Arytmogenna kardiomiopatia prawej komory
| Klasyfikacje | |
| ICD-10 | |
|---|---|
Arytmogenna kardiomiopatia prawej komory (arytmogenna dysplazja prawej komory, ang. arrhythmogenic right ventricular cardiomyopathy, ARVC, arrhythmogenic rightventricular dysplasia, ARVD) – rzadki, genetycznie uwarunkowany typ kardiomiopatii o niejasnej etiologii, przebiegający ze zwyrodnieniem tłuszczowym mięśnia sercowego i rozstrzenią prawej komory. Choroba ta wiąże się ze skłonnością do potencjalnie groźnych dla życia arytmii komorowych.
Historia
Chorobę jako pierwszy opisał Giovanni Maria Lancisi w 1736 roku, w książce "De Motu Cordis et Aneurysmatibus", gdzie przedstawił przypadek rodziny z zachorowaniami w czterech pokoleniach[1]. Dopiero w drugiej połowie XX wieku pojawiły się opisy patogenezy choroby; Dalla Volta i wsp. przedstawili swój przypadek w 1961 roku, serie pacjentów opisali Marcus[2], Nava[3] i Thiene[4] w latach 80.
Epidemiologia
Częstość ARVD szacuje się na 1:2 500–5 000[5]. Przypuszcza się, że choroba występuje częściej we Włoszech[3][6][7].
Choroba rzadko występuje rodzinnie.
Etiologia


Podłoże ARVC jest genetyczne. Wykazano związek choroby z mutacjami w loci 1q42-43, 2q31-35, 14q23-24, 14q12-22 i innych. Uważa się, że w patomechanizmie tej kardiomiopatii ważną rolę odgrywa zaburzenie apoptozy.
| Typ | Locus | Gen | Białko | Dziedziczenie | OMIM |
|---|---|---|---|---|---|
| ARVD1 | 14q23-24[8] | TGFB3 | Transformujący czynnik wzrostu β-3 | AD | 107970 |
| ARVD2 | 1q42.1-q43[9] | RYR2 | Sercowy receptor rianodynowy | AD | 600996 |
| ARVD3 | 14q12-q22[8] | 602086 | |||
| ARVD4 | 2q32.1-q32.3 | 602087 | |||
| ARVD5 | 3p21.3, 3p23 | 604400 | |||
| ARVD6 | 10p14-p12 | 604401 | |||
| ARVD7 | 10q22.3 | 609160 | |||
| ARVD8 | 6p24 | DSP | Desmoplakina | AD | 607450 |
| ARVD9 | 12p11 | PKP2 | Plakofilina-2 | 609040 | |
| ARVD10 | 18q12.1-q12.2 | DSG2 | Desmogleina-2 | AD | 610193 |
| ARVD11 | 18q12.1 | DSC2 | Desmokolina-2 | AD | 610476 |
| ARVD12 | 17q21 | JUP | Plakoglobina | AR | 611528 |
Obraz kliniczny i przebieg

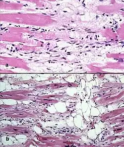
W przebiegu arytmogennej dysplazji prawej komory dochodzi do zaniku mięśni prawej komory oraz wynikającego z tego ścieńczenia ścian, powstawania tętniaka i jej powiększenia[10]. Niekiedy dochodzi do zajęcia lewej komory[10]. Choroba ujawnia się w wieku dziecięcym. Dominują objawy niewydolności prawokomorowej i komorowe zaburzenia rytmu. Nierzadko do rozpoznania może doprowadzić dopiero nagła śmierć sercowa – do 20% osób, które doświadczyły jej w ciągu pierwszych 35 lat życia było chore na ARVC[5]. Choroba stanowi częstą przyczynę nagłej śmierci u sportowców[5].
Rozpoznanie



Rozpoznanie oparte jest na obrazie klinicznym i wynikach badań dodatkowych.
W EKG stwierdza się blok prawej odnogi pęczka Hisa, ujemny załamek T w odprowadzeniach prawokomorowych. W EKG na końcu zespołu QRS w odprowadzeniach znad prawej komory (V1-V3) może pojawić się tzw. fala epsilon. Obserwowane jest także poszerzenie zespołu QRS w tych odprowadzeniach.
Stwierdzenie nacieków tłuszczowych w ścianie prawej komory.
Kryteria rozpoznania
Opracowano kryteria rozpoznania ARVD. Rozpoznanie można postawić, jeśli spełnione są dwa kryteria duże lub jedno duże i dwa małe, lub cztery małe - z różnych grup[11].
- Wywiad rodzinny
- Kryteria duże
- Rodzinna choroba potwierdzona w autopsji lub chirurgicznie
- Kryteria małe
- Dodatni wywiad rodzinny w kierunku przedwczesnych nagłych zgonów (<35. roku życia) z podejrzeniem ARVD jako tła
- Dodatni wywiad rodzinny (rozpoznanie kliniczne oparte na tych kryteriach)
- Kryteria duże
- EKG - nieprawidłowości depolaryzacji lub przewodzenia
- Kryteria duże
- Fale epsilon lub wydłużony (>110 ms) zespół QRS w odprowadzeniach przedsercowych znad prawej komory (V1-V3)
- Kryteria małe
- Późne potencjały w uśrednionym EKG
- Kryteria duże
- EKG - nieprawidłowości repolaryzacji
- Kryteria małe
- Odwrócone załamki T w odprowadzeniach przedsercowych V2 i V3 u pacjentów >12 roku życia i nieobecność bloku prawej odnogi pęczka Hisa
- Kryteria małe
- Arytmie
- Kryteria małe
- Utrwalony lub nieutrwalony częstoskurcz komorowy typu bloku lewej odnogi pęczka Hisa udokumentowany na EKG lub w badaniu Holterowskim lub podczas próby wysiłkowej
- Częste ekstrasystole pochodzenia komorowego (>1000/dobę w badaniu Holterowskim)
- Kryteria małe
- Dysfunkcje globalne lub regionalne i odmienności strukturalne (Rozpoznane w echokardiografii, angiografii, MRI lub scyntygrafii serca)
- Kryteria duże
- Znaczne poszerzenie i redukcja frakcji wyrzutowej prawej komory i brak lub niewielkie upośledzenie czynności skurczowej lewej komory
- Tętniaki prawej komory (obszary akinezy lub dyskinezy z diastolicznymi wybrzuszeniami). Znaczne odcinkowe poszerzenie prawej komory
- Kryteria małe
- Łagodna rozstrzeń prawej komory lub łagodne zmniejszenie frakcji wyrzutowej i prawidłowa lewa komora
- Łagodne odcinkowe poszerzenie prawej komory
- Miejscowa hipokineza prawej komory
- Kryteria duże
- Tkanka ściany komory
- Kryteria duże
- Zastąpienie miocardium tkanką włóknisto-tłuszczową stwierdzone w biopsji endomiokardialnej.
- Kryteria duże
Rozpoznanie różnicowe
- anomalia Uhla
- anomalia Ebsteina
- ubytek przegrody międzyprzedsionkowej
- zawał prawej komory
- niedomykalność zastawek prawego serca.
Leczenie
Leczenie jest objawowe i polega na oszczędzającym trybie życia oraz leczeniu zaburzeń rytmu. Przeciwwskazane jest uprawianie sportu i unikanie każdego większego wysiłku fizycznego. Zaburzenia rytmu leczone są farmakologicznie, amiodaronem lub sotalolem, w przypadku nieskuteczności takiego leczenia lub nietolerancji leków do rozważenia pozostaje radioablacja miejsc arytmogennych. ARVC jest wskazaniem do wszczepienia kardiowertera-defibrylatora (ICD). W schyłkowym okresie choroby należy rozważyć transplantację serca.
Rokowanie
Rokowanie na ogół jest poważne, wszczepienie ICD poprawia je.
Zobacz też
Przypisy
- ↑ Lancisi GM. De Motu Cordis et Aneurysmatibus. Neapol. 1736.
- ↑ Marcus FI, Fontaine GH, Guiraudon G, Frank R, Laurenceau JL, Malergue C, Grosgogeat Y. Right ventricular dysplasia: a report of 24 adult cases. „Circulation”. 65. 2, s. 384-98, 1982. PMID: 7053899.
- 1 2 Nava A, Thiene G, Canciani B, Scognamiglio R, Daliento L, Buja G, Martini B, Stritoni P, Fasoli G. Familial occurrence of right ventricular dysplasia: a study involving nine families. „J Am Coll Cardiol”. 12. 5, s. 1222-8, 1988. PMID: 3170963.
- ↑ Thiene G, Nava A, Corrado D, Rossi L, Pennelli N. Right ventricular cardiomyopathy and sudden death in young people. „N Engl J Med”. 318. 3, s. 129-33, 1988. PMID: 3336399.
- 1 2 3 Anneline SJM te Riele, Harikrishna Tandri, David A Bluemke, Arrhythmogenic right ventricular cardiomyopathy (ARVC): cardiovascular magnetic resonance update, „Journal of Cardiovascular Magnetic Resonance”, 16 (1), 2014, s. 50, DOI: 10.1186/s12968-014-0050-8, ISSN 1097-6647, PMID: 25191878, PMCID: PMC4222825 [dostęp 2018-06-29].
- ↑ Norman MW., McKenna WJ. Arrhythmogenic right ventricular cardiomyopathy: perspectives on disease.. „Z Kardiol”. 88. 8, s. 550-4, 1999. PMID: 10506390.
- ↑ Thiene G, Corrado D, Basso C. Arrhythmogenic right ventricular cardiomyopathy/dysplasia. „Orphanet J Rare Dis”. 2, s. 45, 2008. DOI: 10.1186/1750-1172-2-45. PMID: 18001465.
- 1 2 Severini GM, Krajinovic M, Pinamonti B, Sinagra G, Fioretti P, Brunazzi MC, Falaschi A, Camerini F, Giacca M, Mestroni L. A new locus for arrhythmogenic right ventricular dysplasia on the long arm of chromosome 14. „Genomics”. 31. 2, s. 193-200, 1997. PMID: 8824801.
- ↑ Rampazzo A, Nava A, Erne P, Eberhard M, Vian E, Slomp P, Tiso N, Thiene G, Danieli GA. A new locus for arrhythmogenic right ventricular cardiomyopathy (ARVD2) maps to chromosome 1q42-q43. „Hum Mol Genet”. 4. 11, s. 2151-4, 1996. PMID: 8589694.
- 1 2 Hugh Calkins, Arrhythmogenic right ventricular dysplasia, „Current Problems in Cardiology”, 38 (3), 2013, s. 103–123, DOI: 10.1016/j.cpcardiol.2012.12.002, ISSN 1535-6280, PMID: 23453020 [dostęp 2018-06-29].
- ↑ McKenna WJ, Thiene G, Nava A, Fontaliran F, Blomstrom-Lundqvist C, Fontaine G, Camerini F. Diagnosis of arrhythmogenic right ventricular dysplasia/cardiomyopathy. Task Force of the Working Group Myocardial and Pericardial Disease of the European Society of Cardiology and of the Scientific Council on Cardiomyopathies of the International Society and Federation of Cardiology.. „Br Heart J”. 71. 3, s. 215-8, 1994. PMID: 8142187.
Linki zewnętrzne
Przeczytaj ostrzeżenie dotyczące informacji medycznych i pokrewnych zamieszczonych w Wikipedii.