Złośliwy nowotwór osłonek nerwów obwodowych


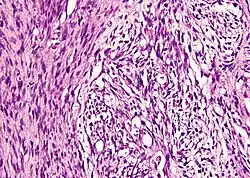
Złośliwy nowotwór osłonek nerwów obwodowych (ang. malignant peripheral nerve sheath tumor, MPNST) – nowotwór złośliwy nerwów obwodowych, wywodzący się przypuszczalnie z komórek onerwia (perineurium). W około 50% przypadków występuje u pacjentów z nerwiakowłókniakowatością typu 1 (chorobą von Recklinghausena)[1]. Ryzyko rozwoju guza u pacjenta z NF1 w ciągu całego jego życia szacuje się na 7-12%[2]. MPNST jest guzem o dużej złośliwości (IV° według WHO).
Przypisy
- ↑ Nowotwory ośrodkowego układu nerwowego. W: Dariusz J. Jaskólski, Wielisław Papierz, Wojciech Biernat, Paweł P. Liberski: Choroby układu nerwowego. Wojciech Kozubski, Paweł P. Liberski (red.). Warszawa: Wydawnictwo Lekarskie PZWL, 2004, s. 178. ISBN 83-200-2636-9.
- ↑ Evans DG, Baser ME, McGaughran J et al. Malignant peripheral nerve sheath tumours in neurofibromatosis 1. „J Med Genet”. 39. 5, s. 311–314, 2002. PMID: 12011145.
Przeczytaj ostrzeżenie dotyczące informacji medycznych i pokrewnych zamieszczonych w Wikipedii.