Zapalenie przyzębia
| periodontitis | |
| Klasyfikacje | |
| ICD-10 |
K05 |
|---|---|



Zapalenie przyzębia (łac. periodontitis), potocznie nazywane parodontozą lub paradentozą – choroba infekcyjna tkanek przyzębia, prowadząca w skrajnych przypadkach do rozchwiania i utraty zębów. W polskiej systematyce jedna z chorób przyzębia (periodontopatii).
Etiologia
Przyczyną większości przypadków zapalenia przyzębia są bakterie płytki nazębnej i kamienia nazębnego, gromadzące się na powierzchni zębów jako rezultat niedostatecznej higieny przyzębia. Mogą one penetrować w głąb szczelin dziąsłowych (obszar między brzegiem dziąsła a szkliwem zęba) i tworzyć kieszenie patologiczne, a w efekcie – powodować zanik kości i rozchwianie zębów. Pewną rolę odgrywają również mechanizmy immunologiczne gospodarza, a w związku z tym czynniki genetyczne. W przypadku wydolnego systemu immunologicznego danego organizmu ryzyko zapalenia przyzębia jest mniejsze, nawet pomimo ewentualnego przewlekłego zapalenia dziąseł.
Patogeny przyzębne
Decydującym o wystąpieniu oraz niekiedy determinującym postać zapalenia przyzębia czynnikiem etiologicznym jest obecność i patogenność płytki bakteryjnej. Z kieszonek przyzębnych wyizolowano około 500 szczepów bakterii, z których zaledwie kilka gatunków zostało jednoznacznie powiązanych z występowaniem i progresją zapaleń przyzębia. Większość zidentyfikowanych szczepów są to saprofity jamy ustnej, które w sprzyjających dla siebie warunkach mogą wykazywać patogenność dla tkanek przyzębia. Wśród bakterii związanych z zapaleniem przyzębia dominują Gram-ujemne beztlenowe pałeczki, którym w skolonizowanej przez nie kieszonce przyzębnej towarzyszą również Gram-dodatnie fakultatywne i beztlenowe ziarniaki i pałeczki oraz Gram-ujemne fakultatywne pałeczki. Oprócz wyżej wymienionych, w kieszonce występować mogą mikroorganizmy potencjalnie ją nadkażające (m.in. Gram-ujemne pałeczki jelitowe, Pseudomonas, gronkowce, drożdżaki)[1].
Związek pomiędzy patogenami przyzębnymi i zapaleniem przyzębia:
- Bardzo duży
- Porphyromonas gingivalis
- Aggregatibacter actinomycetemcomitans (wcześniej Actinobacillus actinomycetemcomitans)
- Tannerella forsythensis
- Krętki ostrego martwiczego zapalenia dziąseł
- Duży
- Prevotella intermedia
- Dialister pneumosintes
- Dialister invisus
- Eubacterium nodatum
- Treponema denticola
- Średni
- Campylobacter rectus
- Peptostreptococcus micros
- Fusobacterium nucleatum
- Selenomonas noxia
- Eikenella corrodens
- Beta-hemolizujące Streptococci
Objawy
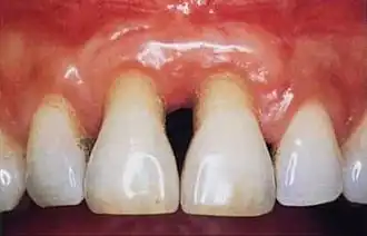
Pierwsze objawy zapalenia przyzębia to obnażanie szyjek zębów przy jednoczesnym zapaleniu dziąseł. Przebieg choroby charakteryzuje się sukcesywną utratą kości wyrostka zębodołowego, a przez to utratą aparatu wieszadłowego zęba. W ostrych stanach zapalnych pojawia się ból i krwawienie dziąseł. Zapalenia przyzębia występują częściej u osób powyżej 35. roku życia oraz u palaczy papierosów.
Najczęstsze objawy paradontozy to:
- krwawienie dziąseł (samoistne lub podczas szczotkowania)
- zaczerwienienie i obrzęk
- nadwrażliwość (bolesność) na temperaturę, dotyk
- nieprzyjemny zapach i posmak w ustach
- cofnięte dziąsła i odsłonięte szyjki zębowe
- kieszonki dziąsłowe (zwiększona przestrzeń pomiędzy tkankami przyzębia a zębem)
- ruchomość zębów i przerwy między nimi (szparowatość)
- ropna wydzielina pomiędzy zębem a dziąsłem
- ropień tkanek przyzębia, ewentualnie przetoka („tunel”, którym ropa wypływa z ropnia)
Ropnie tkanek przyzębia
- ropień dziąsła (ang. gingival abscess)
- ropień przyzębia (ang. periodontal abscess)
- ropień okołokoronowy (ang. pericoronal abscess)
- połączone zmiany periodontalno-endodontyczne (ang. combined periodontic-endodontic lesions)[2]
Leczenie
W łagodnej postaci paradontozy, by zahamować postępowanie choroby, wystarczy systematyczne usuwanie kamienia nazębnego, przestrzeganie higieny jamy ustnej, korekta nieprawidłowo wykonanych wypełnień bądź wykonanie uzupełnień protetycznych jak protezy, mosty, korony w przypadku braków zębowych.
Postać umiarkowana i ciężka oprócz wyżej wymienionych punktów leczenia często wymaga przeprowadzania dodatkowo kiretażu (zabiegu oczyszczania powierzchni korzenia) wraz z uzupełnieniem ubytków kostnych preparatami kościozastępczymi.
Antybiotyki w leczeniu zapalenia przyzębia
Nie zaleca się rutynowego stosowania antybiotykoterapii w leczeniu zapalenia przyzębia i tkanek okołowszczepowych u pacjentów immunokompetentnych (bez deficytu immunologicznego[3]); podstawowe znaczenie w leczeniu periodontologicznym ma terapia mechaniczna, która polega na usunięciu złogów nad- i poddziąsłowych oraz wygładzeniu powierzchni korzeni (ang. scaling and root planing, SRP).
Zaleca się ogólne podanie antybiotyku u pacjentów z ostrymi objawami choroby, takimi jak mnogie ropnie przyzębne oraz martwicze choroby przyzębia przebiegające z objawami ogólnymi (wysoka gorączka, złe samopoczucie, zawroty głowy, odwodnienie lub tachykardia).
Zastosowanie systemowej antybiotykoterapii należy rozważyć także w przypadku braku odpowiedzi na terapię mechaniczną u pacjentów z potwierdzoną infekcją A. actinomycetemcomitans i/lub P. gingivalis w stadium IV zapalenia przyzębia (wg klasyfikacji chorób przyzębia i tkanek okołowszczepowych z 2017 roku[4]).
Podanie antybiotyku powinno być, jeśli to tylko możliwe, poprzedzone wykonaniem badania mikrobiologicznego z oceną lekowrażliwości periopatogenów.
W przypadku terapii empirycznej w mnogich ropniach przyzębnych zaleca się terapię amoksycyliną z kwasem klawulanowym, w przypadku uczulenia na antybiotyki penicylinowe zaleca się podanie azytromycyny, w tym wskazaniu zaleca się podanie antybiotyku równocześnie z terapią mechaniczną.
W przypadku terapii empirycznej w martwiczych chorobach przyzębia zaleca się stosowanie metronidazolu, w tym wskazaniu zaleca się podanie antybiotyku równocześnie z terapią mechaniczną.
W przypadku terapii empirycznej w IV stadium zapalenia przyzębia zaleca się terapię skojarzoną amoksycyliną (bez kwasu klawulanowego) z metronidazolem. W przypadku uczulenia na antybiotyki penicylinowe zaleca się stosowanie wyłącznie metronidazolu. Pierwsza dawka antybiotyku powinna być przyjęta w dniu zakończenia terapii mechanicznej[5].
Klasyfikacja ICD10
| kod ICD10 | nazwa choroby |
|---|---|
| ICD-10: K05 | Zapalenie dziąsła i choroby przyzębia |
| ICD-10: K05.2 | Ostre zapalenie przyzębia |
| ICD-10: K05.3 | Przewlekłe zapalenie przyzębia |
Zobacz też
Przypisy
- ↑ Paster BJ, Boches SK, Galvin JL, Ericson RE, Lau CN, Levanos VA, Sahasrabudhe A, Dewhirst FE: Bacterial diversity in human subgingival plaque, Journal of Bacteriology, 2001, 183: 3770-3783.
- ↑ Hans-Peter Mueller, (red. pol.) Renata Górska: Periodontologia. Wrocław: Edra Urban & Partner, 2017, s. 62-63. ISBN 978-83-65625-98-4.
- ↑ Racjonalna antybiotykoterapia Polskie Towarzystwo Stomatologiczne
- ↑ Caton J.G. i inni: A new classification scheme for periodontal and peri-implant diseases and conditions - Introduction and key changes from the 1999 classification. Journal of Periodontology 2018; 89 Suppl 1:S1-S8
- ↑ Rekomendacje Grupy Roboczej Polskiego Towarzystwa Stomatologicznego i Narodowego Programu Ochrony Antybiotyków w zakresie stosowania antybiotyków w stomatologii Narodowy Instytut Leków, Warszawa 2019, ISBN 978-83-949636-1-3
Przeczytaj ostrzeżenie dotyczące informacji medycznych i pokrewnych zamieszczonych w Wikipedii.