Wytrzewienie

Wytrzewienie
gatroschisis
Ilustracja
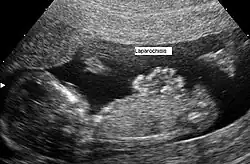
Wrodzony rozszczep powłok brzusznych widoczny w obrazie USG płodu.
Klasyfikacje
ICD-10

Q79.3

Wytrzewienie (łac. gastroschisis, ang. gastroschisis) – wada rozwojowa, zazwyczaj izolowana, polegająca na wrodzonym rozszczepie powłok brzusznych.

Bibliografia

  • Lech Korniszewski Dziecko z zespołem wad wrodzonych. Diagnostyka dysmorfologiczna. PZWL 1994 ISBN 83-200-1808-0.

Przeczytaj ostrzeżenie dotyczące informacji medycznych i pokrewnych zamieszczonych w Wikipedii.