Zespół Leriche’a
| Syndroma Leriche | |
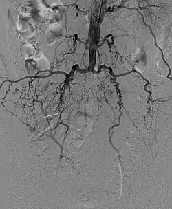
![]() Obraz angiograficzny zespołu Leriche’a | |
| Klasyfikacje | |
| ICD-10 | |
|---|---|
Zespół Leriche’a (niedrożność aortalno-biodrowa) – zespół objawów spowodowanych zwężeniem lub niedrożnością końcowego odcinka aorty brzusznej i/lub tętnic biodrowych.
Przyczyny
Niedrożność:
- aorty brzusznej na długim odcinku od tętnic nerkowych do rozwidlenia,
- obu tętnic biodrowych wspólnych
powstała na skutek procesu miażdżycowego (miażdżyca zarostowa tętnic).

Objawy
- stosunkowo powolny przebieg z pojawieniem się pierwszych zmian wstecznych dopiero po 3—5 latach od początku choroby[1],
- początkowo łatwiejsze męczenie się kończyn dolnych, ziębnięcie i blednięcie stóp. Chromanie i dalsze następstwa niedokrwienia mogą pojawić się późno
- chromanie przestankowe (ból jest odczuwany w udach i pośladkach) lub bóle spoczynkowe
- niewyczuwalne w pachwinie tętno na obu tętnicach udowych,
- oziębienie kończyn
- u mężczyzn zaburzenia erekcji, wywołane niedrożnością tętnic biodrowych wewnętrznych
- impotencja
Leczenie
Leczenie zachowawcze
Leczenie zachowawcze ma na celu wytworzenie krążenia obocznego oraz zapobieżenie nowym zakrzepom. W tym celu należy:
- bezwzględnie przestać palić, aby jak najszybciej wyeliminować silnie obkurczające działanie zawartej w tytoniu nikotyny i innych podobnie działających substancji. Jest to właściwie jedyny skuteczny sposób leczenia nieoperacyjnego, zwykle po zaprzestaniu palenia wydłuża dystans chromania,
- redukcja masy ciała - zmniejszony ciężar ciała wymaga mniejszego wysiłku mięśni kończyn, co wydłuża znacznie dystans chromania,
- regularny trening marszowy - wydłuża znacznie dystans chromania, nie może powodować bólu[2],
- kwas acetylosalicylowy,
- statyny,
- leczenie przeciwbólowe.
Leczenie operacyjne
Jeżeli dystans chromania jest krótszy niż 400 m, choremu powinno się wykonać operacje naprawczą tętnic. Polega ona na wszczepieniu protezy (najczęściej poliestrowej) w kształcie odwróconej litery Y, między drożny odcinek aorty a tętnice udowe na wysokości odejścia tętnic głębokich uda (jest to rodzaj nazywanego potocznie by-passu). Ma ona na celu ominięcie miejsca zwężonego przez proces miażdżycowy. Również często wykonuje się zabieg angioplastyki zwężonych naczyń, wszczepiając w miejsca stenozy stenty.
Przypisy
Bibliografia
- Wojciech Noszczyk: Chirurgia repetytorium. Warszawa: PZWL, 2009. ISBN 978-83-200-3843-9.
- Jan Fibak (red.): Chirurgia. Warszawa: PZWL, 1996. ISBN 83-200-2012-3.
- Andrzej Szczeklik (red.): Choroby wewnętrzne. Kraków: Wydawnictwo Medycyna Praktyczna, 2010. ISBN 978-83-7430-216-6.
Linki zewnętrzne
- Leriche's syndrome w bazie Who Named It (ang.)
Przeczytaj ostrzeżenie dotyczące informacji medycznych i pokrewnych zamieszczonych w Wikipedii.
