Zespół Morgagniego-Stewarta-Morela

Zespół Morgagniego-Stewarta-Morela (ang. Morgagni-Stewart-Morel syndrome, Morgagni’s trias, łac. hyperostosis frontalis interna) – rzadka choroba genetyczna, która charakteryzuje się trzema głównymi objawami: 1) przerostem wewnętrznej powierzchni kości czołowej, 2) otyłością i 3) wirylizmem i hirsutyzmem[1].
Historia
Przypadek współwystępowania wirylizmu, otyłości i zgrubienia blaszki wewnętrznej kości czołowej opisał jako pierwszy Giovanni Battista Morgagni (1682–1771)[2][3]. Kolejnym który opisał zespół był angielski neurolog Douglas Hunt Stewart w 1928 roku[4]. Szwajcarski lekarz Ferdinand Morel (1888–1957) w 1930 roku do obrazu klinicznego choroby dodał zaburzenia miesiączkowania i impotencję[5]. Termin triady Morgagniego wprowadził Folke Henschen w 1937 roku[6].
Etiologia i etiopatogeneza
Etiologia zespołu nie jest do końca poznana, ale wiąże się ją z przerostem i nadreaktywnością kory nadnerczy wskutek nadmiernego wydzielania ACTH, co wtórnie powoduje wystąpienie powyższych objawów. Sugerowano również związek objawów z podwyższonymi poziomami prolaktyny, ponieważ w populacji kobiet z mlekotokiem na tym tle hyperostosis frontalis występowała w 43% przypadków[7]. Wykazano autosomalne dominujace dziedziczenie tej choroby[8][9]. W 90% przypadków dotyczy ona kobiet.
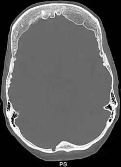
Objawy
- otyłość
- przerost wewnętrznej powierzchni kości czołowej (hyperostosis frontalis interna)
- wirylizm i hirsutyzm.
oraz:
- brak miesiączki
- zaburzenia tolerancji glukozy, cukrzyca
- polifagia
- polidypsja
- poliuria.
Objawy podmiotowe opisywane w tym zespole to zmęczenie, senność, zaburzenia widzenia, zawroty i bóle głowy, dzwonienie w uszach, zaburzenia węchu. Mogą występować zaburzenia psychiczne, spowodowane przerostem kości czołowych i rozpoznawane jako zespół czołowy[10].
Przypisy
- ↑ Morgagni-Stewart-Morel syndrome w bazie Who Named It (ang.)
- ↑ Morgagni GB: Adversaria anatomica. VI. Animadversio 74. Padwa, 1719.
- ↑ Morgagni GB: De sedibus et causis morborum.Liv II. Wenecja, 1761.
- ↑ Stewart RM: Localized cranial hyperostosis in insane. Journal of Neurology and Psychopathology 8, 321 (1928).
- ↑ Morel F: L’hyperostose frontale interne. Syndrome de l’hyperostose frontale interne avec adipose et troubles cérébraux. Paryż, 1930.
- ↑ Henschen F: Morgagni’s syndrome. Jena, 1937.
- ↑ Pawlikowski M, Komorowski J. Hyperostosis frontalis, galactorrhoea/hyperprolactinaemia, and Morgagni-Stewart-Morel syndrome. „Lancet”. 8322 (1), s. 474, luty 1983. PMID: 6131191.
- ↑ Koller MF, Papassotiropoulos A, Henke K, Behrends B, Noda S, Kratzer A, Hock C, Hofmann M. Evidence of a genetic basis of Morgagni-Stewart-Morel syndrome. A case report of identical twins. „Neuro-degenerative diseases”. 2 (2), s. 56–60, 2005. DOI: 10.1159/000089284. PMID: 16909048.
- ↑ Knies PT, Le Fever HE. Metabolic craniopathy: hyperostosis frontalis interna. Ann Intern Med 14: 1858-1892 (1941).
- ↑ Psychiatria. Podręcznik dla studentów medycyny. Bilikiewicz A (red.). Wydanie III Wydawnictwo Lekarskie PZWL, Warszawa 2006 s. 150 ISBN 83-200-3388-8.
Linki zewnętrzne
Przeczytaj ostrzeżenie dotyczące informacji medycznych i pokrewnych zamieszczonych w Wikipedii.