Włókniak młodzieńczy nosogardła
| fibroma juvenile nasopharyngis | |
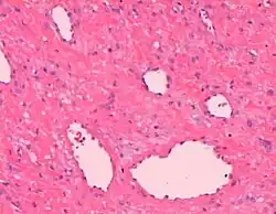
![]() Włókniak młodzieńczy nosogardła, obraz histologiczny, barwienie H-E[2] | |
| Klasyfikacje | |
| ICD-10 |
D10 |
|---|---|
| ICDO |
9160/0 |
Włókniak młodzieńczy nosogardła (naczyniakowłókniak młodzieńczy, łac. fibroma juvenile nasopharyngis, angiofibroma juvenile, ang. (juvenile) nasopharyngeal angiofibroma) – nowotwór łagodny o miejscowej złośliwości, występujący najczęściej u mężczyzn w 2. dekadzie życia. Nowotwór rozwija się w jamie nosowo-gardłowej[3]. Rośnie agresywnie miejscowo z tendencją do niszczenia kości. Może wnikać do zatok przynosowych, dołu skrzydłowo-podniebiennego, dołu podskroniowego, oczodołu, środkowego lub przedniego dołu czaszki. Ma postać czerwonawosinego polipa.
Objawy i przebieg
Guz przebiega z triadą objawów:
- niedrożnością nosa
- guz w nosogardle
- okresowymi krwawieniami z nosa.[4]
Obraz histologiczny
W badaniu histologicznym stwierdza się fibroblasty wrzecionowate i gwiazdkowate, grube pasma kolagenu i liczne cienkościenne naczynia krwionośne, równomiernie rozmieszczone w podścielisku[5]. Rozpoznanie guza nie opiera się na badaniu histopatologicznym: podejrzenie naczyniakowłókniaka młodzieńczego jest przeciwwskazaniem do biopsji zmiany[6].
Leczenie
Leczenie jest operacyjne, poprzedzone embolizacją guza i podaniem estrogenów. W przypadku wznowy stosuje się radioterapię i chemioterapię. Głównym powikłaniem guza jest, nierzadko śmiertelny w skutkach, krwotok[7].
Klasyfikacja ICD10
| kod ICD10 | nazwa choroby |
|---|---|
| ICD-10: D10 | Nowotwór niezłośliwy nosogardła |
| ICD-10: D10.6 | Część nosowa gardła |
Przypisy
- M. Krstulja, M. Kujundzić, A. Halaj, T. Braut i inni. Radiofrequency-induced thermotherapy of nasopharyngeal angiofibroma and immunohistochemical analysis of vessel proliferation: a case report.. „J Med Case Reports”. 2, s. 278, 2008. DOI: 10.1186/1752-1947-2-278. PMID: 18706100.
- ↑ M. Krstulja, M. Kujundzić, A. Halaj, T. Braut i inni. Radiofrequency-induced thermotherapy of nasopharyngeal angiofibroma and immunohistochemical analysis of vessel proliferation: a case report.. „J Med Case Reports”. 2, s. 278, 2008. DOI: 10.1186/1752-1947-2-278. PMID: 18706100.
- ↑ Raphael Rubin i inni, Rubin's Pathology: Clinicopathologic Foundations of Medicine, Lippincott Williams & Wilkins, 2008, s. 1071, ISBN 978-0-7817-9516-6 [dostęp 2024-12-03] (ang.).
- ↑ "Stachury i Domagały patologia znaczy słowo o chorobie" Wencjusz Domagała Tom II Wyd. 3 Kraków 2019
- ↑ Jerzy Stachura, Wenancjusz Domagała, Patologia znaczy słowo o chorobie, Kraków: Wydawnictwo PAU, 2003, ISBN 83-88857-65-7, OCLC 749316041.
- ↑ Nasopharyngeal angiofibroma [online], www.pathologyoutlines.com [dostęp 2024-12-03].
- ↑ Naczyniakowłókniak młodzieńczy. W: Jarosław Balcerzak: Otorynolaryngologia praktyczna. Podręcznik dla studentów i lekarzy. Tom I. Grzegorz Janczewski (red.). Gdańsk: Via Medica, 2007, s. 358-360. ISBN 978-83-60072-75-2.
Przeczytaj ostrzeżenie dotyczące informacji medycznych i pokrewnych zamieszczonych w Wikipedii.
