Zapalenie gruczołu krokowego
| prostatitis | |
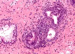
![]() Histologiczny obraz zapalenia prostaty. Po lewej stronie ilustracji obraz gruczołu nie zmienionego zapalnie. (Barwienie H+E) | |
| Klasyfikacje | |
| ICD-10 |
N41 |
|---|---|
Zapalenie gruczołu krokowego – najczęstsza choroba zapalna dotykająca młodych mężczyzn w wieku od 18. do 50. roku życia. Występuje w dwóch postaciach: ostrej i przewlekłej.
Przewlekłe zapalenie gruczołu krokowego
Przewlekłe zapalenie gruczołu krokowego przebiega miesiącami, a nawet latami; objawami są uczucie dyskomfortu w kroczu, pobolewania w podbrzuszu, jądrach lub plecach, częste oddawanie moczu, również w nocy, słabszy strumień moczu, wyciekanie moczu po zakończeniu mikcji. Temperatura ciała często jest prawidłowa. W nasieniu może pojawić się krew. Diagnostyka polega na wywiadzie z pacjentem i badaniu fizykalnym. Leczenie zazwyczaj przynosi poprawę natychmiastową, choć są indywidualne przypadki leczenia wielomiesięcznego.
Ostre zapalenie gruczołu krokowego
Przebiega gwałtownie, z wysoką gorączką, nudnościami, wymiotami. Bóle podbrzusza są silne, opasujące. Próba oddawania moczu przynosi silny ból. Wymaga pilnej interwencji urologicznej – badanie musi być ograniczone tylko do wykluczenia innych przyczyn dolegliwości. Leczenie powinno być włączone natychmiast, często, jeżeli stan pacjenta jest ciężki, w warunkach hospitalizacji.
Klasyfikacja ICD10
| kod ICD10 | nazwa choroby |
|---|---|
| ICD-10: N41 | Choroby zapalne gruczołu krokowego |
| ICD-10: N41.0 | Ostre zapalenie gruczołu krokowego |
| ICD-10: N41.1 | Przewlekłe zapalenie gruczołu krokowego |
| ICD-10: N41.2 | Ropień gruczołu krokowego |
| ICD-10: N41.3 | Zapalenie gruczołu krokowego i pęcherza moczowego |
| ICD-10: N41.8 | Inne choroby zapalne gruczołu krokowego |
| ICD-10: N41.9 | Choroba zapalna gruczołu krokowego, nie określona |
Bibliografia
- "British Jurnal of Urology"
- "Polish Urology"
- "EAU Guidelines"
Przeczytaj ostrzeżenie dotyczące informacji medycznych i pokrewnych zamieszczonych w Wikipedii.
