Złuszczające śródmiąższowe zapalenie płuc
![]() | |
| Klasyfikacje | |
| ICD-10 | |
|---|---|
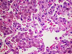
Złuszczające śródmiąższowe zapalenie płuc (ang. desquamative interstitial pneumonia, DIP) – rzadka choroba zaliczana do idiopatycznych śródmiąższowych zapaleń płuc występująca u osób palących[1], najczęściej w wieku 30-50 lat. Choroba objawia się kaszlem i dusznością, w badaniu przedmiotowym stwierdza się palce pałeczkowate, podczas osłuchiwania stetoskopem trzeszczenia nad dolnymi polami płucnymi. W gazometrii wykazać można hipoksemię. W badaniu rentgenowskim klatki piersiowej stwierdza się zmiany o charakterze "mlecznego szkła" (nieznaczne zacienienie obszaru płuc z widocznym rysunkiem naczyń krwionośnych[2]). W badaniu tomokomputerowym widoczne są zmiany o charakterze "mlecznego szkła" i siateczkowate zlokalizowane na obwodzie płuc. W diagnostyce wykorzystuje się również badanie histopatologiczne tkanki pobranej w czasie biopsji płuca. W leczeniu stosuje się kortykosterydy. Opisano skuteczną terapię metyloprednizolonem u 10-letniego dziecka[3].
Przypisy
- ↑ Heyneman LE., Ward S., Lynch DA., Remy-Jardin M., Johkoh T., Müller NL. Respiratory bronchiolitis, respiratory bronchiolitis-associated interstitial lung disease, and desquamative interstitial pneumonia: different entities or part of the spectrum of the same disease process?. „AJR. American journal of roentgenology”. 6 (173), s. 1617–22, grudzień 1999. PMID: 10584810.
- ↑ Grzanka Piotr, Bestry Iwona: Badania diagnostyczne. W: Andrzej Szczeklik: Choroby wewnętrzne : podręcznik multimedialny oparty na zasadach EBM, [T. 1]. Cz. II: Choroby układu oddechowego. Kraków: Medycyna Praktyczna, 2005, s. 483. ISBN 83-7430-031-0.
- ↑ Paul K., Klettke U., Moldenhauer J., Müller KM., Kleinau I., Magdorf K., Wahn U. Increasing dose of methylprednisolone pulse therapy treats desquamative interstitial pneumonia in a child.. „The European respiratory journal : official journal of the European Society for Clinical Respiratory Physiology”. 6 (14), s. 1429–32, grudzień 1999. PMID: 10624777.
Bibliografia
- Rowińska-Zakrzewska Ewa, Bestry Iwona: Choroby śródmiąższowe płuc. W: Andrzej Szczeklik: Choroby wewnętrzne : podręcznik multimedialny oparty na zasadach EBM, [T. 1]. Cz. II: Choroby układu oddechowego. Kraków: Medycyna Praktyczna, 2005, s. 572, 575. ISBN 83-7430-031-0.
- American Thoracic Society/European Respiratory Society International Multidisciplinary Consensus Classification of the Idiopathic Interstitial Pneumonias. „Am. J. Respir. Crit. Care Med”. 165 (2), s. 277-304, 2002 Jan 15. (ang.).
Przeczytaj ostrzeżenie dotyczące informacji medycznych i pokrewnych zamieszczonych w Wikipedii.
_2.jpg)