Zarodziec pasmowy
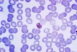
![]() Schizonty zarodźca pasmowego (rozmaz krwi wybarwiony metodą Giemsy) | |
| Systematyka | |
| Domena | |
|---|---|
| Supergrupa | |
| Nadtyp | |
| Typ | |
| Podtyp | |
| Gromada |
Aconoidasida |
| Rząd | |
| Rodzina |
Plasmodiidae |
| Rodzaj | |
| Podrodzaj | |
| Gatunek |
zarodziec pasmowy |
| Nazwa systematyczna | |
| Plasmodium malariae Grassi et Feletti 1890 | |
Zarodziec pasmowy (Plasmodium malariae) – gatunek protista zaliczany do apikompleksów, jeden z kilku pasożytów wewnątrzkomórkowych, które wywołują malarię u ludzi[1][2].
Morfologia
W erytrocytach gatunek ten przybiera pierścieniowatą formę, która zajmuje około 1/8 objętości komórki (ta postać rzadko jednak występuje we krwi). Okrągły lub podłużny (pałeczkowaty) trofozoit ma chromatynę położoną pod ciemnobrązowym pigmentem[1].
Ekologia
Występuje w klimacie równikowym (tropikalnym), głównie w rejonach, w których temperatura w ciągu doby nie spada poniżej 16 °C[1].
Zasięg występowania tego gatunku jest ściśle skorelowany z występowaniem jego wektorów, tj. niektórych komarów widliszków (Anopheles): widliszek plamistoskrzydły (A. maculipennis), A. quadrimaculatus, A. gambiae oraz innych lokalnych gatunków.
Chorobotwórczość
Zarodziec pasmowy wywołuje odmianę malarii nazywany malarią czterodniową[1][2] (łac. plasmodis s. malaria quartana)[2] lub czwartaczką[1][2], o okresie inkubacji wynoszącym 27–40 dni[1] i stosunkowo ciężkich napadach[1][2] pojawiających się co 72[1] lub 96 (czyli co czwarty dzień)[2] godzin przez 3–24 tygodnie. Zakażenie może utrzymywać się w organizmie nawet powyżej 20 lat i nawracać okresowo. Często towarzyszy mu białkomocz, a u dzieci również zespół nerczycowy. Niekiedy zakażenie może przebiegać jednak bezobjawowo[1].
Cykl życiowy[1]

Pokolenie bezpłciowe rozmnaża się w organizmie człowieka na drodze schizogonii, natomiast pokolenie płciowe rozmnaża się w organizmie samicy komara na drodze sporogonii.
Samica komara wraz z ukłuciem wprowadza do krwi człowieka sporozoity, które następnie wnikają do wątroby (trwa to 30–60 minut). Sporozoity rozwijają się dalej (schizogonia pozakrwinkowa), przyjmują formę okrągłą lub owalną, a ostatecznie przekształcają się w pierścieniowy schizont.
Schizonty dojrzewają, po czym dzielą się wielokrotnie na merozoity, które infekują erytrocyty (głównie starsze, nierzadko także o zmniejszonej średnicy). W tych ostatnich zachodzi schizogonia krwinkowa, podczas której forma pierścieniowa przekształca się w trofozoit i schizont (zajmują one wówczas nawet objętości 2/3 krwinki). W pełni dojrzałe schizonty (merocyty) dzielą się (merulacja) i rozpadają na 6–12 (zwykle 8) merozoitów, które zarażają dalej kolejne erytrocyty.
Po kilku (zwykle 3) dniach z części merozoitów powstają makrogametocyty i mikrogametocyty, które dostają się do jelita komara, gdy zainfekowany człowiek zostanie ponownie ugryziony. Mikrogametocyt przekształca się w 4–6 ruchliwych mikrogamet, natomiast makrogametocyt w jedną nieruchliwa makrogametę (sporogonia). Obie gamety łącza się tworząc ruchliwą, uwicioną zygotę (ookinetę). Ta następnie wnika pod nabłonek jelita komara i przekształca się w oocystę, która z kolei przekształca się w sporocystę, po której pęknięciu uwalniane są sporozoity, przedostające się do gruczołów ślinowych komara.
Zobacz też
Przypisy
- 1 2 3 4 5 6 7 8 9 10 Antoni Deryło (red.), Parazytologia i akaroentomologia medyczna, Warszawa: Wydawnictwo Naukowe PWN, 2011, s. 130–131, ISBN 978-83-01-13804-2.
- 1 2 3 4 5 6 Emilia Andrzejewska-Golec, Lucjan Świątek: Materiały do ćwiczeń z parazytologii dla studentów farmacji. Uniwersytet Medyczny w Łodzi, 2004, s. 31. ISBN 83-88940-22-8.
