Złamanie przewlekłe
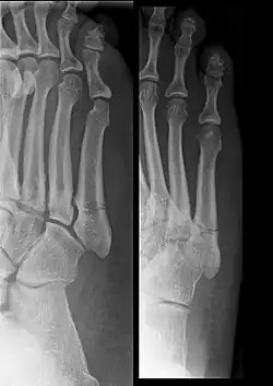
![]() Złamanie nasady V kości śródstopia |
Złamanie przewlekłe (synonimy: marszowe, stresowe, zmęczeniowe) — typ złamania, w którym przyczyną przerwania struktury kostnej nie jest pojedynczy uraz, lecz liczne mikrourazy, zazwyczaj rozciągnięte w czasie, bądź przewlekłe przeciążenie (typowy okres działania przyczyny wynosi od kilkunastu dni do kilku tygodni[1].
Patomechanizm
Złamanie przewlekłe jest skutkiem zmęczenia mięśni. Pełnią one funkcję nie tylko ruchową, ale i amortyzującą. Poprzez skurcz lub rozluźnienie powodują wyhamowanie ciała, zmniejszenie amplitudy drgań i w konsekwencji rozłożenie nacisku na kość. W zmęczonym mięśniu efekt amortyzacji zanika i obciążenie naciskiem przenosi się wprost na kość. Powtarzające się naciski skutkują zmęczeniem utkania kostnego na zasadzie zmęczenia materiału.
Występowanie
Złamania pojawiają się w sytuacjach zwiększonego obciążenia narządu ruchu, zwłaszcza u sportowców, którzy zmienili metodykę lub zwiększyli objętość treningu. Nazwa historyczna (złamanie marszowe) pochodzi od częstego występowania tych złamań u żołnierzy piechoty, przede wszystkim niedawno wcielonych poborowych. Jednym z czynników ryzyka jest bieg po twardych nawierzchniach, w nieodpowiednim obuwiu.
Lokalizacja
Do złamania może dojść w każdej nadmiernie przeciążanej kości. Miejscami częstszego występowania złamań przewlekłych są trzony kości śródstopia oraz górna część trzonu kości piszczelowej, zwłaszcza u biegaczy. Inne lokalizacje złamań to trzon kości udowej, kości ramiennej u (miotaczy), żebro (u wioślarzy), nadgarstek i trzon kręgu L5 u gimnastyków.
Diagnostyka
Zdjęcie rentgenowskie rzadko pozwala uwidocznić mikrozłamania, co daje 70% wyników fałszywie ujemnych. Badania radiologiczne złamania przewlekłego może (ale nie musi) ujawnić dyskretną szczelinę złamania z dominującym obrazem obfitej kostniny o wrzecionowatym kształcie. Rzadziej, gdy przeciążenia lub mikrourazy były silniejsze, a do złamania doszło w krótszym czasie, szczelina bywa wyraźnie widoczna. Wczesną fazę złamania zmęczeniowego może ujawnić scyntygrafia kośćca.
Zapobieganie
Wzmocnienie aparatu mięśniowego poprawia rozkład obciążeń, co redukuje nacisk sił działających poza oś długą kości i obniża ryzyko złamania. Odpowiednia podaż wapnia zapobiega niskiej gęstości kośćca (osteopenia), która występuje zwłaszcza u kobiet. Nie udowodniono natomiast, by zbyt wysoka masa ciała (BMI) zwiększała częstość złamań zmęczeniowych.
Klasyfikacja ICD10
| kod ICD10 | nazwa choroby |
|---|---|
| ICD-10: M84 | Zaburzenia ciągłości kości |
| ICD-10: M84.3 | Złamanie zmiażdżeniowe niesklasyfikowane gdzie indziej |
| ICD-10: M48 | Inne choroby kręgosłupa |
| ICD-10: M48.4 | Zmęczeniowe złamanie kręgu Zmiażdżeniowe złamanie kręgu |
Przypisy
- ↑ Ortopedia i taumatologia. T. 1, red. nauk. prof. dr hab. med. Tadeusz Sz. Gaździk, Wyd. Lekarskie PZWL, Warszawa 2010, s. 143-144.
Bibliografia
- K. Zimmer: Złamania zmęczeniowe. W: Medycyna sportowa. Marek Mędraś (red.). Medsportpress, 2004, s. 464-5. ISBN 83-908701-0-X.
- S. Zgliczyński: Radiologia. Warszawa: 1989. ISBN 83-200-1295-3.
- R. Wilder, S. Sethi. Overuse injuries: tendinopathies, stress fractures, compartment syndrome, and shin splints. „Clinics in Sports Medicine”. 23 (1), s. 55-81, 2004. (ang.).
Przeczytaj ostrzeżenie dotyczące informacji medycznych i pokrewnych zamieszczonych w Wikipedii.
