zmian o wysokiej gęstości | Uwagi | Śmiertelność | |
|---|---|---|---|---|---|---|
| 1 | brak | obecne | brak | brak widocznej patologii w tomografii komputerowej | 6,4% | |
| 2 | 0 mm – 5 mm | obecne | brak zmian o wysokiej gęstości objętości powyżej 25 ml | 11% | ||
| 3 | 0 mm – 5 mm | uciśnięte lub nieobecne | brak zmian o wysokiej gęstości objętości powyżej 25 ml | obrzęk mózgu | 29% | |
| 4 | > 5 mm | brak zmian o wysokiej gęstości objętości powyżej 25 ml | 44% | |||
| 5 | jakiekolwiek | jakiekolwiek | jakiekolwiek | jakiekolwiek zmiany usuwane chirurgicznie | 30% | |
| 6 | > 25 ml | zmiany nieewakuowane | 34% | |||
Przypisy
- ↑ Rehman T, Ali R, Tawil I, Yonas H. Rapid progression of traumatic bifrontal contusions to transtentorial herniation: A case report. „Cases journal”. 1 (1), s. 203, 2008. DOI: 10.1186/1757-1626-1-203. PMID: 18831756. (ang.).
- ↑ World Health Organization: Annex Table 2: Deaths by cause, sex and mortality stratum in WHO regions, estimates for 2002. [w:] The world health report 2004 – changing history [on-line]. 2004. [dostęp 2008-11-01]. (ang.).
- ↑ Witold S. Gumułka., Wojciech Rewerski, Encyklopedia zdrowia, wyd. 6, t. I, Wydawnictwo Naukowe PWN, 1998, s. 1026, ISBN 83-01-11680-3.
- ↑ Handook of Neurosurgery, M.S. Greenberg
Bibliografia
- http://www.mayoclinic.com/health/traumatic-brain-injury/DS00552/
- http://www.braininjuryhub.co.uk/
- http://online.liebertpub.com/doi/abs/10.1089/neu.2015.4126
