Zespół Alagille’a
![]() | |
| Klasyfikacje | |
| ICD-10 | |
|---|---|
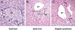
Zespół Alagille’a (ang. Alagille syndrome, AGS) – zespół wad wrodzonych charakteryzujący się występowaniem zaburzeń w obrębie wątroby, serca, nerek i trzustki. Nazwa zespołu pochodzi od Daniela Alagille’a[1][2] – francuskiego lekarza pediatry, który stworzył pierwszy opis choroby
Epidemiologia
Częstość występowania szacuje się na 1:70.000.
Etiopatogeneza
Zespół Alagille’a dziedziczony jest w sposób autosomalny dominujący. Wywołują go nieprawidłowości w budowie (lub całkowity brak) białka Jagged-1 – należącego do grupy DSL ligandu receptora Notch1, kodowanego przez gen JAG1 (JAGGED1) położony na chromosomie 20.
Objawy
- zwężenia dróg żółciowych
- cholestaza wewnątrzwątrobowa:
- wady serca (zastawkowe zwężenie drogi odpływu prawej komory, zwężenie tętnic płucnych)
- wady kręgosłupa
- wady narządu wzroku
- cechy dysmorficzne twarzy (wydatne czoło, głęboko osadzone oczy, mała spiczasta broda, hiperteloryzm).
- hipogonadyzm
- niskorosłość, wyniszczenie, opóźniony rozwój
Przypisy
- ↑ Alagille’s syndrome w bazie Who Named It (ang.)
- ↑ D. Alagille i inni, Hepatic ductular hypoplasia associated with characteristic facies, vertebral malformations, retarded physical, mental, and sexual development, and cardiac murmur, „The Journal of Pediatrics”, 86 (1), 1975, s. 63–71, DOI: 10.1016/s0022-3476(75)80706-2, PMID: 803282 [dostęp 2022-10-23] (ang.).
Linki zewnętrzne
- ALAGILLE SYNDROME 1; ALGS1 w bazie Online Mendelian Inheritance in Man (ang.)
- ALAGILLE SYNDROME 2; ALGS2 w bazie Online Mendelian Inheritance in Man (ang.)
Przeczytaj ostrzeżenie dotyczące informacji medycznych i pokrewnych zamieszczonych w Wikipedii.
