Zespół MELAS
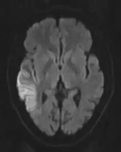
![]() Obraz MR-DWI głowy pacjenta z MELAS, widać pasmo intensywnego sygnału z kory mózgowej (ograniczenie dyfuzji), co odpowiada obrazowi klinicznemu (splątanie, ogniskowy deficyt neurologiczny) | |
| Klasyfikacje | |
| ICD-10 |
G31.8 |
|---|---|
Zespół MELAS (miopatia mitochondrialna, encefalopatia, kwasica mleczanowa, występowanie incydentów podobnych do udarów, ang. mitochondrial myopathy, encephalopathy, lactic acidosis, stroke-like episodes) – choroba mitochondrialna (uwarunkowana mutacjami w DNA mitochondrialnym). Dziedziczona jest, jak inne choroby mitochondrialne, w linii matczynej. Chorobę opisał Steven G. Pavlakis i wsp. w 1984 roku[1].
Etiologia
W 80-90% przypadkach przyczyną choroby jest mutacja punktowa A3243G polegająca na zamianie adeniny na guaninę w pozycji 3243 w obrębie genu MTTL1 (OMIM*590050) kodującego tRNA dla leucyny. Inne geny, których mutacje prowadzą do MELAS, to MTTQ (OMIM*590030), MTTH (OMIM*590040), MTTK (OMIM*590060), MTTS1 (OMIM*590080), MTND1 (OMIM*516000), MTND5 (OMIM*516005), MTND6 (OMIM*516006) i MTTS2 (OMIM*590085).
Objawy i przebieg
Zazwyczaj pojawia się w dzieciństwie. Objawami są:
- miopatia z obecnością postrzępionych ("szmatowatych") czerwonych włókien mięśniowych (ang. ragged red fibers, RRF)
- encefalopatia
- kwasica mleczanowa, hipermleczanemia w surowicy i płynie mózgowo-rdzeniowym
- incydenty udaropodobne do 40. roku życia, początkowo przede wszystkim w płatach ciemieniowych i potylicznych, także w innych częściach mózgowia
- napadowe, ciężkie migrenopodobne bóle głowy
- drgawki
- cofanie się umiejętności psychoruchowych
- zwyrodnienie barwnikowe siatkówki
- głuchota korowa
- neuropatia czuciowa typu aksonalnego
- ciężkie zaparcia
- cukrzyca typu II
- niedoczynność przytarczyc
- niskorosłość
- kardiomiopatia (rzadko)
- nefropatia (rzadko).
Rozpoznanie
Rozpoznanie MELAS opiera się na wykryciu mutacji mtDNA.
Przypisy
- ↑ SG. Pavlakis, PC. Phillips, S. DiMauro, DC. De Vivo i inni. Mitochondrial myopathy, encephalopathy, lactic acidosis, and strokelike episodes: a distinctive clinical syndrome. „Ann Neurol”. 16 (4), s. 481-8, Oct 1984. DOI: 10.1002/ana.410160409. PMID: 6093682.
Bibliografia
- Choroby mitochondrialne z przeważającym zajęciem ośrodkowego układu nerwowego. W: Hanna Mierzejewska: Choroby układu nerwowego. Wojciech Kozubski, Paweł P. Liberski (red.). Warszawa: Wydawnictwo Lekarskie PZWL, 2004, s. 251-252. ISBN 83-200-2636-9.
Linki zewnętrzne
- MITOCHONDRIAL MYOPATHY, ENCEPHALOPATHY, LACTIC ACIDOSIS, AND STROKE-LIKE EPISODES; MELAS w bazie Online Mendelian Inheritance in Man (ang.)
Przeczytaj ostrzeżenie dotyczące informacji medycznych i pokrewnych zamieszczonych w Wikipedii.
