Apoptoza

Apoptoza (z starogr. ἀπό [apó, „od”] + πτῶσις [ptôsis, „padanie”]) – jeden z naturalnych procesów biologicznych zaprogramowanej i podlegającej kontroli destrukcji własnych komórek w organizmie wielokomórkowym. Ten mechanizm jest potrzebny i wpływa korzystnie na prawidłowy rozwój, homeostazę i zapobieganie nadmiernej, szkodliwej proliferacji komórek organizmu. Stale usuwane są zużyte, uszkodzone lub niepotrzebne komórki, a w ich miejsce powstają nowe.
Inicjacja apoptozy może wystąpić na drodze zewnątrzpochodnej lub wewnątrzpochodnej i prowadzi do szeregu biochemicznych przemian w komórce, a ostatecznie powstają ciałka apoptotyczne. Pobliskie fagocyty pochłaniają je i utylizują. Ponieważ apoptozy nie da się zatrzymać czy odwrócić, muszą istnieć skuteczne mechanizmy regulacyjne, np. kaspazy i receptory Fas stymulują proces apoptozy, a niektóre białka z grupy Bcl-2 (np. Bcl-xL lub Bcl-2) mają wpływ hamujący.
Apoptozę można przyrównać do zaplanowanego, kontrolowanego usunięcia pewnych komórek, co w efekcie przyczynia się do rozwoju, homeostazy i dobrostanu całego organizmu. W odróżnieniu od martwicy (inaczej nekrozy), gdzie dochodzi do uszkodzenia jakimś zewnętrznym czynnikiem patologicznym, apoptoza jest zjawiskiem naturalnym w rozwoju i życiu organizmów; mimo to wykazano, że niektóre patogeny mogą wpływać na indukcję tego procesu, dotyczy to głównie wirusów, a także niektórych bakterii takich jak np. Helicobacter pylori. Metaforyczny termin apoptoza odnoszący się do tego zjawiska wprowadzono w 1972 roku. Odzwierciedleniem rosnącego zainteresowania badaniami nad apoptozą było przyznanie Nagrody Nobla z fizjologii lub medycyny w roku 2002. Otrzymali ją Sydney Brenner, H. Robert Horvitz i John E. Sulston za ich odkrycia z dziedziny genetycznej regulacji organogenezy i zaprogramowanej śmierci komórki.
Przebieg apoptozy
Proces apoptozy podlega ścisłej kontroli i jest to mechanizm, który składa się z kilku etapów.

Faza sygnałów wstępnych
Apoptoza jest indukowana pewnym czynnikiem inicjatorowym. Do czynników inicjujących apoptozę należą:
- bodźce fizjologiczne – np. niedobory hormonów (np. zmiany stężenia hormonów steroidowych), czynników wzrostu, jonów (np. jonów wapnia),
- występowanie cytokin – cząsteczek produkowanych przez układ immunologiczny, np. interferon, czynnik martwicy nowotworów TNFα,
- glikokortykosteroidy i leki immunostatyczne,
- oddziaływania międzykomórkowe (parakrynne) – na skutek przekazywania błędnych informacji o podziałach komórkowych,
- limfocyty cytotoksyczne (np. przy odrzuceniu przeszczepu),
- czynniki fizyczne (np. promieniowanie jonizujące),
- działalność niektórych patogenów (głównie wirusów),
- wolne rodniki;
- w niektórych przypadkach jony kadmu (Cd2+)[1];

Przekazanie sygnału odbywa się drogą zewnątrzpochodną lub drogą wewnątrzpochodną:
- droga zewnątrzpochodna – sygnał o śmierci komórki jest pochodzenia zewnątrzkomórkowego i jest przekazywany na receptory śmierci zlokalizowane na błonie komórkowej. Dotąd zlokalizowano przynajmniej osiem białek należących do rodziny receptorów śmierci, które zaszeregowano do odpowiednich rodzin białek[2]. Są to: rodzina białek p75NTR (receptor ektodysplazyny A, receptor śmierci 6 (DR6) i receptor neutrofiny p75 (NTR)); rodzina receptora czynnika martwicy nowotworów 1 (TNFR1 i receptor śmierci 3 (DR3)), rodzina receptora CD95 (CD95/FAS) i rodzina receptora dla liganda powiązanego z czynnikiem martwicy nowotworów, wywołującego apoptozę (TNF-related apoptosis-inducing ligand receptor; TRAILR) i należą tu dwa receptory TRAILR1 i TRAILR2. Przykłady transmisji sygnału śmierci odpowiednio dla receptora CD95/FAS oraz TNFR1:
- limfocyt T cytotoksyczny może wykryć patologiczne zmiany w błonie komórki (np. epitopy receptorów wirusowych na błonie komórkowej, duży odsetek fosfatydyloseryny w zewnętrznej monowarstwie błony komórkowej) i parakrynnie zasygnalizować jej śmierć, wytwarzając FasL (ligand Fas). Cytokina ta łączy się z komórką przeznaczoną do apoptozy za pośrednictwem zewnątrzkomórkowej domeny receptora Fas, FASR, który zawiera również domenę transbłonową (kotwiczącą receptor) i domenę cytoplazmatyczną, zwaną domeną śmierci FADD (Fas Associated Death Domain) o charakterze wykonawczym, która przekazuje sygnał do białek cytoplazmy, kontrolujących fazę kontrolno-decyzyjną.
- cytokina TNFα, będąca mediatorem zapalenia, może połączyć się z komórką przeznaczoną do apoptozy za pośrednictwem domeny zewnątrzkomórkowej receptora TNFα, TNFR1, który po połączeniu z sygnałem przyłącza do swojej cytoplazmatycznej domeny śmierci białko adaptorowe TRADD.
Transmisja sygnałów odpowiedniego liganda na właściwy receptor śmierci:
| Receptor śmierci | Ligand | Charakterystyka funkcji receptora |
|---|---|---|
| CD95/FasR/Apo1/TNFRSF6 | FasL | Występuje na limfocytach B i T, uczestniczy w dojrzewaniu limfocytów B w centrach germinalnych przez negatywną selekcję klonów autoagresywnych, indukowany białkiem tat wirusa HIV, zarażone limfocyty B wirusem EBV mają zwiększoną ekspresję receptora, po aktywacji receptora tworzy się death-inducting signaling complex (DISC) zawierający białka adaptorowe. Obniżenie ekspresji receptora i liganda często występują w komórkach nowotworowych jako próba ewazji układu immunologicznego[3]. Nadekspresja receptora prowadzi do nieswoistego zapalenia jelit[4]. |
| TNFR1/TNFRSF1A/CD120a, TNFR2 | TNFα, TNFβ | Zlokalizowany w raftach lipidowych błony komórkowej wielu komórek, a także w błonach trans aparatu Golgiego, aktywuje transkrypcję czynnika NF-κB[5], aktywuje apoptozę, reguluje proces zapalny. |
| DR3/Apo3/TNFRSF25/TNFRSF12 | Apo3L/TWEAK | Występuje głównie w tkance limfoidalnej i pełni rolę homeostatyczną. Aktywuje transkrypcję czynnika NF-κB, aktywuje apoptozę. Badania na myszach sugerują usuwanie samoreaktywnych limfocytów T w grasicy[6]. |
| DR4/TRAIL-R1/TNFRSF10A/CD261/Apo2 | Apo2L/TRAIL/TNFSF10 | Białko adaptorowe FADD/MORT1 przyłącza się do domeny cytoplazmatycznej receptora i przyłącza kaspazę 8 tworząc DISC, który aktywuje transkrypcję czynnika NF-κB, przekazującego sygnał o apoptozie. Chociaż receptor znajduje się na zmienionych i niezmienionych komórkach, aktywacja szlaku apoptozy dotyczy tylko uszkodzonych komórek. |
| KILLER/DR5/TRAIL-R2/TNFRSF10B/CD262 | Apo2L/TRAIL/TNFSF10 | Sygnał inicjacji apoptozy przebiega tak jak w przypadku TRAIL-R1[7]. Defekt receptora prowadzi do raka płaskonabłonkowego głowy i szyi HNSCC. |
| EDAR-A1 | Ektodysplazyna A1 | Receptor bierze udział w morfogenezie w centrach sygnalnych. Aktiwina[8] produkowana przez mezenchymę indukuje ekspresję receptora EDAR w nabłonkowych centrach sygnalnych, uwrażliwiając je na indukowaną Wnt, ektodysplazynę A pochodzącą z pobliskiej ektodermy. Defekt EDAR powoduje hipohydroityczną dysplazję ektodermalną. |
| DR6/TNFRSF21 | Receptor sierocy | Receptor posiada motywy bogate w cysteinę oraz cytoplazmatyczną domenę śmierci, która wchodzi w interakcję z adaptorowym białkiem TRADD. Indukuje aktywację zarówno NF-κB oraz JNK i wywołuje apoptozę. Badania na myszach dowiodły, że receptor pełni ważną rolę regulatorową w aktywacji limfocytów T i zaangażowany jest w procesy zapalne i immunoregulację. Receptor występuje powszechnie a jego duża ekspresja występuje w narządach limfatycznych, sercu, mózgu i trzustce. Komórki nowotworowe charakteryzują się nadekspresją DR6 i podwyższonym poziomem białek antyapoptycznych[9]. |
| NGFR/p75(NTR) | BDNF, NGF, Neurotrofina 3 i 4 (NT3, NT4) | Występują dwa typy receptora NTR – o dużym powinowactwie oraz o małym powinowactwie (receptor śmierci). Receptor śmierci przyłącza cztery typy neurotrofin z niskim powinowactwem. Badania wykazały, że receptor działa jako molekularny przełącznik sygnałów, który przestawia komórkę na przeżycie lub śmierć w trzech krokach. W pierwszym kroku, pro-nerve growth factor (prNGF) włącza apoptozę przez silne powinowactwo wiązania do p75(NTR), podczas gdy NGF indukuje przeżycie neuronu przez wiązanie o niskim powinowactwie. W drugim kroku, p75NTR przekazuje sygnał śmierci komórki przez połączenie z koreceptorem sortiliną, podczas gdy ten promuje przeżycie komórki w kompleksie z proNGF. Ostatni krok to uwolnienie wewnątrzkomórkowej domeny krótkiego fragmentu p75(NTR), inicjującego apoptozę[10][11][12]. |
- droga wewnątrzpochodna – sygnał o programowanej śmierci komórki pochodzi od białkowych czynników wewnątrzkomórkowych (niezwiązanych z receptorami błony komórkowej), które powstają w procesach związanych z mitochondriami. Promieniowanie, wolne rodniki, toksyny czy wirusy mogą uszkodzić komórkowe DNA i aktywować apoptozę na drodze wewnątrzpochodnej. W wyniku uszkodzenia DNA obok uruchomienia mechanizmów naprawczych dochodzi również do ekspresji cytoplazmatycznych białek proapoptotycznych, które wbudowują się w wewnętrzną błonę mitochondrialną. Mitochondrium jest organellum komórkowym, zbudowanym z wewnętrznej, trudno przepuszczalnej błony, tworzącej grzebienie mitochondrialne zawierające białka łańcucha oddechowego oraz zewnętrznej, łatwo przepuszczalnej, porowatej błony. Pomiędzy dwiema błonami znajduje się tzw. przestrzeń międzybłonowa. Komórka do życia wymaga dostatecznej dostawy wysokoenergetycznego ATP. Czynniki proapoptotyczne wbudowują się do wewnętrznej błony mitochondrialnej i tworzą w niej pory. Przez pory następuje przeciek jonów H+ z przestrzeni międzybłonowej do wnętrza mitochondrium. Przeciek redukuje potencjał wewnętrznej błony mitochondrialnej i upośledza działanie łańcucha oddechowego służącego do syntezy ATP. Do mitochondrium napływa również Ca2+. Pod wpływem jonów wapnia z mitochondrium do cytoplazmy uwalniany jest cytochrom C, który jest luźno zakotwiczonym białkiem w wewnętrznej błonie mitochondrialnej i jest najlepiej rozpuszczalnym w wodzie składnikiem łańcucha oddechowego. Po uwolnieniu do cytoplazmy cytochrom C łączy się z retikulum endoplazmatycznym i prowadzi do uwolnienia z niego depozytu Ca2+, napędzając proces spirali uwolnienia cytochromu C z mitochondriów. Końcowym efektem przekazania sygnału w tym szlaku jest połączenie cytochromu C z cytoplazmatycznym białkiem Apaf-1, Apoptotic Protease Activating Factor-1, którego dalsze losy zależą od przebiegu fazy kontrolno-decyzyjnej.
Faza kontrolno-decyzyjna

Przebieg fazy kontrolno-decyzyjnej w istocie polega na kaskadzie reakcji fosforylacji i asocjacji odpowiednich białek cytoplazmatycznych, które przekazują informację do jądra komórkowego o uruchomieniu mechanizmów naprawczych komórki lub o zaniechaniu naprawy i przekierowaniu komórki na drogę apoptozy.
Faza kontrolno-decyzyjna jest kontrolowana dwoma szlakami – zewnątrzpochodnym i/lub wewnątrzpochodnym.
- szlak zewnątrzpochodny – ufosforylowane białko adaptorowe FADD przyłącza kaspazę-8, która jest białkiem inicjatorowym, formując w ten sposób kompleks sygnału indukującego śmierć death-inducing signal complex (DISC). Po przyłączeniu kaspaza-8 zostaje aktywowana i zdolna jest do bezpośredniej aktywacji kaspazy-3 (kaspazy wykonawczej). Aktywna kaspaza-8 może również przyciąć białko BID tworząc białko tBID, które działa jako sygnał dla błony mitochondrialnej, umożliwiający uwolnienie cytochromu C szlaku wewnątrzpochodnego.
- szlak wewnątrzpochodny – może być zainicjowany stresem komórkowym, szczególnie stresem mitochondrialnym spowodowanym przez czynniki takie jak uszkodzenie DNA czy szok cieplny. Po otrzymaniu sygnału czynnika inicjatorowego białka proapoptotyczne cytoplazmy BID i BAX wbudowują się w wewnętrzną błonę mitochondrium tworząc pory i następuje uwolnienie zawartości z matriks mitochondrialnego. Aby jednak doszło do całkowitego uwolnienia cytochromu C z przestrzeni międzybłonowej mitochondrium konieczne jest powiększenie porów zewnętrznej błony mitochondrium. W proces ten włącza się również białko proapoptotyczne pochodzące z matriks mitochondrium – białko proapoptotyczne BAK[13]. Po uwolnieniu do cytoplazmy cytochrom C łączy się z ATP oraz z enzymem Apaf-1, a następnie kompleks ten łączy się z kaspazą-9 (kaspazą inicjatorową) formując apoptosom. Apoptosom aktywuje kaspazę-3 (kaspazę wykonawczą), która inicjuje degradację. Ponadto z przestrzeni międzybłonowej mitochondrium uwolnione jest białko, zwane czynnikiem indukującym apoptozę, apoptosis inducing factor (AIF), które umożliwia fragmentację DNA oraz białka stanowiące kompleks Smac/Diablo oraz białko Omi, które unieczynniają białko inhibitora apoptozy inhibitor of apoptosis (IAP).
Cytotoksyczne zabijanie komórek przez limfocyty Tc polega na utworzeniu w docelowej błonie komórkowej porów zbudowanych z perforyn. Następnie przez tak utworzone pory do cytoplazmy komórki uwalniane są granzymy B aktywujące szlak kaspaz, a także uwalniają się jony wapnia stymulujące apoptozę.
Faza wykonawcza
Kaspazy wykonawcze 3, 6 i 7 niszczą białka strukturalne oraz enzymatyczne, co powoduje całkowitą dezintegrację komórki w ostatecznej fazie apoptozy:
- polimeraza poli-ADP rybozy i białkowa kinaza DNA ulegają degradacji, co uniemożliwia w ten sposób naprawę uszkodzonego DNA
- zniszczeniu ulega błona jądrowa poprzez uszkodzenia lamin
- zniszczeniu ulegają filamenty pośrednie i aktyna tworzące cytoszkielet
- odwodnienie cytoplazmy prowadzi do jej zagęszczenia, a w konsekwencji do zmiany kształtu i wielkości komórki
- chromatyna staje się skondensowana i przybiera kształt półksiężycowaty. Proteoliza przy udziale kaspaz inhibitora endonuklezy CAD, powoduje aktywację tego enzymu i fragmentacji łańcucha DNA
- w zaawansowanej apoptozie zanika błona jądrowa i całe jądro ulega fragmentacji. Fragmenty jądra i cytoplazma z organellami komórkowymi zostają otoczone fragmentami błony cytoplazmatycznej
- ostatecznie powstają ciałka apoptotyczne, które są fagocytowane przez sąsiednie komórki
Faza uprzątania
To fagocytowanie komórek apoptotycznych i ich fragmentów czyli ciałek apoptotycznych następuje bez reakcji zapalnej. Makrofagi rozpoznają komórki apoptotyczne dzięki obecnej w zewnętrznej monowarstwie błony komórkowej fosfatydyloserynie (normalnie występującej tylko w monowarstwie cytoplazmatycznej). Ciałka apoptotyczne posiadają na swojej powierzchni glikoproteinę – trombospondynę, która również jest sygnałem dla makrofagów do fagocytozy.
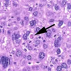
Obraz mikroskopowy
Apoptoza, w odróżnieniu od nekrozy, polega na kurczeniu się komórki poprzez utratę wody. Po różnorodnie przebiegającej fazie inicjacji apoptozy zachodzi faza egzekucji zależna od enzymów proteolitycznych z grup kaspaz. Wszystkie zmiany w komórce mają charakter zorganizowany i samoograniczający, co odróżnia apoptozę od nekrozy. chromatyna jądrowa ulega kondensacji, a DNA zostaje pocięte przez endonukleazy. DNA apoptycznej komórki dzieli się na fragmenty wielkości około 180 par zasad i ich wielokrotności. Następuje dezintegracja cytoszkieletu. Komórka apoptyczna zaokrągla się, traci kontakt z podłożem, rozwijają się na jej powierzchni liczne uwypuklenia. W procesie apoptozy organelle komórkowe pozostają jednak nienaruszone. Są one usuwane z komórki wraz z fragmentami chromatyny w tzw. ciałkach apoptotycznych, pęcherzykach powstałych w wyniku zmian w strukturze błony komórkowej. W większości przypadków są one następnie fagocytowane przez komórki żerne. Wyjątkiem są np. ciałka apoptotyczne soczewki oka, które zawierają zamiast cytoplazmy z organellami białko krystalinę. Apoptoza nie wywołuje stanu zapalnego i dotyczy pojedynczych komórek. Porównanie apoptozy z nekrozą przedstawiono w poniższej tabeli:
| Cecha różnicująca | Apoptoza | Nekroza |
|---|---|---|
| Charakter procesu | Programowany (aktywny) – kaskada aktywacji białek efektorowych | Bierny, kataboliczny |
| Metabolizm komórkowy | Zachowany | Przerwany |
| Obszar procesu | Obejmuje pojedyncze komórki | Obejmuje wiele komórek ogniska martwicy |
| Etap kończący proces | Formowanie ciałek apoptotycznych | Pęknięcie komórki |
| Ognisko zapalne | Nie występuje | Występuje (uwolnienie wewnątrzkomórkowych cytokin prozapalnych) |
| Sąsiedztwo komórek | Sąsiednie komórki i makrofagi wchłaniają ciałka apoptotyczne | Fagocyty pożerają fragmenty komórkowe, fibroblasty syntezują kolagen |
| Błony plazmatyczne | Zachowane do momentu wchłonięcia ciałka apoptotycznych | Ulegają uszkodzeniu |
| Objętość komórki | Maleje (odwodnienie cytoplazmy) | Komórka pęcznieje (uszkodzenie bariery osmotycznej) |
| Kształt komórki | Wydłużony | Kulisty |
| Organella komórkowe | Zachowane | Obrzęknięte, pękają |
| Jądro komórkowe (chromatyna) | Kondensacja chromatyny, fragmentacja jądra | Brak kondensacji jądra, liza jądra |
| Kwas deoksyrybonukleinowy | DNA ułożone brzeżnie i podbłonowo, wybiórcze cięcie DNA | Rozkład DNA na fragmenty o przypadkowej długości |
| Rozkład elektroforetyczny DNA | Układ "drabinkowy" fragmentów DNA | Układ „pasmowy” – zróżnicowana długość fragmentów DNA |
Apoptoza o podłożu patogennym

Apoptoza może występować obok martwicy w wielu stanach patologicznych:
- Zawał serca – niedokrwienie mięśnia sercowego, prowadzi do spadku dystrybucji tlenu, spadku produkcji ATP i do upośledzenia katalitycznego usuwania wolnych rodników (przez enzymy: katalazę, dysmutazę ponadtlenkową). Stan ten prowadzi do martwicy skrzepowej. Reperfuzja obszaru niedokrwiennego prowadzi do znacznego napływu tlenu i masowej produkcji wolnych rodników (reaktywnych form tlenu). Produkcja wolnych rodników przebiega przede wszystkim w mitochondrialnym łańcuchu oddechowym w kompleksie III i peroksysomy, gdzie działa oksydaza ksantynowa oraz obecny jest łańcuch transportu elektronów, w skład którego wchodzą reduktaza NADH i cytochrom b5[14]. Reaktywne formy tlenu zwiększają przepuszczalność błon mitochondrialnych mogąc wprowadzić komórkę w proces apoptozy.
- Efekt widza w radioterapii – to uszkodzenie i apoptoza komórki, która nie została bezpośrednio napromieniowana przez promieniowanie jonizujące, ale sąsiaduje z napromieniowaną komórką. Następuje zmiana struktury błon komórkowych napromieniowanych komórek, a następnie przeniesienie sygnału apoptotycznego na sąsiednie komórki (transmiterem jest tlenek azotu).
- Wirus HIV powoduje apoptozę limfocytów T.
- W cukrzycy typu II w wyspach trzustkowych odkłada się peptyd amylina, który jest toksyczny i powoduje apoptozę komórek β i narastanie objawów choroby.
Zobacz też
Przypisy
- ↑
Yuan Yan, Jian Chun Bian, Liu Xue Zhong, Ying Zhang, Ya Sun. Oxidative stress and apoptotic changes of rat cerebral cortical neurons exposed to cadmium in vitro. „Biomedical and environmental sciences: BES”. 25 (2), s. 172–181, 2012. DOI: 10.3967/0895-3988.2012.02.008. PMID: 22998824. - ↑ T. Sessler, S. Healy, A. Samali, E. Szegezdi. Structural determinants of DISC function: new insights into death receptor-mediated apoptosis signalling. „Pharmacol Ther”. 140 (2), s. 186–199, 2013. DOI: 10.1016/j.pharmthera.2013.06.009. PMID: 23845861.
- ↑ M.E. Peter, P. Legembre, B.C. Barnhart. Does CD95 have tumor promoting activities?. „Biochim Biophys Acta”. 1755 (1), s. 25–36, 2005. DOI: 10.1016/j.bbcan.2005.01.001. PMID: 15907590.
- ↑ L. Chen, S.M. Park, J.R. Turner, M.E. Peter. Cell death in the colonic epithelium during inflammatory bowel diseases: CD95/Fas and beyond. „Inflamm Bowel Dis”. 16 (6), s. 1071–1076, 2010. DOI: 10.1002/ibd.21191. PMID: 20049945.
- ↑ Death Receptor Signaling Pathway. Cell Signaling Technology. [dostęp 2017-02-15].
- ↑
T.J. Slebioda, T.F. Rowley, J.R. Ferdinand, J.E. Willoughby i inni. Triggering of TNFRSF25 promotes CD8⁺ T-cell responses and anti-tumor immunity. „Eur J Immunol”. 41 (9), s. 2606–2611, 2011. DOI: 10.1002/eji.201141477. PMID: 21688261. - ↑
P. Schneider, M. Thome, K. Burns, J.L. Bodmer i inni. TRAIL receptors 1 (DR4) and 2 (DR5) signal FADD-dependent apoptosis and activate NF-kappaB. „Immunity”. 7 (6), s. 831–836, 1997. DOI: 10.1016/S1074-7613(00)80401-X. PMID: 9430228. - ↑ P. Koppinen, J. Pispa, J. Laurikkala, I. Thesleff i inni. Signaling and subcellular localization of the TNF receptor Edar. „Exp Cell Res”. 269 (2), s. 180–192, 2001. DOI: 10.1006/excr.2001.5331. PMID: 11570810.
- ↑
M. Klíma, J. Zájedová, L. Doubravská, L. Andera. Functional analysis of the posttranslational modifications of the death receptor 6. „Biochim Biophys Acta”. 1793 (10), s. 1579–1587, 2009. DOI: 10.1016/j.bbamcr.2009.07.008. PMID: 19654028. - ↑
D. Deponti, R. Buono, G. Catanzaro, C. De Palma i inni. The low-affinity receptor for neurotrophins p75NTR plays a key role for satellite cell function in muscle repair acting via RhoA. „Mol Biol Cell”. 20 (16), s. 3620–3627, 2009. DOI: 10.1091/mbc.E09-01-0012. PMID: 19553472. PMCID: PMC2777922. - ↑
K. Kuwako, H. Taniura, K. Yoshikawa. Necdin-related MAGE proteins differentially interact with the E2F1 transcription factor and the p75 neurotrophin receptor. „J Biol Chem”. 279 (3), s. 1703–1712, 2004. DOI: 10.1074/jbc.M308454200. PMID: 14593116. - ↑ L.W. Chen, K.K. Yung, Y.S. Chan, D.K. Shum i inni. The proNGF-p75NTR-sortilin signalling complex as new target for the therapeutic treatment of Parkinson’s disease. „CNS Neurol Disord Drug Targets”. 7 (6), s. 512–523, 2008. DOI: 10.2174/187152708787122923. PMID: 19128208.
- ↑
T. Moldoveanu, C.R. Grace, F. Llambi, A. Nourse i inni. BID-induced structural changes in BAK promote apoptosis. „Nat Struct Mol Biol”. 20 (5), s. 589–597, 2013. DOI: 10.1038/nsmb.2563. PMID: 23604079. PMCID: PMC3683554. - ↑ M. Inoue, E.F. Sato, M. Nishikawa, A.M. Park i inni. Mitochondrial generation of reactive oxygen species and its role in aerobic life. „Curr Med Chem”. 10 (23), s. 2495–2505, 2003. DOI: 10.2174/0929867033456477. PMID: 14529465.
Bibliografia
- Lubert Stryer: Biochemia. Warszawa: Wydawnictwo Naukowe PWN, 2000. ISBN 83-01-12044-4.
- Biologia molekularna w medycynie. Elementy genetyki klinicznej. Warszawa: Wydawnictwo Naukowe PWN, 2006. ISBN 978-83-01-14703-7.
- Wincenty Michał Kilarski: Strukturalne podstawy biologii komórki. Warszawa: Wydawnictwo Naukowe PWN, 2007. ISBN 978-83-01-14070-0.
- Youngson R., Collins; Słownik Encyklopedyczny; Medycyna, RTW, 1997 ISBN 83-86822-53-8.
Przeczytaj ostrzeżenie dotyczące informacji medycznych i pokrewnych zamieszczonych w Wikipedii.