Zespół Arnolda-Chiariego
| syndroma Arnold-Chiari | |
![]() | |
| Klasyfikacje | |
| ICD-10 | |
|---|---|

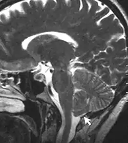
Zespół Arnolda-Chiariego (malformacja Arnolda-Chiariego, aktualna nazwa: malformacje Chiariego ang. Arnold-Chiari malformation, Chiari malformations, ACM, CM) – malformacja mózgowia polegająca na przemieszczeniu struktur tyłomózgowia do kanału kręgowego. Może współistnieć z przepukliną oponowo-rdzeniową[2]. Według najnowszej nomenklatury termin ,,malformacja Arnolda-Chiariego" zarezerwowany jest dla malformacji Chiari typu 2 (dziecięcy), a termin ,,malformacja Chiari" typowo odnosi się do malformacji Chiari typu 1 (dorosłych). Z uwagi na wprowadzone typy 1.5 i 0 używa się obecnie cyfr arabskich, zamiast rzymskich[3]
Objawy i przebieg

Wyróżniamy aktualnie sześć typy malformacji Chiari, z których typ I i typ II występują najczęściej[5].
| Typ | Opis |
| 0 | Syringomielia bez towarzyszącego przemieszczenia tyłomózgowia, która ustępuje po wykonaniu odbarczenia tylnej jamy czaszki[6] |
| 1 | inaczej: pierwotna ektopia móżdżku lub malformacja Chiari dorosłych. Zaburzenie przepływu płynu mózgowo-rdzeniowego przez otwór wielki czaszki na skutek przemieszczenia migdałków móżdżku w kierunku otworu wielkiego. Syringomielia towarzyszy w 30-70% przypadków, wodogłowie w 7-9%. Obniżenie migdałków móżdżku nie jest obecnie konieczne do postawienia diagnozy - należy udokumentować zaburzenie przepływu płynu mózgowo-rdzeniowego. |
| 1.5 | Zaawansowana forma typu 1 - całe połączenie szyjno-rdzeniowe wraz z zasuwką komory IV znajduje się poniżej poziomu otworu wielkiego. |
| 2 | Malformacja Arnolda-Chiariego. Typ dziecięcy. Przemieszczenie robaka móżdżku, opuszki i mostu łącznie z komorą IV. Zwykle związane z mielomeningocele (rozszczep kręgosłupa) i wodogłowiem. |
| 3 | Bardzo rzadki. Występowanie uznawane za kontrowersyjne. W otworze potylicznym znajduje się cały móżdżek. Uznawany za wadę letalną. |
| 4 | Oryginalnie opisany jako hipoplazja móżdżku bez wgłobienia struktur tylnej jamy do otworu wielkiego związana z obecnością bardzo małej tylnej jamy czaszki. Występowanie jako osobna jednostka kliniczna jest obecnie rozważane. |
Historia

Pierwszy opis malformacji pnia mózgu i móżdżku u dzieci z przepukliną rdzenia kręgowego przedstawił szkocki lekarz John Cleland[7], ale jego odkrycie nie zostało dostrzeżone. Kilka lat później austriacki patolog Hans von Chiari opublikował pracę, w której przedstawił szereg przypadków malformacji i zaproponował teorię powstawania wodogłowia u tych pacjentów[8]. Pięć lat później przedstawił klasyczną monografię na ten temat[9]. Niemiecki patolog Julius Arnold, trzy lata po pierwszej pracy Chiariego, opisał przypadek niemowlęcia z przepukliną rdzenia kręgowego w odcinku piersiowo-lędźwiowym, zaburzonym rozwojem pnia mózgu, z częścią móżdżku i IV komorą przemieszczonymi do kanału rdzenia[10]. Dwóch studentów Arnolda, w tym Ernst Schwalbe, w 1907 napisało pracę, w której podkreślili związek między przepukliną rdzeniową a deformacją tylnego dołu czaszki i wprowadzili termin Arnoldsche und Chiarische Missbildung.
Przypisy
- ↑ Harold L Rekate, The definition and classification of hydrocephalus: a personal recommendation to stimulate debate, „Cerebrospinal Fluid Res”, 5 (2), 2008, s. 2, DOI: 10.1186/1743-8454-5-2, PMID: 18211712, PMCID: PMC2263019.
- ↑ Anna Dobrzańska, Józef Ryżko Pediatria. Podręcznik do Państwowego Egzaminu Lekarskiego i egzaminu specjalizacyjnego Urban & Partner 2005 ISBN 83-89581-25-6.
- ↑ Primary Craniospinal Anomalies - Chiari malformations, [w:] Mark S., M.D. Greenberg, Handbook of neurosurgery, Ninth edition, New York, NY 2020, s. 292, ISBN 978-1-68420-137-2, OCLC 1080554354 [dostęp 2022-08-24].
- ↑ Sekula RF Jr, Jannetta PJ, Casey KF, Marchan EM, Sekula LK, McCrady CS. Dimensions of the posterior fossa in patients symptomatic for Chiari I malformation but without cerebellar tonsillar descent. „Cerebrospinal Fluid Research”. 2 (11), 2005. DOI: 10.1186/1743-8454-2-11. PMID: 16359556. PMCID: PMCPMC1343586.
- ↑ Primary Craniospinal Malformations, [w:] Mark S., M.D. Greenberg, Handbook of neurosurgery, Ninth edition, New York, NY 2020, s. 292-300, ISBN 978-1-68420-137-2, OCLC 1080554354 [dostęp 2022-08-24].
- ↑ B.J. Iskandar i inni, The resolution of syringohydromyelia without hindbrain herniation after posterior fossa decompression, „Journal of Neurosurgery”, 89 (2), 1998, s. 212–216, DOI: 10.3171/jns.1998.89.2.0212, ISSN 0022-3085, PMID: 9688115 [dostęp 2022-08-24].
- ↑ Cleland J. Contribution to the study of spina bifida, encephalocele and anencephalus. Journal of Anatomy and Physiology 17, 257 (1883).
- ↑ Chiari H. Über Veränderungen des Kleinhirns infolge von Hydrocephalie des Grosshirns. Deutsche medicinische Wochenschrift, Berlin 17, 1172-1175 (1891)
- ↑ Chiari H: Über Veränderungen des Kleinhirns, der Pons und der Medulla oblongata, infolge von congenitaler Hydrocephalie des Grosshirns. Denkschriften der Akademie der Wissenschaften in Wien 63, 71 (1895).
- ↑ Arnold J. Myelocyste, Transposition von Gewebskeimen und Sympodie. Beiträge zur pathologischen Anatomie und zur allgemeinen Pathologie 16, 1-28 (1894)
Linki zewnętrzne
- CHIARI MALFORMATION TYPE I w bazie Online Mendelian Inheritance in Man (ang.)
- CHIARI MALFORMATION TYPE II w bazie Online Mendelian Inheritance in Man (ang.)
- Arnold-Chiari malformation w bazie Who Named It (ang.)
Przeczytaj ostrzeżenie dotyczące informacji medycznych i pokrewnych zamieszczonych w Wikipedii.