Hounsfield scale

The Hounsfield scale (/ˈhnzfld/ HOWNZ-feeld), named after Sir Godfrey Hounsfield, is a quantitative scale for describing radiodensity. It is frequently used in CT scans, where its value is also termed CT number.

Definition

The Hounsfield unit (HU) scale is a linear transformation of the original linear attenuation coefficient measurement into one in which the radiodensity of distilled water at standard pressure and temperature (STP) is defined as 0 Hounsfield units (HU), while the radiodensity of air at STP is defined as −1000 HU. In a voxel with average linear attenuation coefficient , the corresponding HU value is therefore given by:[1][2]

where and are respectively the linear attenuation coefficients of water and air.

Thus, a change of one Hounsfield unit (HU) represents a change of 0.1% of the attenuation coefficient of water since the attenuation coefficient of air is nearly zero.[3]: 259 

Calibration tests of HU with reference to water and other materials may be done to ensure standardised response. This is particularly important for CT scans used in radiotherapy treatment planning, where HU is converted to electron density.[4] Variation in the measured values of reference materials with known composition, and variation between and within slices may be used as part of test procedures.[3]: 283 [5]

Rationale

The above standards were chosen originally to encode the radiodensity of organic tissues relative to water for 12-bit processing on clinical CT scanners.[6] A 12-bit encoding corresponds to 4096 () values, where the range (–1024 to 3071) encompasses HU values for air, soft tissue and bone.

Values for different body tissues and material

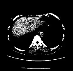
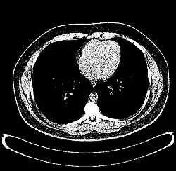
CT scan of the thorax with window level set to -700 HU (lung)
CT scan of the thorax with window level set to -1,000 HU (air)
CT scan of the thorax with window level set to 0 HU (water)
CT scan of the thorax with window level set to 60 HU (liver)

HU-based differentiation of material applies to medical-grade dual-energy CT scans but not to cone beam computed tomography (CBCT) scans, as CBCT scans provide unreliable HU readings.[7]

Values reported here are approximations. Different dynamics are reported from one study to another.

Exact HU dynamics can vary from one CT acquisition to another due to CT acquisition and reconstruction parameters (kV, filters, reconstruction algorithms, etc.). The use of contrast agents modifies HU as well in some body parts (mainly blood).

Substance HU
Air −1000
Fat −120 to −90[8]
Soft tissue on contrast CT +100 to +300
Bone Cancellous +300 to +400[9]
Cortical +500 to +1900[10][9][11]
Subdural hematoma First hours +75 to +100[12]
After 3 days +65 to +85[12]
After 10–14 days +35 to +40[13]
Other blood Unclotted +13[14] to +50[15]
Clotted +50[16] to +75[14][16]
Pleural effusion Transudate +2 to +15 [17]
Exudate +4 to +33[17]
Other fluids Chyle −30[18]
Water 0
Urine −5 to +15[8]
Bile −5 to +15[8]
CSF +15
Abscess / Pus 0[19] or +20,[20] to +40[20] or +45[19]
Mucus 0[21] - 130[22] ("high attenuating" at over 70 HU)[23][24]
Parenchyma Lung −700 to −600[25]
Kidney +20 to +45[8]
Liver 60 ± 6[26]
Lymph nodes +10 to +20[27]
Muscle +35 to +55[8]
Thymus
  • +20 to +40 in children[28]
  • +20 to +120 in adolescents[28]
White matter +20 to +30
Grey matter +37 to +45
Gallstone Cholesterol stone +30 to +100[29]
Bilirubin stone +90 to +120[29]
Foreign body[30] Windowpane glass +500
Aluminum, tarmac, car window glass, bottle glass, and other rocks +2,100 to +2,300
Limestone +2,800
Copper +14,000
Silver +17,000
Steel +20,000
Gold, steel, and brass +30,000 (upper measurable limit)
Earwax <0

A practical application of this is in evaluation of tumors, where, for example, an adrenal tumor with a radiodensity of less than 10 HU is rather fatty in composition and almost certainly a benign adrenal adenoma.[31]

See also

References

  1. ^ Levine, Zachary H.; Peskin, Adele P.; Holmgren, Andrew D.; Garboczi, Edward J. (2018-12-20). "Preliminary X-ray CT investigation to link Hounsfield unit measurements with the International System of Units (SI)". PLOS ONE. 13 (12): e0208820. doi:10.1371/journal.pone.0208820. ISSN 1932-6203. PMC 6301669. PMID 30571779.
  2. ^ Hurrell, Michael Anthony; Butler, Anthony Philip Howard; Cook, Nicholas James; Butler, Philip Howard; Ronaldson, J. Paul; Zainon, Rafidah (2012-05-01). "Spectral Hounsfield units: a new radiological concept". European Radiology. 22 (5): 1008–1013. doi:10.1007/s00330-011-2348-3. ISSN 1432-1084. PMID 22134894.
  3. ^ a b Diagnostic radiology physics: a handbook for teachers and students. Vienna: International Atomic Energy Agency. 2014. pp. 1–682. ISBN 978-92-0-131010-1.
  4. ^ Radiation oncology physics: a handbook for teachers and students. Vienna: International Atomic Energy Agency. 2005. p. 230. ISBN 92-0-107304-6.
  5. ^ Samei, Ehsan; Bakalyar, Donovan; Boedeker, Kirsten; Brady, Samuel; Fan, Jiahua; Leng, Shuai; Myers, Kyle; Popescu, Lucretiu; Ramirez-Giraldo, Juan Carlos; Ranallo, Frank; Solomon, Justin; Vaishnav, Jay; Wang, Jia (2019). AAPM Report No. 233: Performance Evaluation of Computed Tomography Systems - The Report of AAPM Task Group 233. Alexandria, VA: American Association of Physicists in Medicine. doi:10.37206/186. ISBN 978-1-936366-69-9. S2CID 214010953.
  6. ^ Jayamani, Jayapramila; Osman, Noor Diyana; Tajuddin, Abdul Aziz; Salehi, Zaker; Ali, Mohd Hanafi; Abdul Aziz, Mohd Zahri (2019-02-19). "Determination of computed tomography number of high-density materials in 12-bit, 12-bit extended and 16-bit depth for dosimetric calculation in treatment planning system". Journal of Radiotherapy in Practice. 18 (03): 285–294. doi:10.1017/s1460396919000013. ISSN 1460-3969.
  7. ^ De Vos, W.; Casselman, J.; Swennen, G.R.J. (June 2009). "Cone-beam computerized tomography (CBCT) imaging of the oral and maxillofacial region: A systematic review of the literature". International Journal of Oral and Maxillofacial Surgery. 38 (6): 609–625. doi:10.1016/j.ijom.2009.02.028. PMID 19464146.
  8. ^ a b c d e Page 83 in: Herbert Lepor (2000). Prostatic Diseases. W.B. Saunders Company. ISBN 9780721674162.
  9. ^ a b Birur, N. Praveen; Patrick, Sanjana; Gurushanth, Keerthi; et al. (2017). "Comparison of gray values of cone-beam computed tomography with hounsfield units of multislice computed tomography: An in vitro study". Indian Journal of Dental Research. 28 (1): 66–70. doi:10.4103/ijdr.IJDR_415_16. ISSN 0970-9290. PMID 28393820.
  10. ^ Lim Fat, Daren; Kennedy, Jim; Galvin, Rose; et al. (2012-05-01). "The Hounsfield value for cortical bone geometry in the proximal humerus—an in vitro study". Skeletal Radiology. 41 (5): 557–568. doi:10.1007/s00256-011-1255-7. ISSN 1432-2161. PMID 21932054. S2CID 23463451.
  11. ^ Aamodt, A.; Kvistad, K. A.; Andersen, E.; et al. (January 1999). "Determination of Hounsfield value for CT-based design of custom femoral stems". The Journal of Bone and Joint Surgery. British Volume. 81 (1): 143–147. doi:10.1302/0301-620X.81B1.0810143. ISSN 0301-620X. PMID 10068022.
  12. ^ a b Fig 3 in: Rao, Murali Gundu (2016). "Dating of Early Subdural Haematoma: A Correlative Clinico-Radiological Study". Journal of Clinical and Diagnostic Research. 10 (4): HC01–5. doi:10.7860/JCDR/2016/17207.7644. ISSN 2249-782X. PMC 4866129. PMID 27190831.
  13. ^ Sharma, Rohit; Gaillard, Frank. "Subdural haemorrhage". Radiopaedia. Retrieved 2018-08-14.
  14. ^ a b Fosbinder, Robert; Orth, Denise (2011). Essentials of Radiologic Science. Lippincott Williams & Wilkins. p. 263. ISBN 9780781775540.
  15. ^ Wright, F. W. (2001). Radiology of the Chest and Related Conditions. CRC Press. p. 20.17. ISBN 9780415281416.
  16. ^ a b Fast, Avital; Goldsher, Dorith (2006). Navigating the Adult Spine: Bridging Clinical Practice and Neuroradiology. Demos Medical Publishing. p. 17. ISBN 9781934559741.
  17. ^ a b Cullu, Nesat; Kalemci, Serdar; Karakas, Omer; et al. (2013). "Efficacy of CT in diagnosis of transudates and exudates in patients with pleural effusion". Diagnostic and Interventional Radiology. 20 (2): 116–20. doi:10.5152/dir.2013.13066. ISSN 1305-3825. PMC 4463296. PMID 24100060.
  18. ^ Page 342 in: Luca Saba; Jasjit S. Suri (2013). Multi-Detector CT Imaging: Principles, Head, Neck, and Vascular Systems, Volume 1. CRC Press. ISBN 9781439893845.
  19. ^ a b Sanchez de Medina Alba, P.; Santos Montón, C.; Calvo, N.; et al. (2014). "Liver abscesses: where do they come from? A review of the main types of liver abscesses and the correlation between their causes and the radiologic findings". ECR 2014. Salamanca. doi:10.1594/ecr2014/C-1927. Archived from the original on 2019-01-12. Retrieved 2019-01-12.
  20. ^ a b Sasaki, Toru; Miyata, Rie; Hatai, Yoshiho; et al. (2014). "Hounsfield unit values of retropharyngeal abscess-like lesions seen in Kawasaki disease". Acta Oto-Laryngologica. 134 (4): 437–440. doi:10.3109/00016489.2013.878475. ISSN 0001-6489. PMID 24512428. S2CID 6248808.
  21. ^ Saggar, K; Ahluwalia, A; Sandhu, P; Kalia, V (2006). "Mucocoele of the Appendix" (PDF). Ind J Radiol Imag. 16 (2).
  22. ^ Gaeta, Michele; Vinci, Sergio; Minutoli, Fabio; et al. (2001). "CT and MRI findings of mucin-containing tumors and pseudotumors of the thorax: pictorial review". European Radiology. 12 (1): 181–189. doi:10.1007/s003300100934. ISSN 0938-7994. PMID 11868096. S2CID 28755973.
  23. ^ Phuyal, Subash S.; Garg, Mandeep Kumar MK; Agarwal, Ritesh R; et al. (2015-09-02). "High-Attenuation Mucus Impaction in Patients With Allergic Bronchopulmonary Aspergillosis: Objective Criteria on High-Resolution Computed Tomography and Correlation With Serologic Parameters". Current Problems in Diagnostic Radiology.
  24. ^ Agarwal, Ritesh; Sehgal, Inderpaul Singh; Dhooria, Sahajal; Aggarwal, Ashutosh (2016). "Radiologic Criteria for the Diagnosis of High-Attenuation Mucus in Allergic Bronchopulmonary Aspergillosis". Chest. 149 (4): 1109–1110. doi:10.1016/j.chest.2015.12.043. ISSN 0012-3692. PMID 27055707.
  25. ^ Kazerooni, Ella A.; Gross, Barry H. (2004). Cardiopulmonary Imaging. Vol. 4. Lippincott Williams & Wilkins. p. 379. ISBN 9780781736558.
  26. ^ Kuntz, Erwin; Kuntz, Hans-Dieter (2006). Hepatology, Principles and Practice: History, Morphology, Biochemistry, Diagnostics, Clinic, Therapy. Springer Science & Business Media. p. 210. ISBN 9783540289777.
  27. ^ Maatman, G. (2012). High-Resolution Computed Tomography of the Paranasal Sinuses and Pharynx and Related Regions: Impact of CT identification on diagnosis and patient management. Volume 12 of Series in Radiology. Springer Science & Business Media. p. 58. ISBN 9789400942776.
  28. ^ a b Givel, Jean-Claude; Merlini, Marco; Clarke, David B.; Dusmet, Michael (2012). Surgery of the Thymus: Pathology, Associated Disorders and Surgical Technique. Springer Science & Business Media. p. 488. ISBN 9783642710766.
  29. ^ a b Rambow A, Staritz M, Wosiewitz U, Mildenburger P, Thelen M, Meyer zum Büschenfelde KH (1990). "Analysis of radiolucent gallstones by computed tomography for in vivo estimation of stone components". Eur J Clin Invest. 20 (4): 475–8. doi:10.1111/j.1365-2362.1990.tb01887.x. PMID 2121509. S2CID 39138974.
  30. ^ Bolliger, Stephan A.; Oesterhelweg, Lars; Spendlove, Danny; et al. (2009). "Is Differentiation of Frequently Encountered Foreign Bodies in Corpses Possible by Hounsfield Density Measurement?". Journal of Forensic Sciences. 54 (5): 1119–1122. doi:10.1111/j.1556-4029.2009.01100.x. ISSN 0022-1198. PMID 19627414. S2CID 40300162.
  31. ^ Horwich, Perry J. (December 20, 2018). Eugene C Lin (ed.). "Adrenal Adenoma Imaging". Medscape. Retrieved July 28, 2023.