Wgłobienie mózgu
| herniatio cerebri | |
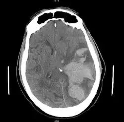
![]() Obraz TK wgłobienia podsierpowego. | |
| Klasyfikacje | |
| ICD-10 |
G93.5 |
|---|---|

Wgłobienie mózgu (wklinowanie mózgu, łac. herniatio cerebri) – określenie stanu, w którym wzrost ciśnienia śródczaszkowego prowadzi do przemieszczenia części mózgowia z fizjologicznego przedziału anatomicznego do innego.
Śródczaszkowe przedziały anatomiczne wyznaczone są przez kości czaszki i wypustki opon: sierp mózgu oraz sierp móżdżku. Istnieją następujące możliwości wgłobień:
- wgłobienie zakrętu obręczy pod sierp mózgu, zazwyczaj nie ma uciśnięcia ważnych życiowo struktur (rzadko zamknięciu ulega tętnica okołospoidłowa); polega na wgłobieniu zakrętu obręczy do przestrzeni między dolnym brzegiem sierpa mózgu (zatoką strzałkową dolną) a górną powierzchnią ciała modzelowatego;
- wgłobienie we wcięcie namiotu (wklinowanie boczne, wklinowanie haka, ang. transtentorial herniation, tentorial notch herniation), gdy przyśrodkowa część płata skroniowego nazywana hakiem zakrętu przyhipokampowego przemieszcza się między wcięcie brzegu namiotu a śródmózgowie; następuje uciśnięcie tożstronego konaru mózgu, leżących we wcięciu namiotu nerwu okoruchowego i tętnicy tylnej mózgu oraz śródmózgowia. W niektórych przypadkach wgłobienia we wcięcie namiotu na konarze mózgu powstaje odwracalne wcięcie, określane jako wcięcie Kernohana (Kernohan's notch).
- wgłobienie w otwór wielki (tonsillar herniation) polega na przemieszczeniu migdałków móżdżku do otworu wielkiego. Może do niego dojść wskutek wzrostu ciśnienia śródczaszkowego, towarzyszącego niektórym guzom nadnamiotowym, i, przede wszystkim, w guzach tylnego dołu czaszki. Przemieszczenie pnia mózgu może doprowadzić do wtórnych wylewów krwawych do pnia, tzw. krwotoki Dureta.
- wgłobienie tylne (wgłobienie pokrywowe, ang. tectal herniation) – rzadko spotykana patologia, polegająca na ucisku tylnych części przyśrodkowych płatów skroniowych na wzgórki górne blaszki pokrywy
- wgłobienie środkowe (wgłobienie osiowe, ang. central herniation, axial herniation) polega na przemieszczeniu w otwór wielki całego pnia mózgu. Dochodzi do napięcia i rozerwania gałęzi przeszywających odchodzących od tętnicy podstawnej, zawału i krwotoku do pnia.
Objawy
- Wgłobienie zakrętu obręczy pod sierp mózgu
Zazwyczaj jest nieme klinicznie. Udar niedokrwienny kory przyśrodkowej powierzchni półkuli mózgu i niedowład kończyny dolnej w wyniku zamknięcia tętnicy okołospoidłowej jest rzadkim powikłaniem. Rozpoznawane w badaniach neuroobrazowych jako przemieszczenie linii środkowej (midline shift).
- Wgłobienie haka zakrętu przyhipokampowego we wcięcie namiotu móżdżku
Uciśnięcie nerwu III spowoduje w pierwszej kolejności rozszerzenie źrenicy i brak reakcji na światło po stronie zmiany wywierającej ucisk. Uciśnięcie śródmózgowia powoduje kolejno:
- objawy uszkodzenia dróg piramidowych: niedowład połowiczy i objaw Babińskiego po stronie przeciwnej do uszkodzenia w przypadku uciśnięcia konaru mózgu przez wcięcie namiotu; fałszywie lokalizujący objaw, określany też jako zespół Kernohana-Woltmana;
- zaburzenia przytomności;
- sztywność odmóżdżeniową z prężeniami;
- niewydolność krążeniowo-oddechową i śmierć.
Powikłaniem wklinowania we wcięcie namiotu może być ślepota korowa wywołana zawałem płatów potylicznych, powstałym w wyniku zamknięcia tętnic tylnych mózgu.
- Wgłobienie migdałków móżdżku do otworu wielkiego
W przewlekłym wklinowaniu obserwowane są:
- sztywność karku
- przymusowe pochylenie głowy
- zaburzenia z nerwów czaszkowych
- objawy z długich szlaków nerwowych
- bradykardia
- czkawka
- niekiedy parestezje na karku i ramionach.
Ostre wklinowanie prowadzi do nagłej śmierci w związku z uszkodzeniem ośrodka oddechowego. Typowo występuje bezdech przy zachowanej świadomości pacjenta. Bradypnoë z częstością oddechów mniejszą niż 10/minutę często towarzyszy zagrażającemu wgłobieniu w otwór wielki.
Bibliografia
- Neurologia. Podręcznik dla studentów medycyny. Wojciech Kozubski, Paweł P. Liberski (red.). Warszawa: Wydawnictwo Lekarskie PZWL, 2006, s. 469-470, 587-588. ISBN 83-200-3244-X.
- Laine FJ, Shedden AI, Dunn MM, Ghatak NR. Acquired intracranial herniations: MR imaging findings. „Am J Roentgenol”. 165, s. 967-973, 1995.
- Christopher Turner, Anish Bahra, Katia Cikurel: Crash Course: Neurologia. Wrocław: Elsevier Urban&Partner, s. 134-135. ISBN 978-83-60290-71-2.
- Choroby układu nerwowego. Wojciech Kozubski, Paweł P. Liberski (red.). Warszawa: Wydawnictwo Lekarskie PZWL, 2004, s. 147-148, 203-204. ISBN 83-200-2636-9.
Przeczytaj ostrzeżenie dotyczące informacji medycznych i pokrewnych zamieszczonych w Wikipedii.
