Zespół Sjögrena
| syndroma Sjögreni | |
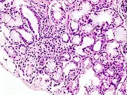
![]() Histopatologiczny obraz miejscowego nacieku limfatycznego w mniejszej śliniance powiązany z zespołem Sjögrena | |
| Klasyfikacje | |
| ICD-10 |
M35.0 |
|---|---|
Zespół Sjögrena (łac. syndroma Sjögreni), choroba Mikulicza-Radeckiego – choroba autoimmunologiczna z grupy kolagenoz, w której uszkodzeniu ulegają komórki ślinianek oraz gruczołów łzowych. Nazwa pochodzi od nazwiska Henrika Sjögrena (Sjögren, wym. oryg. [ˈɧøːˌɡreːn]), który opisał zespół w 1933. Jan Mikulicz-Radecki opisał zespół w 1892.
Etiopatogeneza
Przyczyna choroby jest nieznana. Przypuszcza się, że pewną rolę może odgrywać infekcja wirusami EBV, CMV, HCV i HIV. Stwierdzono związek immunogenetyczny z antygenami zgodności tkankowej DR2, DR3, B8 i DQ. W roku 1970 odkryto związek z niedoborem kwasu askorbinowego[1].
Objawy
Do typowego obrazu zespołu Sjögrena należą trzy objawy (sicca syndrome)[2]:
- suche zapalenie rogówki i spojówki (keratoconjunctivitis sicca) i wysychanie oczu (xerophtalmia) jako skutek upośledzenia wydzielania łez – uczucie piasku pod powiekami, pieczenie, drapanie, przekrwienie spojówek
- suchość błony śluzowej jamy ustnej wskutek uszkodzenia ślinianek – problemy z żuciem, mową, odczuwaniem smaku, szybko postępująca próchnica i problemy z użytkowaniem protez
- nacieki zapalne z limfocytów w badaniu histologicznym.
Rzadziej zostają zaatakowane inne narządy wewnętrzne, na przykład płuca, nerki lub układ ruchu. Z objawów skórnych występują niecharakterystyczne wykwity pokrzywkowate i krwotoczne, rzadko rumień obrączkowaty[3]. Pacjent może odczuwać świąd skóry. Zdarza się, że występują objawy neurologiczne i psychiatryczne. U kobiet dołącza się niekiedy suchość sromu[2].
Zdarza się również, że wyżej wymienione objawy występują w przebiegu innych chorób autoimmunologicznych, na przykład reumatoidalnego zapalenia stawów albo podostrej skórnej postaci tocznia rumieniowatego. Mówi się wówczas o postaci wtórnej zespołu Sjögrena[2].
Diagnostyka
Oprócz wyżej wspomnianego badania histopatologicznego zmienionych narządów, można w badaniach laboratoryjnych stwierdzić między innymi[2]:
- podwyższone OB
- leukopenię (10%)
- podwyższony poziom gammaglobulin (80%)
- czynnik reumatoidalny, miano >1:40 (60%)
- przeciwciała wobec komórek nabłonka przewodów wyprowadzających ślinianek
- przeciwciała ANA w mianie powyżej 1:80 (90%)
- przeciwciała anty-Ro (55%) i anty-La (40%)
- krioglobuliny (30%)
- anemię (25%).
Z badań okulistycznych wykonuje się[2]:
- test Schirmera – wynik może wynosić nawet poniżej 5 mm po pięciu minutach
- ocenę stanu rogówki (np. z różem bengalskim) – wybarwienie uszkodzonych komórek nabłonka rogówki ukazuje pasmowe uszkodzenia powierzchni gałki ocznej
- test krystalizacji łez i śliny – wysuszone rozmazy ocenia się mikroskopowo, w zespole Sjögrena kryształki mają zaburzoną budowę.
Test Saxona – pacjent przez 2 minuty żuje kompres z 4 warstw gazy (o średnich wymiarach 5×5 cm). Prawidłowo ciężar kompresu powinien wzrosnąć o co najmniej 2,75 g[2].
W obrazie histologicznym bioptatu z wargi dolnej stwierdza się nacieki zapalne i obecność komórek plazmatycznych.
W badaniach obrazowych można wykazać nieregularne rozszerzenia i zwężenia przewodów ślinianek (sjalografia, ze środkiem cieniującym), zmienioną budowę gruczołów, torbiele i powiększenie węzłów chłonnych (USG), opóźniony wychwyt znacznika, jego zmniejszone stężenie i wydalanie (scyntygrafia)[2].
Występowanie
Zespół Sjögrena jest drugą co do częstości występowania reumatoidalną chorobą autoimmunologiczną po reumatoidalnym zapaleniu stawów i podobnie jak większość kolagenoz częściej jest spotykany u kobiet. Stosunek liczby chorych kobiet do mężczyzn wynosi około 9:1. Częściej chorują osoby po czterdziestym roku życia, chociaż zdarzają się przypadki we wszystkich grupach wiekowych.
Leczenie i rokowanie
Leczenie może być wyłącznie objawowe i polega na stosowaniu sztucznych łez, sztucznej śliny. Do łagodzenia dolegliwości bólowych w przypadku zmian w narządzie ruchu stosuje się niesteroidowe leki przeciwzapalne. W cięższych postaciach konieczne bywa zastosowanie kortykosteroidów lub metotreksatu. W przypadku wtórnej postaci znaczącą poprawę może przynieść leczenie choroby podstawowej.
Rokowanie jest zależne od nasilenia objawów i tego, w jakim stopniu zostały zaatakowane narządy wewnętrzne. W przypadku około 1% pacjentów dochodzi do rozwinięcia chłoniaka z limfocytów B w obrębie ślinianek lub skóry[4].
Przypisy
- ↑ J. Hood, C.A. Burns, R.E. Hodges, Sjögren's syndrome in scurvy, „The New England Journal of Medicine”, 282 (20), 1970, s. 1120–1124, DOI: 10.1056/NEJM197005142822003, ISSN 0028-4793, PMID: 5439409 [dostęp 2017-10-21].
- 1 2 3 4 5 6 7 Andrzej Szczeklik (red.) Choroby wewnętrzne, tom II. Wydawnictwo Medycyna Praktyczna, Kraków 2006. Ss. 1703-1706. ISBN 83-7430-069-8.
- ↑ Owczarek W., Kozera-Żywczyk A., Paluchowska E., Majewski S. i inni. Rumień obrączkowaty jako skórny objaw pierwotnego zespołu Sjögrena – opis przypadku. „Polski Merkuriusz Lekarski”. 28 (164), s. 126, 2010. Medpress. (pol.).
- ↑ Stanisław Bień. Zespół Sjögrena - aktualne poglądy dotyczące etiologii, patogenezy obrazu klinicznego i leczenia. „Polski Przegląd Otorynolaryngologiczny”. 1 (3), s. 200-209, 2012. Wrocław: Elsevier Urban & Partner Sp. z o.o.. ISSN 2084-5308.
Bibliografia
- Choroby wewnętrzne, tom II. Andrzej Szczeklik (red.), Małgorzata Bała, Kraków: Wydawnictwo Medycyna Praktyczna, 2006, ISBN 83-7430-069-8, OCLC 749286062.
Linki zewnętrzne
Przeczytaj ostrzeżenie dotyczące informacji medycznych i pokrewnych zamieszczonych w Wikipedii.
.jpg)