Zespół Eagle’a

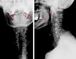
Zespół Eagle’a, stylalgia, zespół przedłużonego wyrostka rylcowatego[2] (ang. Eagle's syndrome, elongated styloid process syndrome) – stosunkowo rzadki zespół chorobowy, spowodowany nadmiernie długim wyrostkiem rylcowatym i (lub) zwapnieniem więzadła rylcowo-gnykowego. Objawia się napadowym, silnym, kłującym bólem w uchu, okolicy migdałka, dna jamy ustnej, bocznej części szyi lub kąta żuchwy. Ból może być wywołany przełykaniem, otwieraniem ust, obracaniem głowy, lub badaniem palpacyjnym gardła. Ból trwa kilka sekund lub minut, towarzyszy mu zwykle silny ślinotok. Leczenie jest głównie operacyjne. Opisywane są przypadki udanego leczenia zachowawczego[3]. Jednostkę chorobową opisał jako pierwszy amerykański otorynolaryngolog Watt Weems Eagle w 1937 roku[4][5][6][7]. Sklasyfikował on objawy wyszczególniając tzw. postać klasyczną występującą najczęściej po zabiegu usunięcia migdałków podniebiennych. Objawia się ona głównie izolowanym bólem w gardle w okolicy niszy po usuniętym migdałku, zaburzeniami połykania, bólem przy przełykaniu, uczuciem ciała obcego oraz wzmożonym ślinieniem. W niektórych przypadkach mogą pojawić się zaburzenia głosu. Dolegliwości te związane są z podrażnieniem V, IX i X nerwu czaszkowego poprzez ucisk tworzącej się ziarniny i (lub) blizny stymulujący wapnienie więzadła rylcowo-gnykowego. Druga postać to tzw. zespół tętnicy szyjnej związany z drażnieniem włókien współczulnych biegnących w ścianie tętnic szyjnych przez wydłużony wyrostek rylcowaty. Główne objawy to ból oka, zaburzenia widzenia, bóle połowicze głowy, bóle migrenowe, w skrajnych przypadkach omdlenia.
Przypisy
- ↑ Kirchhoff G, Kirchhoff C, Buhmann S, Kanz KG, Lenz M, Vogel T, Kichhoff RM. A rare differential diagnosis to occupational neck pain: bilateral stylohyoid syndrome. „J Occup Med Toxicol”. 1, s. 14, 2006. DOI: 10.1186/1745-6673-1-14. PMID: 16800878.
- ↑ Hanna Kucia: Zespół przedłużonego wyrostka rylcowatego. Ból 2009, Tom 10, Nr 3.
- ↑ Min Kyu Han, Do Wan Kim, Jong Yeun Yang. Non Surgical Treatment of Eagle's Syndrome - A Case Report. „Korean J Pain”. 1, s. 169–172, 2013. DOI: 10.3344/kjp.2013.26.2.169. PMID: 23614080.
- ↑ Eagle WW: Elongated styloid process. Archives of Otolaryngology, Chicago, 1937, 25: 584-587
- ↑ Eagle WW. Elongated styloid process: further observations and a new syndrome. Archives of Otolaryngology, Chicago, 1948, 47: 630–640.
- ↑ Eagle WW. Symptomatic elongated styloid proces: report of two cases of styloid process-carotid artery syndrome with operation. Archives of Otolaryngology, Chicago, 1949; 49: 490-503.
- ↑ Eagle WW. Elongated styloid process; symptoms and treatment. „AMA Arch Otolaryngol”. 2 (67), s. 172-6, luty 1958. PMID: 13497389.
Bibliografia
- Kirchhoff G, Kirchhoff C, Buhmann S, Kanz KG, Lenz M, Vogel T, Kichhoff RM. A rare differential diagnosis to occupational neck pain: bilateral stylohyoid syndrome. „J Occup Med Toxicol”. 1, s. 14, 2006. DOI: 10.1186/1745-6673-1-14. PMID: 16800878.
- Otorynolaryngologia praktyczna. Podręcznik dla studentów i lekarzy. Tom I. Grzegorz Janczewski (red.). Gdańsk: Via Medica, 2007, s. 6, 223. ISBN 978-83-60072-75-2.
Linki zewnętrzne
- Eagle's syndrome w bazie Who Named It (ang.)
Przeczytaj ostrzeżenie dotyczące informacji medycznych i pokrewnych zamieszczonych w Wikipedii.