Komórka

Komórki nabłonka z wybarwioną keratyną (czerwony) i DNA (zielony), obraz mikroskopowy

Komórka (łac. cellula) – najmniejsza strukturalna i funkcjonalna jednostka organizmów żywych zdolna do przeprowadzania wszystkich podstawowych procesów życiowych (takich jak przemiana materii, wzrost i rozmnażanie). Jest podstawową jednostką morfologiczno-czynnościową ustroju[1].

Komórkę stanowi przestrzeń ograniczona błoną komórkową. U większości prokariontów, roślin, grzybów i niektórych protistów dodatkowo, od strony zewnętrznej, występuje struktura niewykazująca metabolizmu ani własnych mechanizmów wzrostowych – innymi słowy martwa struktura – ściana komórkowa. Wewnątrz tej przestrzeni znajduje się tzw. protoplazma oraz szereg wewnętrznych organelli pełniących rozmaite funkcje życiowe komórki. Występowanie w komórce jądra jest podstawą podziału organizmów na jądrowe (eukarionty, łac. Eucaryota) i bezjądrowe (prokarionty, akarionty, łac. Procaryota), choć faktycznie różnice w budowie komórki tych grup dotyczą nie tylko obecności jądra komórkowego.

Komórki różnych organizmów wykazują znaczne różnice zarówno morfologiczne, jak i biochemiczne. Mogą one stanowić samodzielny organizm jednokomórkowy lub być elementem składowym organizmu wielokomórkowego.

Budowy komórkowej nie mają wirusy, i w związku z tym nie wykazują oznak życia poza komórkami żywicieli (i zgodnie z obecnymi poglądami systematycznymi nie są klasyfikowane jako organizmy żywe).

Pojęcia komórki po raz pierwszy użył Robert Hooke w 1665 roku.

Skład chemiczny komórek

Komórki organizmów żywych zawierają kilka rodzajów związków chemicznych o różnej strukturze i właściwościach. Zawartość[a] tych związków może być różna u poszczególnych grup organizmów. Różnice te widoczne są nawet na poziomie gatunków, czy niższych taksonów.

Największą masę w komórce stanowi woda, nawet do 90%. To ona stanowi środowisko reakcji biochemicznych, a także czasami jest ich substratem lub produktem. Zawartość pozostałych związków podaje się najczęściej z pominięciem masy wody – w przeliczeniu na suchą masę komórki.

40–60% suchej masy stanowią białka, które pełnią różne funkcje, od budulcowej, poprzez regulacyjną, katalityczną, transportową i wiele innych. Elementem budulcowym białek są aminokwasy. Znane są dwie izomeryczne formy aminokwasów (poza glicyną[b]), które różnie skręcają płaszczyznę światła spolaryzowanego: D i L, ale tylko L–aminokwasy wchodzą w skład białek. W niektórych białkach do aminokwasów dołączone są inne związki, co nadaje im specyficzne właściwości. Na przykład hemoglobina – składnik krwinek czerwonych wiążący m.in. tlen, to białko zawierające barwnik – hem.

Aminokwasy budują także związki mniejsze niż białka – peptydy i oligopeptydy. Pełnią one różne funkcje, są hormonami, naturalnymi antybiotykami niektórych mikroorganizmów itd. Pełniąc podobne funkcje, aminokwasy mogą występować też w formie pojedynczych cząsteczek. Peptydy i polipeptydy, jak i wolne aminokwasy mogą zawierać/być D-izomerami[2].

Struktura DNA

Kwasy nukleinowe, DNA i RNA, odgrywają najważniejszą rolę w przekazywaniu informacji genetycznej oraz biosyntezie białek. Wyjątkami są niektóre RNA, które nie biorą udziału w przekazywaniu informacji genetycznej, pełnią za to funkcję budulcową, wchodząc w skład rybosomówrRNA, czy też transportującą – tRNA, albo enzymatyczną – snRNA.

Węglowodany pełnią głównie funkcję energetyczną i zapasową, ale jako motywy, służą do modyfikacji innych klas związków (glikozylacja), co jest podstawą procesów regulacyjnych, transportowych, komunikacji i przekazywania sygnału.

Lipidy stanowią podstawę strukturalną błon biologicznych, ale ta szeroka klasa związków uczestniczy także w prawie każdym procesie komórkowym, jak regulacja, transport, komunikacja, przekazywanie sygnału, metabolizm (tłuszcze, klasa lipidów, są materiałem zapasowym i źródłem energii) i wielu innych.

Komórki mogą wytwarzać lub zawierać także związki innych grup. Mogą to być witaminy, barwniki, alkaloidy itp. Pełnią one różnorodne funkcje.

Do najważniejszych pierwiastków budujących związki chemiczne wchodzące w skład komórek należą: tlen (wchodzi w skład m.in. cząsteczek wody; stanowi 65% masy człowieka), węgiel (jest rusztowaniem w związkach organicznych, stanowi 18% masy człowieka), wodór (10% masy człowieka), azot (3% masy człowieka) oraz inne pierwiastki tzw. mikroelementy (Ca, P, K, S, Na, Mg, Cl, Fe, I, Mn, Cu, Zn, Co, F, Mo, Se itd.), których masa u człowieka nie przekracza 2% masy całkowitej.

Powstanie komórek

Prekambryjskie stromatolity, takie jak te na zdjęciu z Parku Narodowego Glacier, powstały w wyniku osadzania się komórek prokariotycznych i wysalania ich solami mineralnymi. Są one dowodem, że w tej erze istniały już komórki.

Według jednej z hipotez pochodzenia życia na Ziemi, pierwsze komórki powstały ponad 4 mld lat temu najprawdopodobniej w wyniku połączenia się ze sobą związków organicznych. Zanim jednak do tego doszło, musiały powstać podobne agregaty, które nie wykazywały w ogóle, albo wykazywały tylko niektóre, cechy istot żywych. Te pierwsze określa się jako proteinoidy, zaś drugie jako protobionty. Sądzi się, że pierwsze twory z możliwością do samopowielania, tzw. prakomórki, pojawiły się ok. 4 mld lat temu w okresie archaiku.

Alternatywna, mniej popularna koncepcja powstania życia na Ziemi – teoria panspermii – zakłada, że na Ziemi nie doszło do powstania komórek z materii nieożywionej, a zostały one przyniesione z pyłem kosmicznym z innej planety w postaci przetrwalników prokariontów.

Sposób powstania pierwszych komórek nie jest jednoznacznie ustalony. Pewnym jest natomiast, że pierwsze komórki były komórkami bezjądrowców (Procaryota). Wiek najstarszych skamieniałości takich komórek datuje się na 3,1–3,4 mld lat.

Nieznana jest także dokładna droga ewolucji procesów wewnątrzkomórkowych. Nie wiadomo, czy pierwsze było dziedziczenie, czy metabolizm, niemniej pewnym jest, że to właśnie te procesy były krokami milowymi między martwą materią a życiem.

Powstanie komórek eukariotycznych

Komórki eukariotyczne pojawiły się na Ziemi później niż prokariotyczne. Najstarsze odkryte wykopaliny komórek jądrowych datowane są na 1,7 mld lat. Nie jest jednak jasne, w jaki sposób one powstały.

Najpopularniejszą koncepcją tłumaczącą pojawienie się Eucaryota jest teoria endosymbiozy, w myśl której komórka eukariotyczna powstała z komórki prokariotycznej, która pochłonęła i nie strawiła innej Procaryota. Grupa tych organizmów początkowo weszła w ścisłą zależność mutualistyczną, później przekształcając się w organella takie jak plastydy i mitochondria.

Aby mogło do tego dojść, konieczne było, aby „komórka pochłaniająca” nie posiadała ściany komórkowej, która uniemożliwia fagocytozę (wchłonięcie dużych tworów, takich jak całe komórki). Pozbycie się „pierwotnej” ściany tłumaczy także, dlaczego komórki zawierające jądro osiągają większe rozmiary. Możliwe, że sieć wewnętrznych błon siateczki śródplazmatycznej powstała na skutek ruchu wewnątrz komórki pochłoniętego pokarmu. Kluczowym procesem powstania prostych, jednokomórkowych Eucaryota była endosymbioza bakterii hetero-, jak i autotroficznych, które później przekształciły się, zgodnie z tą teorią, w mitochondria i plastydy (np. chloroplasty). Na poparcie tej teorii przytacza się fakt, że struktury te posiadają własny DNA.

Teoria ta, choć najpopularniejsza nie jest jednak doskonała. Nie tłumaczy ona wielu kwestii, m.in. nie mówi, w jaki sposób doszło do powstania jądra komórkowego.

Budowa komórki

Budowa komórki prokariotycznej

Dzieląca się pałeczka E. coli, obraz z SEM
Schemat budowy komórki prokariotycznej

Rozmiary komórek prokariotycznych są kilkukrotnie mniejsze od rozmiarów komórek eukariotycznych. Wynoszą one zwykle od 0,5 μm do 10 μm. Stosunek powierzchni „typowej” komórki prokariotycznej do komórki tkankowej ma się mniej więcej jak 1:1500.

Kształt komórek prokariontów jest mało zróżnicowany – zwykle jest on kulisty lub nitkowato wydłużony, rzadziej poskręcany (jak u krętków), czy rozgałęziony (jak u maczugowców, prątków itd.). Część z prokariontów tworzy w wyniku niepełnego podziału komórek po amitozie zgrupowania kilku komórek, jak np. dwoinki, gronkowce, paciorkowce itd.

Ściana komórkowa

Kształt komórki determinuje ściana komórkowa, która dodatkowo chroni komórkę przed pęknięciem w wyniku zwiększonego napływu wody do jej wnętrza. U bakterii właściwych (czyli także sinic) zbudowana jest z biopolimeru peptydowo-wielocukrowego – mureiny, zaś u archeanów (archeabakterii) głównym jej składnikiem jest pseudomureina lub białka ułożone w tzw. warstwę S. Część archeonów i wszystkie mikoplazmy (grupa bakterii) nie posiadają ściany komórkowej.

U bakterii grubość ściany komórkowej warunkuje, jaki będzie rezultat barwienia metodą Grama i de facto jest podstawą klasyfikacji bakterii na Gram-dodatnie i Gram-ujemne. Te pierwsze (G+) mają ścianę o grubości 15–50 nm, zaś drugie (G-) kilkukrotnie cieńszą, 2–10 nm. Różnica ta pociąga za sobą także odmienności w fizjologii i wrażliwości na leki między obiema grupami bakterii.

Otoczka

Większość bakterii żyjących w glebie, wodzie lub pasożytujących wytwarza śluzowate otoczki, pod względem chemicznym zbudowane z wielocukrów lub z białek (często glikozylowanych). Otoczka taka pełni funkcję ochronną przed wyschnięciem oraz, u pasożytów, uniemożliwia związanie białek powierzchniowych bakterii przez receptory komórek żernych i zarazem fagocytozę zarazka[c].

Rzęski

Występujące u mikroorganizmów rzęski – różniące się budową od rzęsek występujących u Eucaryota – umożliwiają ruch, zaś fimbrie pozwalają przylegać do komórek zwierzęcych (np. w celu zainfekowania ich) lub uczestniczyć w jednym z procesów parapłciowej wymiany informacji genetycznej między różnymi osobnikami tego samego gatunku, tzw. koniugacji. Rzęski składają się ze spiralnie skręconych włókien flageliny, zaś fimbrie z cienkich delikatnych białkowych rurek sterczących z cytoplazmy.

Błona komórkowa

Błona komórkowa zbudowana jest z dwóch warstw fosfolipidów oraz zakotwiczonych w nich białek – jest to typowy dla wszystkich organizmów model budowy błony plazmatycznej. W stosunku do jądrowych odmienny jest skład chemiczny błony: u akariontów dominują nasycone kwasy tłuszczowe (rzadkie u Eucaryota) oraz nie występuje cholesterol (pomijając aparat fotosyntezy sinic). U Archea błona komórkowa zbudowana jest zupełnie inaczej; obecne są w niej etery kwasów tłuszczowych przy jednoczesnym braku fosfolipidów, często też występuje tylko jedna pojedyncza warstwa dimerów tych eterów[d].

U bakterii gramdodatnich błona cytoplazmatyczna występuje jedynie po wewnętrznej stronie, zaś u gramujemnych po obu stronach ściany komórkowej.

Błona komórkowa jest niezbędna do przeżycia mikroorganizmu. Odpowiada za pobieranie wody, soli mineralnych i pokarmu, wydzielanie substancji na zewnątrz (np. enzymów trawiennych), odbieranie bodźców ze środowiska zewnętrznego oraz procesy metaboliczne komórki. Możliwe jest to dzięki zespołom białek transporterów cząstek pokarmu, przenośników elektronów, białek systemu sekrecji itd.

Cytoplazma i genofor

Przestrzeń ograniczoną błoną wypełnia cytoplazma (cytozol). Jest to układ koloidalny białek zawieszonych w roztworze wodnym, także białek katalizujących reakcje biochemiczne komórki (enzymów).

Materiał genetyczny stanowi kolisty[e], dwuniciowy DNA, zwany genoforem, nukleoidem lub chromosomem bakteryjnym. DNA komórki nie jest, w przeciwieństwie do Eucaryota, osłonięty błoną i pływa dość swobodnie w cytoplazmie (rzadkością jest, że genofor związany jest z błoną komórkową). Genofor zajmuje stosunkowo małą powierzchnię do swojej długości w wyniku silnego poskręcania stabilizowanego przez białka histonopodobne lub, u Archea, przez histony. Częste jest, że oprócz nukleoidu w komórce mikroorganizmów występują znacznie mniejsze, również koliste cząsteczki DNA zwane plazmidami, które warunkują dodatkowe cechy, jak na przykład oporność na antybiotyki, czy zdolność wytwarzania toksyn. Plazmidy mogą być przekazywane na komórki potomne lub na inne komórki w procesach koniugacji, transformacji i transdukcji, czego konsekwencją jest przekazanie zakodowanych w plazmidzie właściwości.

Rybosomy

Gęsto rozsiane w komórce rybosomy zbudowane są, podobnie jak u jądrowych, z RNA[f]. Morfologicznie także składają się z większej i mniejszej podjednostki, które łączą się ze sobą po przyłączeniu mRNA do kompleksu inicjującego[g]. Stanowią miejsce syntezy białek.

Podjednostka mniejsza ma stałą sedymentacji 30S, zaś duża 50S. Współczynnik sedymentacji całego rybosomu wynosi 70S (dla porównania, u Eucaryota wynosi 80S).

Chromatofor

Aparat fotosyntezychromatofor – występuje u sinic (cyjanobakterii) i niektórych Proteobacteria. U proteobakterii chromatofor ma formę kulistych lub jajowatych tworów zawierających chlorofil b, zwany bakteriochlorofilem, oraz różne pigmenty karetonoidowe. U cyjanobakterii chromatofory, zwane tutaj także tylakoidami, mają kształt dysków i zawierają chlorofil a oraz fikoerytrynę i fikocyjaninę (fikobiliny). U tych grup różny jest oprócz budowy aparatów fotosyntezy także jej przebieg.

Pozostałe elementy komórkowe u prokariontów

U niektórych bakterii (kolejno: laseczek, promieniowców i bakterii śluzowych) występują czasem w komórkach endospory, konidia lub mikrocysty pełniące funkcję form przetrwalnych. Są to twory spoczynkowe, pozwalające przeżyć niekorzystne warunki środowiska.

Budowa komórki eukariotycznej


uwaga
uwaga
Uwaga: w opisie najczęściej pominięto królestwo Protista ze względu na polifiletyczny charakter tego taksonu. Najczęściej uwagi dotyczące roślin dotyczą także „protistów roślinnych”, zwierząt – „protistów zwierzęcych”, grzybów – „protistów grzybopodobnych”.
Komórki zarodkowe myszy
Budowa komórki zwierzęcej: 1 – jąderko; 2 – błona jądra komórkowego; 3 – rybosom; 4 – pęcherzyk; 5 – szorstkie retikulum endoplazmatyczne; 6 – aparat Golgiego; 7 – mikrotubule; 8 – gładkie retikulum endoplazmatyczne; 9 – mitochondrium; 10 – wakuole; 11 – cytoplazma; 12 – lizosom; 13 – centriola.
Budowa typowej komórki roślinnej: a – plasmodesma; b – błona komórkowa; c – ściana komórkowa; 1 – chloroplast (d – błona tylakoidu; e – ziarnistość w stromie); 2 – wakuola (f – wakuola; g – tonoplast); h – mitochondrium; i – peroksysom; j – cytoplazma; k – pęcherzyki; l – szorstkie ER; 3 – jądro (m – pory w otoczce jądrowej; n – błona jądrowa; o – jąderko); p – rybosom; q – gładkie ER; r, s – aparat Golgiego; t – elementy cytoszkieletu.

Komórki eukariotyczne są większe od prokariotycznych – średnio ich długość mieści się w granicach 10–100 μm. Część komórek Eucaryota jest jednak jeszcze większa, jak np. jaja, czy niektóre neurony.

Kształt komórki u roślin i grzybów determinuje ściana komórkowa, zaś u zwierząt – organizmów, które nie posiadają ściany komórkowej – głównie środowisko zewnętrzne (zwłaszcza ciśnienie osmotyczne).

Ściana komórkowa

Ściana komórkowa grzybów zbudowana jest najczęściej z chityny (rzadziej z celulozy i innych związków), zaś roślin z włókien celulozowych tworzących mikrofibryle zatopione w macierzy. Macierz ta składa się głównie z wody, hemiceluloz, pektyn i białek.

U roślin, wraz z wiekiem, zmieniają się skład i właściwości ściany komórkowej. Tzw. ścianę pierwotną, pojawiającą się w komórce roślinnej zaraz po jej powstaniu, cechuje duża wytrzymałość na rozciąganie oraz stosunkowo duża zawartość wody. Często pierwotna ściana roślin jest cienka, choć nie jest to regułą. W momencie zakończenia wzrostu komórki, między protoplastem (żywą częścią komórki, czyli błoną i organellami), a ścianą pierwotną, powstaje Ściana wtórna. Cechuje ją mniejsza zawartość wody, a większa celulozy i hemiceluloz oraz odporność na ściskanie i inne bodźce mechaniczne. Często jest gruba, choć to także nie jest regułą. Wtórna ściana komórkowa roślin może ulegać różnym modyfikacjom, jak np. inkrustacja.

Błona komórkowa i mechanizmy poruszania się komórek

Błona komórkowa (plazmolemma) otacza całą komórkę. U eukariontów posiadających ścianę komórkową zawsze występuje po stronie wewnętrznej tej ściany. Plazmolemma zbudowana jest podobnie, jak u bakterii właściwych: składa się z dwóch warstw fosfolipidów oraz zanurzonych w nich białek. W budowie lipidów błonowych komórek jądrowców dominują nienasycone kwasy tłuszczowe. Znaczny (5–25%) jest także udział cholesterolu[h].

Białka zanurzone w plazmolemmie pełnią funkcje receptorów, białek kanałowych, czy enzymatycznych, które odpowiadają za pobieranie wody, soli mineralnych i substancji odżywczych, wydzielanie substancji na zewnątrz (np. produktów przemiany materii), obieranie bodźców ze środowiska zewnętrznego itd. Ponadto struktury białek wraz ze skoordynowanymi innymi cząsteczkami, tak zwany glikokaliks, komórkom bardziej złożonym organizmów nadaje tożsamość antygenową, co warunkuje m.in. występowanie różnych grup krwi[i].

W niektórych komórkach zwierzęcych, jak miocyty i neurony zmiany potencjału elektrycznego błony pozwalają na przewodzenie impulsów nerwowych w odpowiedzi na bodźce, co jest podstawą działania układów nerwowego i mięśniowego.

U części protistów (np. Amoebozoa), jak i niektórych komórek zwierzęcych (jak np. amebocyty gąbek, czy ssacze neutrofile i monocyty) przelewanie cytoplazmy powodujące uwypuklanie błony umożliwia przemieszczanie się tych komórek. Nazywane jest to ruchem pełzakowatym (ameboidalnym). Ruch ten jest możliwy dzięki występowaniu w komórkach cytoszkieletu.

Występowanie wici i rzęsek na powierzchni komórek także umożliwia ruch w środowisku wodnym. Wici występują zwykle pojedynczo i są znacznie dłuższe od rzęsek występujących bardzo licznie wokół całej komórki. Obie struktury zbudowane są podobnie, z mikrotubul. W „trzonku” mikrotubule tworzą dublety, dziewięć ułożonych okrężnie i jeden w centrum. Tworzy to tzw. strukturę 9+2. U podstawy rzęsek i wici znajduje się kinetosom (homologiczny do centrioli) zbudowany z 9 ułożonych okrężnie trypletów mikrotubul (struktura 9x3).

Zasada działania wici polega na uderzaniu w wodę i wywoływaniu fali, która powoduje przemieszczenie komórki. Rzęski natomiast pracują w podobny sposób jak wiosła.

Rzęski u bardziej złożonych zwierząt mogą pełnić także inne funkcje, np. u ssaków oczyszczają powietrze w jamie nosowej, zatrzymując pyły na swojej powierzchni.

Siateczka śródplazmatyczna i aparat Golgiego

Wewnątrz błony komórkowej znajdują się organella oraz cytozol (cytoplazma). Cytoplazma, podobnie jak u Procaryota, jest białkowym koloidem. Charakter koloidalny pozwala na utrzymywanie w cytoplazmie organelli ponad spodnią powierzchnią błony komórkowej, tak jakby organella były zawieszone w komórce.

Retikulum endoplazmatyczne (siateczka śródplazmatyczna, ER) i błony organelli wyznaczają wewnątrz komórki oddzielone od siebie przestrzenie (kompartmenty), dzięki czemu możliwe jest wytworzenie i utrzymywanie różnych warunków w różnych przestrzeniach tej samej komórki, a co za tym idzie – przeprowadzania w jednym czasie wielu procesów wymagających odmiennych warunków reakcji.

Pod względem budowy, błony te są podobne do plazmolemmy. Najważniejsze różnice dotyczą tego, że są one cieńsze, zawierają więcej białek, a znacznie mniej cholesterolu oraz nie zawierają glikokaliksu.

Samo retikulum endoplazmatyczne jest zróżnicowane – wyróżnia się dwie jego formy: jedną zawierającą ziarnistości (siateczka śródplazmatyczna szorstka) i drugą ich pozbawioną (siateczka śródplazmatyczna gładka). ER gładkie występuje w postaci kanalików, zaś szorstkie w postaci cystern. Stosunek ilościowy między ER szorstkim a gładkim jest zmienny i zależy od stanu czynnościowego komórki.

ER gładkie jest miejscem biosyntezy lipidów, przemian sterydów, gromadzenia jonów wapniowych Ca2+[j] oraz detoksykacji trucizn, leków itd.[k] Od błon siateczki śródplazmatycznej gładkiej mogą oddzielać się pęcherzyki, które przekształcają się w wakuole i mikrociała. Retikulum zapewnia transport substancji pokarmowych w cytoplazmie oraz utrzymuje kontakt pomiędzy sąsiednimi komórkami.

Na zewnętrznej powierzchni siateczki śródplazmatycznej szorstkiej występują rybosomy (widoczne w mikroskopie jako ziarnistości). Są one, podobnie jak u bezjądrowych, zbudowane z dwóch podjednostek, mają taki sam skład chemiczny (rRNA i białka zasadowe) oraz pełnią taką samą funkcję (są miejscem biosyntezy białek), niemniej różnią się od nich wielkością. U Eucaryota współczynnik sedymentacji całego rybosomu (znajdującego się na ER) wynosi 80S, jego małej podjednostki 40S, dużej – 60S.

W cytoplazmie znajdują się także rybosomy wolne – niezwiązane z błonami. Z grubsza można przyjąć, że rybosomy z siateczki śródplazmatycznej produkują polipeptydy wydzielane na zewnątrz lub wbudowywane w błonę komórkową, zaś rybosomy wolne syntezują białka nieopuszczające komórki.

Rybosomy w komórkach jądrowców występują także w mitochondriach i plastydach. Mają one jednak współczynnik sedymentacji typowy dla Procaryota, co być może świadczy o słuszności teorii endosymbiozy.

Rozpoczęcie biosyntezy białek wymaga, podobnie jak u Procaryota, przyłączenia dużej jednostki rybosomu do małej, tworzącej wraz z mRNA i tRNAMet kompleks inicjujący, z tą różnicą, że inicjatorowy tRNAMet zawiera niezmodyfikowaną metioninę.

Inną, poza retikulum endoplazmatycznym, błoniastą strukturą komórki jest zlokalizowany najczęściej w pobliżu jądra aparat (układ) Golgiego. Jest on zbudowany z grup spłaszczonych cystern wraz z odpączkowującymi od nich pęcherzykami – lizosomy(biorą udział w rozkładzie produktów pokarmowych przenikających do komórek) i odpowiada głównie za modyfikację białek i procesy ich segregacji, transportu do innych organelli lub wydzielania na zewnątrz. Powierzchnię odpowiedzialną za syntezę nazywa się mianem cis, zaś tę odpowiadającą za dojrzewanie i sortowanie – trans.

Mitochondria

Schemat budowy mitochondrium

Mitochondria, organella odpowiedzialne za oddychanie komórkowe, zbudowane są z dwóch błon, zewnętrznej i wewnętrznej. Błona wewnętrzna jest silnie pofałdowana (wyróżnia się wpuklone części błony, tzw. grzebienie mitochondrialne), dzięki czemu zwiększona jest powierzchnia reakcji biochemicznych (zwłaszcza procesu utleniania końcowego, zwanego także nieformalnie łańcuchem oddechowym). Przestrzeń międzybłonową, często bardzo wąską, wypełnia cytoplazma, zwana tutaj macierzą mitochondrialną (matrix mitochondrialnym), w której także zachodzą reakcje oddychania komórkowego: reakcja pomostowa oraz cykl Krebsa (kwasów trikarboksylowych).

W macierzy mitochondrialnej znajdują się rybosomy (70S) oraz mtDNA, czyli DNA niezależny od jądrowego. Pozwala to na przyrost liczby mitochondriów w wyniku namnażania zbliżonego do podziałów u wolno żyjących Procaryota.

Mitochondria mają kształt kulisty lub wydłużony. W komórkach występują licznie, często jest ich kilkaset tysięcy sztuk. U kręgowców, liczność mitochondriów, jak i grzebieni mitochondrialnych regulowana jest hormonalnie poprzez hormony tarczycy: tyroksynę i trijodotyroninę.

Plastydy

W komórkach roślinnych znajdują się także niewystępujące u zwierząt plastydy. Jedne z nich, zwane chloroplastami, są miejscem, w którym zachodzi reakcja fotosyntezy polegająca na wytworzeniu cukrów ze związków nieorganicznych, z wykorzystaniem energii świetlnej.

Chloroplasty (ciałka zieleni) są otoczone dwiema błonami o różnej przepuszczalności, które otaczają stromę wypełniającą wnętrze chloroplastu. Błona zewnętrzna dobrze przepuszcza jony. Wewnętrzna błona jest natomiast słabo przepuszczalna i tworzy liczne woreczki (zwane tylakoidami), które ułożone jeden na drugim budują struktury zwane granami. W granach znajduje się chlorofil, aktywny barwnik, biorący udział w zależnej od światła fazie fotosyntezy[l].

Wnętrze chloroplastu wypełnia stroma. W jej skład wchodzą m.in. niewielkie ilości DNA, enzymy biorące udział w fotosyntezie oraz rybosomy (70S), które biorą udział w produkcji białek. Stroma tylakoidów jest miejscem, gdzie zachodzą reakcje produkcji glukozy (cykl M. Calvina, nazywany czasem fazą światłoniezależną[m]).

Rozmiary chloroplastów są dość zróżnicowane, najczęściej jest tak, że rośliny bardziej zaawansowana ewolucyjnie posiadają mniejsze chloroplasty. U roślin pasożytujących chloroplasty mogą nie występować w ogóle.

Podobnie jak mitochondria, chloroplasty mają zdolność samoreplikacji. Fakt ten jest uznawany za argument popierający teorię, że chloroplasty powstały w wyniku endosymbiozy sinic.

Jądro komórkowe

uwaga
uwaga
Uwaga: w opisie jądra komórkowego przedstawiono jądro w interfazie. Aby dowiedzieć się, jakie zmiany zachodzą w jądrze w czasie podziałów komórkowych, przeczytaj hasła mitoza i mejoza.
Schemat budowy jądra komórkowego
Postacie cysty (po lewej) i trofozoitu (po prawej) wiciowca G. lamblia zawierają więcej niż jedno jądro, cysta – 4, zaś trofozoit – 2. Widoczne są one na schemacie jako owalne struktury z ciemniejszymi owalami wewnątrz (jąderkami).

Jądro komórkowe gromadzi większość DNA komórki. Występuje zazwyczaj pojedynczo, choć znane są komórki pozbawione jądra, jak i komórki zawierające ich po kilka[n], jak np. komórki bielma, komórki tkanki mięśniowej typu sercowego, czy komórki niektórych jednokomórkowców (np. Giardia lamblia).

Jądro otoczone jest przez podwójną błonę (otoczkę) jądrową. Wewnątrz niej znajduje się chromatyna, jąderko oraz macierz zwana kariolimfą lub nukleoplazmą.

Otoczka jądrowa zbudowana jest z dwóch błon. Nie jest ona strukturą ciągłą – przerwy w otoczce zwane porami jądrowymi, umożliwiają m.in. transport syntezowanego w jądrze mRNA (matrycy w biosyntezie białek) do cytoplazmy, gdzie na rybosomach biosynteza ta ma miejsce. Transport ten regulują białka zlokalizowane na obrzeżach prześwitu poru, tworzące tak zwany kompleks porowy.

Błona zewnętrzna ponadto połączona jest z ER szorstkim i także na jej powierzchni zaobserwować można rybosomy.

Wewnątrz jądra komórkowego, w kariolimfie, znajduje się chromatyna i to ona stanowi główny magazyn informacji genetycznej. Zbudowana jest ona z nici DNA nawiniętych na oktamer histonowy[o] przy współudziale zespołu białek niehistonowych, co umożliwia efektywne „upakowanie” DNA w jądrze. W czasie podziałów komórkowych chromatyna ulega kondensacji w chromosomy.

Wyróżnia się chromatynę luźną – euchromatynę, która ulega transkrypcji (czyli jest genetycznie aktywna) oraz skondensowaną heterochromatynę, genetycznie nieaktywną. Skupiska heterochromatyny obserwuje się przy otoczce jądrowej, w regionach nieulegających transkrypcji oraz wokół jąderka.

W komórkach degenerujących może przybrać następującą postać[3]:

  • piknozy (pyknosis) – małe, zbite i bardzo silnie wybarwione, okrągłe lub owalne,
  • kariolizy (karyolysis) – uległo trawieniu, przez co przybiera postać „cienia” jądra,
  • karioreksis (karyorrhexis) – w przypadku pofragmentowania jądra.

Jąderko jest kulistą, często pojedynczą, strukturą wewnątrz jądra komórkowego nieotoczoną żadną błoną. Pod względem chemicznym zbudowane jest głównie z białek i, w mniejszym stopniu, z RNA i DNA. Odpowiada za wytwarzania rRNA oraz składanie rybosomów.

Jąderko po podziale powstaje poprzez kondensację części chromosomu (lub kilku chromosomów) zwanych obszarami jąderkotwórczymi (NOR-ami, z ang. nucleolar organizers). U człowieka są to krótsze ramiona chromosomów par 13, 14, 15, 21 i 22.

Centriole

W cytoplazmie komórki zwierzęcej, w pobliżu jądra komórkowego zlokalizowane są dwie centriole[p] – większa centriola matczyna i mniejsza centriola potomna – biorące udział w powstawaniu wrzeciona kariokinetycznego i tym samym w rozdziale materiału genetycznego w telofazie mitozy i mejozy. Centriole powstają w wyniku samoreplikacji w tym samym czasie, kiedy namnażane jest DNA (tzn. w fazie S).

Wodniczki

W komórkach, zwłaszcza roślinnych, występują wakuole[q] pełniące funkcję magazynu wielu substancji, zarówno organicznych (aminokwasy, białka, cukry, alkaloidy[r] itd.), jak i nieorganicznych (głównie wody). Utrzymują turgor komórki oraz mogą pełnić wiele innych funkcji, zależnie od ich składu. Biorą na przykład udział w regulacji pH cytoplazmy poprzez aktywny transport jonów H+ poprzez błonę wodniczki (tonoplast), a tym samym „włączają” i „wyłączają” szlaki metaboliczne, w których biorą udział enzymy wymagające określonego pH.

U drobnych organizmów zwierzętopodobnych (pierwotniaków) często występują wakuole wyspecjalizowane do regulacji osmotycznej (wodniczka tętniąca) oraz trawienia wchłoniętego pokarmu (wodniczka pokarmowa).

Wakuole powstają najczęściej z pęcherzyków aparatu Golgiego.

Połączenia między komórkami

Tworzenie połączeń między komórkami może mieć charakter stały lub chwilowy. Ten pierwszy występuje najczęściej u organizmów tkankowych, drugi zaś u prokariontów i protistów[s].

U Eucaryota połączenia komórek umożliwiają utrzymanie zwartości tkanki oraz komunikację międzykomórkową.

Komórki roślinne łączą się ze sobą głównie za pomocą plazmodesm, czyli kanału przechodzącego przez jamki ściany komórkowej, pośrodku którego przebiega zmodyfikowane pasmo siateczki śródplazmatycznej (desmotubula), przez które mogą przenikać między komórkami substancje o stosunkowo niedużej masie cząsteczkowej[t].

U zwierząt zaś, sposoby takich połączeń są różne. Największe znaczenie mają połączenia zamykające i zwierające. Te drugie występują powszechnie w tkankach narażonych na urazy mechaniczne, takich jak mięsień sercowy, czy nabłonek pochwy; te pierwsze w pozostałych.

Miejsca połączenia komórek, tzw. desmosomy, zbudowane są z wystających do przestrzeni międzykomórkowej włókien białkowych oraz płytek adhezyjnych[u] zlokalizowanych we wnętrzu komórki, w pobliżu jej błony. W płytkach adhezyjnych zagnieżdżone są natomiast filamenty pośrednie, które stabilizują całość. Samo złączenie się desmosomu jednej komórki z desmosomem drugiej jest oparte na zasadzie zamka błyskawicznego (tzn. wielu białkowych „zatrzasków”). Oprócz tego można wyróżnić tzw. hemidesmosomy znajdujące się na powierzchni komórek nabłonka i łącząc je z blaszką podstawną.

Połączenie typu nexus umożliwiają wymianę metaboliczną między komórkami. W wymianie tej biorą udział substancje rozpuszczalne w wodzie o niewielkiej masie cząsteczkowej oraz jony nieorganiczne przy współudziale białka koneksyny. Połączenia tego typu występują m.in. w tkance nerwowej, czy nabłonkowej. Regulacja transportu związków przez połączenie typu nexus jest możliwa dzięki zmianom konformacyjnym białek strukturalnych wchodzących w skład tego kompleksu. Białka te w zależności od przyjętej konformacji mogą otwierać bądź zwierać kanały transportowe. Pojedynczy kanał transportowy składa się z sześciu cząsteczek koneksyny tworzących kanał transbłonowy i określany jest mianem koneksonu.

Transport międzykomórkowy odbywa się także na zasadzie przenikania cząstek z jednej komórki do przestrzeni międzykomórkowej, skąd są one pobierane przez komórki sąsiednie. Podobnie jak u roślin, substancje te mogą regulować procesy zachodzące w pewnym obszarze – dzieje się tak w przypadku hormonów miejscowych (takich jak gastryna).

Procesy wewnątrzkomórkowe

Utrzymywanie stałego składu środowiska wewnętrznego, pobieranie i wydalanie substancji

Typy endocytozy

Komórki wymieniają ze środowiskiem związki chemiczne – pobierają składniki pokarmowe, a usuwają produkty metabolizmu.

Przez błony komórkowe przenikają swobodnie, zgodnie z gradientem stężeń tylko substancje o niewielkiej masie cząsteczkowej, jak woda, czy tlen oraz te rozpuszczalne w hydrofobowej plazmolemmie, jak steroidy, czy alkohole. Wchłanianie pozostałych związane jest z wyspecjalizowanymi mechanizmami – kanałami błonowymi i poprzez endocytozę.

Wpływ presji osmotycznej na krwinkę czerwoną
Mechanizm osmozy w komórkach roślinnych

Wzrost i metabolizm

W każdej komórce odbywają się złożone procesy, podczas których komórka pobiera pewne substancje ze swego otoczenia (odżywianie) i z kolei wydala niektóre produkty chemicznej przemiany materii. Każda komórka ma określoną funkcję w gospodarce ustroju jako całości (np. w przypadku komórki ludzkiej, komórki wątroby magazynują białka i cukry jako materiały zapasowe, i wydzielają żółć niezbędną do trawienia oraz wytwarzają enzymy).

Pomiędzy kolejnymi podziałami komórkowymi, procesy metaboliczne, które toczą się w komórce, stymulują jej wzrost. Metabolizm komórki to zespół procesów, którym podlegają składniki odżywcze. Procesy metaboliczne należą do: katabolizmu, w którym złożone organiczne związki chemiczne ulegają rozłożeniu, w celu wytwarzania energii lub anabolizmu, w którym zużywana jest energia przy tworzeniu złożonych związków organicznych i wypełniania innych funkcji komórkowych.

Połączenie reakcji dostarczających energii (np. utleniania glukozy) oraz ją zużywających (np. syntezy tłuszczowców) możliwe jest dzięki związkom wysokoenergetycznym. Najważniejszym z nich jest adenozynotrifosforan (ATP), który posiada dwa wiązania makroergiczne między grupami fosforowymi, których rozerwanie powoduje stopniowe wydzielenie stosunkowo dużej ilości energii z dużą wydajnością.

W większości reakcji przebiegających w żywych komórkach biorą udział enzymy, białkowe biokatalizatory. Reakcje te pozwalają na przemianę poszczególnych związków w inne, bardziej lub mniej złożone. Na różnych drogach możliwa jest synteza poszczególnych aminokwasów, witamin, przemiana glukozy w tłuszcze itd., ale tylko u organizmów posiadających odpowiednie enzymy. I tak na przykład koty nie syntezują tauryny z L-cysteiny, naczelne nie syntezują witaminy C z powodu braku oksydazy L-gulonolaktonowej, bakterie wrażliwe na penicylinę nie syntezują β-laktamazy, cykl mocznikowy u kręgowców zachodzi w całości wyłącznie w wątrobie, a ludzie cierpiący na fenyloketonurię chorują z powodu braku hydroksylazy fenyloalaninowej (PAH). Poniższy schemat przedstawia najważniejsze przemiany w organizmach żywych.

Wzrastanie komórki następuje wówczas, gdy przemiany prowadzące do pomnażania ilości masy protoplazmy przeważają nad przemianami, prowadzącymi do wydalania, Stan równowagi w komórce, przerywa zwykle zjawisko jej podziału.

Podziały komórkowe

Wzrost i rozwój organizmów wielokomórkowych na przestrzeni 2 pokoleń – schemat.

Rozmnażanie się komórki odbywa się przez jej podział, który może przebiegać dwoma sposobami:

  • bezpośrednim
  • pośrednim

Podział bezpośredni (amitoza, mejoza) polega na przewężeniu i rozdzieleniu się protoplazmy komórki, a jednocześnie i jądra, w wyniku czego powstają dwie komórki potomne, osiągające wkrótce swą normalną wielkość. W ustroju ludzkim ten podział występuje rzadko, zarezerwowany jest w szczególności na inne typy komórek.

Podział pośredni (mitoza) jest procesem bardzo złożonym. Występująca w kształcie ziarenek chromatyna jądra przybiera postać „kłębka nici”, a następnie dzieli się na pewną określoną liczbę odcinków zwanych chromosomami. Liczba ta jest stała dla danego gatunku zwierzęcego (np. jądro komórki ludzkiej zawiera 46 chromosomów). Jednocześnie ciałko środkowe – centrosom rozpada się na dwie części przesuwające się przeciwstawnie do obu biegunów komórki. Pomiędzy obu powstałymi tak centrosomami wytwarza się na osi komórki wrzeciono podziałowe składające się z włókien protoplazmatycznych, a dookoła niego ustawiają się w postaci gwiazdy w płaszczyźnie równika chromosomy. W następnym etapie każdy chromosom dzieli się podłużnie na dwa potomne chromosomy, z których jeden przez kurczące się włókienka wrzeciona zostaje przyciągnięty do jednego bieguna komórki, a drugi do przeciwległego mu. Tu chromosomy łączą się w kłębki chromatydowe i powstają w ten sposób dwa jądra potomne. Jednocześnie komórka przewęża się w płaszczyźnie równikowej i dzieli się na dwie komórki potomne, z których każda otrzymuje taką samą liczbę chromosomów, jaką miała komórka macierzysta.

Cykl życiowy komórki

Sygnalizacja

Komórki jednego organizmu komunikują się ze sobą, dzięki czemu regulują swoje funkcje oraz koordynują działania. Komunikacja może być zainicjowana zarówno przez sygnały wewnątrzkomórkowe, jak i zewnątrzkomórkowe. O sygnalizacji komórkowej można też mówić w przypadku wzajemnego wpływania na siebie organizmów jednokomórkowych, na przykład w kolonii bakterii.

Śmierć komórki

Schemat przebiegu apoptozy komórki zwierzęcej.
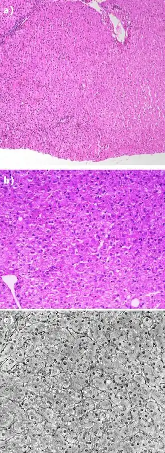
Martwica centralnozrazikowa wątroby człowieka w preparacie barwionym hematoksyliną i eozyną – w środku zdjęcia widać uszkodzone komórki, utratę prawidłowej struktury tkanki oraz krwinkotoki i skąpe nacieki zapalne w otoczeniu pól martwicy.

Śmierć komórek jest konsekwencją zarazem rozwoju organizmu wielokomórkowego, jak i działania na nie niekorzystnych czynników. Jest zjawiskiem naturalnym i nie oznacza choroby, jeśli nie dotyczy większej liczby komórek.

Śmierć może nastąpić gwałtownie np. w wyniku działania wysokich temperatur, homogenizacji, działania niektórych substancji w odpowiednich stężeniach etc. Część z tych metod używana jest przy procesie sterylizacji, czyli zabijania bakterii i ich form przetrwalnikowych. Komórka może zostać także uśmiercona w wyniku zadziałania wewnętrznego programu autolizy – mówi się wtedy o programowej śmierci komórki (ang. programmed cell death, PCD).

Programowana śmierć komórki może zostać zainicjowana czynnikami wewnętrznymi (najczęściej genetycznymi, choć także hormonalnymi[v]) lub zewnętrznymi (takimi jak promieniowanie jonizujące, temperatura, głodzenie itd.).

Śmierć indukowana wewnątrzpochodnie nosi nazwę apoptozy, zaś zewnątrzpochodnie – martwicy (nekrozy, łac. necrosis).

Praktycznie, procesy te najczęściej ciężko rozróżnić, niemniej w przypadku apoptozy u zwierząt powstają pęcherzyki (ciałka) apoptyczne w przeciwieństwie do martwicy. Pęcherzyki te jednak rzadko udaje się wykryć w badaniu mikroskopowym, ponieważ są pochłaniane przez sąsiednie komórki lub mieszają się z płynem tkankowym. Nekroza, ale nie apoptoza, jest związana z mobilizacją sąsiednich komórek i mechanizmów ogólnoustrojowych do usunięcia jej następstw, co nazywane jest reakcją zapalną (zapaleniem).

Mechanizm PCD służy eliminacji niechcianych komórek – to jest komórek niespełniających już swojej funkcji, komórek zakażonych, nowotworowych itd. oraz – czasem – komórek narządów nieużywanych, tak jak w przypadku grasicy kręgowców po okresie dojrzewania, czy macicy tychże po porodzie[w]. Uśmiercanie występuje także jako następstwo stanów zaburzonego funkcjonowania całego ustroju, a nie tylko pojedynczych komórek, czy fragmentów tkanek (np. w długotrwałej suszy u roślin, głodzenia u zwierząt, nowotworów, unieruchomienia, starości). U roślin PCD jest ponadto procesem powstawania niektórych tkanek takich jak drewno, czy twardzica (to jest tkanek martwych).

Po zainicjowaniu PCD uwalniane są do cytoplazmy enzymy z klasy hydrolaz – takie jak kaspazy – rozkładające organelle komórkowe. Z tego względu zatrzymanie zainicjowanego procesu apoptozy lub nekrozy jest niemożliwe[x]. Procesy śmierci komórek przebiegają podobnie, ale nie identycznie u roślin i u zwierząt.

U roślin PCD może przebiegać bardzo powolnie – dzieje się tak np. gdy drzewa liściaste zrzucają jesienią liście: indukcja procesu śmierci komórek następuje dużo wcześniej, niż spadną one z drzewa, po to, aby odzyskać część magazynowanych w nich substancji.

Z komórek, które zatraciły możliwość uruchamiania mechanizmu apoptozy, powstają nowotwory.

Badanie komórek

Rysunek z książki R. Hooke’a „Micrographia” (1664) przedstawiający komórkową strukturę korka.

Historia

Cele i metody

Kariotyp mężczyzny z zespołem Downa (trisomii 21 – strzałka)
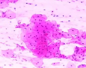
Preparat cytologiczny wymazu z szyjki macicy (barwienie hematoksyliną i eozyną).

Badaniem komórek, zarazem jej struktury, jak i procesów wewnętrznych, zajmuje się cytologia, nazywana często – z racji na jej liczne powiązania z innymi naukami biologicznymi, medycznymi i biochemicznymi – biologią komórki.

Badania komórek pozwalają nie tylko na ich dokładniejsze poznanie, ale także znalazły zastosowanie w szeroko rozumianej diagnostyce medycznej i weterynaryjnej. Kliniczne dyscypliny zainteresowane badaniami „wnętrza” komórek to np. biochemia, czy cytogenetyka.

Do podstawowych technik cytologicznych należy mikroskopia i analiza biochemiczna poszczególnych frakcji komórkowych.

Często w celu uzyskania odpowiednich informacji stosuje się złożone metody. Na przykład aby przeprowadzić diagnostykę w kierunku zespołu Downa, należy namnożyć (najczęściej) limfocyty w warunkach laboratoryjnych, które następnie zmusza się do podziałów mitotycznych fitohemaglutyniną w obecności substancji uniemożliwiających powstanie wrzeciona kariokinetycznego[y] (czyli zatrzymujących podział w metafazie), aby ostatecznie preparat wybarwić i przeprowadzić jego obserwację mikroskopową. Aby uzyskać czytelny schemat budowy i liczności chromosomów, preparatowi takiemu robi się zdjęcie kamerą mikroskopową, które dalej obrabia się (wycina i grupuje chromosomy) w programie graficznym.

Najczęstszym materiałem do badań cytologicznych są limfocyty krwi obwodowej, z racji na łatwość ich pobierania. Przy pomocy wymazówki w łatwy i bezpieczny sposób można pobierać złuszczone komórki nabłonka np. jamy ustnej.

Możliwe jest także pozyskanie komórek z powierzchni narządów, np. wątroby, w czasie operacji poprzez przyłożenie do ich powierzchni szkiełka podstawowego (w wyniku takiego zabiegu pewna część komórek przyklei się do szkiełka).
Podobnie pobiera się komórki do przesiewowych badań cytologicznych w kierunku raka szyjki macicy: np. pocierając szpatułką nabłonek tarczy szyjki macicy powodując jego złuszczenie, a następnie przenosząc tak pobrany materiał na szkiełko przedmiotowe, które trafi do laboratorium.

Także biopsja aspiracyjna cienkoigłowa, aspirująca pojedyncze komórki z narządu przy użyciu standardowej igły iniekcyjnej, pozwala pozyskać materiał do badania cytologicznego.

Mikroskopia

Ziarna pyłku, czyli męskie elementy rozrodcze roślin nasiennych, słonecznika, wilca purpurowego, malwy, lilii złocistej, pierwiosnka bezłodygowego oraz rącznika pospolitego widziane pod 500x powiększeniem, obraz uzyskany w skaningowym mikroskopie elektronowym.
Błona komórkowa drożdży zwizualizowana w mikroskopii fluorescencyjnej poprzez pewne białka błonowe wyposażone w markery fluorescencyjne świecące na zielono (GFP) i czerwono (RFP). Nałożenie tych dwóch barw daje na obrazie kolor żółty
Komórki tkanki wątroby człowieka wybarwione: a) hematoksyliną i eozyną, b) w reakcji PAS, c) solami srebra

Wykorzystując mikroskopy, możliwe jest obserwowanie komórek w znacznym powiększeniu. W naukach biomedycznych stosuje się najczęściej mikroskopy świetlne oraz elektronowe: transmisyjne (TEM) i skaningowe (SEM). W pierwszych obraz uzyskuje się dzięki wiązce światła przechodzącej przez preparat, zaś w drugim dzięki wiązce elektronów przechodzącej – TEM, lub odbijanej od preparatu – SEM.

W mikroskopii optycznej najczęściej stosuje się wybarwianie preparatów, aby ułatwić ich rozróżnienie z otoczeniem lub by uwidocznić właściwości struktur komórkowych. Prostym przykładem metody barwienia może być negatywowe barwienie bakterii sianowych tuszem, w wyniku czego uzyskuje się obraz jasnych komórek na ciemnym tle. W badaniach bakteriologicznych popularniejsze są metody barwienia pozytywowego, najczęściej metodą Grama. Inne zestawiono w tabeli.

Wyniki barwienia metodą Grama
Bacillus cereus zabarwione na kolor ciemnofioletowy, Gram-dodatnie Pseudomonas aeruginosa zabarwione na kolor czerwony, Gram-ujemne
Bacillus cereus Pseudomonas aeruginosa
Gram-dodatnie Gram-ujemne
Najważniejsze metody barwienia w diagnostyce laboratoryjnej
zakażeń i zarażeń człowieka (poza techniką Grama)
Nazwa metody Wykrywany patogen[z]
Alberta maczugowiec błonicy
Giemsy zarodźce, nitkowce Filaria spp.
Neissera maczugowiec błonicy
Trujillo bakterie sporujące
Ziehla-Neelsena prątki

W przypadku komórek i tkanek organizmów eukariotycznych także najczęściej stosuje się barwienie, głównie jednoczesne barwienie niebieską hematoksyliną barwiącą kwasowe struktury komórek (jądro, rybosomy itd.) i czerwoną eozyną wybarwiającą struktury bazofilowe, jak cytoplazma, czy włókna kolagenowe. W celu uwidocznienia położenie lub ilościowego oznaczania różnych związków chemicznych[aa] stosuje się reakcje lub procesy zestawione w tabeli:

Najważniejsze metody uwidaczniania wybranych grup związków chemicznych stosowane w badaniach komórek
Rodzaj związków Proces lub reakcja uwidaczniania
enzymy różne reakcje zależne od enzymu
kwasy nukleionowe DNAreakcja Feulgena, RNA – reakcja Bracheta
lignina
(tylko u roślin!)
reakcja z floroglucyną
tłuszcze dyfuzja barwników słabo lub nierozpuszczalnych w wodzie, takich jak czerń sudanowa, Sudan IV
wielocukry reakcja PAS

W medycznej diagnostyce laboratoryjnej rzadko, poza badaniami krwi, bada się odizolowane od siebie komórki. Oceny „zwartych” tkanek dokonuje najczęściej histopatolog, wykorzystując przy tym metody ich preparowania zwane techniką histologiczną.

Mikroskopia elektronowa pozwala na znacznie większe powiększenia niż mikroskopia optyczna. Dodatkowo w przypadku korzystania z TEM możliwe jest oglądanie struktur wewnętrznych komórek, ze względu na przenikanie przez nie elektronów. Mikroskopia elektronowa daje jednak jedynie obrazy czarno-białe (elektronogramy), więc preparatów nie wybarwia się. W celu poprawy widoczności preparatu często się go kontrastuje, pokrywając np. tetratlenkiem osmu lub cytrynianem ołowiu.

Rzadziej stosuje się mikroskopię fluorescencyjną, gdzie – najczęściej – dołącza się[ab] do elementów obserwowanej próbki fluorofory, czyli substancje, które fluoryzują po wzbudzeniu światłem o określonej długości. Podobnie działa cytometria przepływowa pozwalająca na niemalże automatycznie analizowanie zawiesiny komórek w odniesieniu do modelu wprowadzonego do komputera. Cytometria przepływowa jest wygodną metodą analiz krwi.

Rozdzielanie organelli komórkowych

Uzyskanie frakcji organelli z zawiesiny komórek możliwe jest przy użyciu wirowania frakcjonującego. Procedura ta wymaga, aby komórki w zawiesinie zostały pozbawione błony i ściany komórkowej, jeśli ją posiadają. Dokonuje się tego najczęściej w homogenizatorach, tj. urządzeniach, które wymuszają rozbełtanie komórek w rozpuszczalniku. W celu rozbicia ściany komórkowej i błony (w komórkach z błoną) można zastosować także ultradźwięki w procesie sonikacji, lub wysokie ciśnienie.

Aby uniknąć zniszczenia struktur komórkowych, powyższą procedurę prowadzi się w temperaturze kilku stopni powyżej 0 °C, pH 7,4 i w obecności inhibitorów enzymów rozkładających białka[ac]. Następnie przeprowadza się wirowanie, w którego wyniku dzięki sile odśrodkowej wytwarzanej w wirówce można wyróżnić poszczególne frakcje. Najczęściej stosuje się najpierw wirowanie z różną prędkością, a później wewnątrz frakcji wirowanie w gradiencie stężenia (sacharozy, chlorku cezu lub niektórych innych soli). Pierwsze z nich wykorzystuje różnicę w masie organelli, a drugie gęstości.

Frakcje w wirowaniu różnicowym
i parametry ich uzyskania

(według Hames i in., 2000)
Osad Przyspieszenie
×10³g
Czas
[min]
frakcja najcięższa
jądra komórkowe 0,6 3
plastydy, lizosomy 6 8
plazmolemma, aparat
Golgiego, ER
40 30
podjednostki rybosomów 100 90
frakcja najlżejsza

Wirowanie frakcjonujące z różną prędkością (wirowanie różnicowe) (patrz tabela) pozwala oddzielać poszczególne frakcje w postaci osadu. Wirowanie to wykonuje się każdorazowo zlewając supernatant (roztwór znad osadu) i wirując powtórnie, aż do uzyskania oczekiwanej frakcji. Cytozol można otrzymać wirując aż do uzyskania najlżejszej frakcji w postaci osadu – w wyniku tego zabiegu supernatant będzie stanowiła tylko cytoplazma.

Organelle można rozdzielać także, jak napisano powyżej, prowadząc wirowanie w gradiencie stężeń. Gradient ten w czasie wirowania ze stałą szybkością ustala się w taki sposób, że stężenie soli (lub cukru) przy wpuście probówki jest najmniejsze, a przy dnie największe. W wyniku wirowania struktury komórkowe opadają do momentu, gdy gęstość soli (lub cukru) zrówna się z ich gęstością.

Pozostałe metody

Pozostałe techniki, które znajdują zastosowanie przy badaniu komórek to:

Uwagi

  1. Masa, stężenie, stosunek.
  2. Glicyna nie posiada centrum chiralności, występuje więc tylko w jednej formie.
  3. Otoczka bakteryjna jest więc głównym czynnikiem warunkującym wirulencję.
  4. Zwiększa to stabilność błony w wysokiej temperaturze – jest to ewolucyjne przystosowanie występujące u hipertermofilnych archeonów.
  5. Istnieje niewielka liczba prokariontów, np. krętek Borrelia burgdorferi wywołujący boreliozę, mających liniowy DNA genoforu.
  6. Rybosomy prokariontów i eukariontów zbudowane są jednak z różnych rodzajów rRNA: te pierwsze z 23S, 16S i 5S, zaś drugie z 28S, 18S, 5,8S i 5S.
  7. Tj. małej podjednostki i inicjującego f-Met-tRNA (tRNA „niosącego” metioninę, w której do grupy aminowej -NH2 została dołączona grupa -CHO blokując tym samym przyłączanie innych aminokwasów od strony grupy aminowej).
  8. Cholesterol zwiększa sztywność błon biologicznych.
  9. Zespoły takich podobieństw i niepodobieństw antygenowych nazywane są układami zgodności tkankowej.
  10. Co jest istotne dla pracy tkanki mięśniowej i nerwowej, ponieważ w mięśniach i w niektórych synapsach chemicznych kationy te są podstawą przewodzenia impulsu elektrycznego.
  11. Stąd ER gładkie występuje licznie w komórkach wątroby. Rozkład substancji szkodliwych możliwy jest dzięki szeregowi enzymów, głównie tych wchodzących w skład cytochromu P450 (cytochrom nie jest substrukturą komórkową, a jedynie umowną grupą białek enzymatycznych).
  12. Tzw. fazie jasnej.
  13. Lub fazą ciemną fotosyntezy.
  14. Komórki wielojądrowe mogą powstawać w wyniku kilku następujących po sobie podziałów bez cytokinezy (bez rozdziału cytoplazmy i „przydzieleniu” po jednym jądrze do jednej komórki) – zwane są wtedy cenocytami – lub w wyniku łączenia się ze sobą, zespalania kilku czy nawet kilkuset komórek jednojądrowych – zwane są wtedy syncytiami (zespólniami).
  15. W niektórych komórkach, m.in. w ludzkim plemniku, DNA jest nawijany na inne białka: tworzy struktury załamanych helis, które połączone są ze sobą (stabilizowane) przez protaminy, co pozwala na jeszcze większe zagęszczenie chromatyny.
  16. Para centrioli nazywana jest diplosomem.
  17. W niektórych źródłach pojęcie „wakuola” traktuje się, jako szersze od terminu „wodniczka”. Tutaj przyjęto jednak, że są to pojęcia tożsame.
  18. Alkaloidy (np. atropina) pełnią funkcje ochronne zarazem przed roślinożercami, jak i przed drobnoustrojami.
  19. Zarówno u bakterii, jak i niektórych protistów zachodzi proces koniugacji, w którym między dwiema komórkami powstaje połączenie w postaci mostka koniugacyjnego.
  20. W tym także substancje regulatorowe – zobacz także hasło symplast.
  21. Zbudowanych także głównie z białek.
  22. Apoptoza regulowana jest hormonalnie np. w trakcje fizjologicznego pomniejszania się macicy po porodzie.
  23. Oba przykłady traktują o procesie zaniku.
  24. Efekt domina.
  25. Najczęściej stosowana jest kolchicyna, rzadziej winkrystyna, czy winblastyna.
  26. Dana metoda barwienia ułatwia wykrycie zarazka ukazując jego charakterystyczne cechy, jednak ostateczna interpretacja oglądanego obrazu należy do diagnosty.
  27. Jest to tak zwane badanie cytochemiczne.
  28. Kowalencyjnie lub poprzez jakikolwiek inny typ oddziaływań fizykochemicznych między substancjami.
  29. Roztwór w którym wykonuje się homogenizację musi spełniać także inne warunki – dokładne informacje znajdują się haśle roztwór STKM.

Przypisy

  1. Wojciech Sawicki: Histologia. Warszawa: Wydawnictwo Lekarskie PZWL, 2008. ISBN 978-83-200-3710-4.
  2. U człowieka odkryto D-serynę i D-asparaginian (Murray i in., 2004).
  3. Wojciech Sawicki, Jacek Malejczyk, Histologia, Warszawa: Wydawnictwo Lekarskie PZWL, 2012, s. 81, ISBN 978-83-200-4349-5, OCLC 833924570.

Bibliografia

Pozycje drukowane

  • Jolanta Godlewska-Jędrzejczyk, Stanisław Moskalewski (red.), 2006, Podstawy histologii i wybranych technik laboratoryjnych, s. 178–197, ISBN 83-89517-96-5.
  • D. Hames, N.M. Hooper, J.D. Houghton, 2000, Biochemia, s. 16–19, ISBN 83-01-12951-4.
  • Zygmunt Hejnowicz, 2002, Anatomia i histogeneza roślin naczyniowych. Organy wegetatywne, s. 6–37, ISBN 83-01-13825-4.
  • Stefan Kruś, 2003, Patologia. Podręcznik dla licencjackich studiów medycznych, s. 62–64, 76–80, ISBN 83-200-2618-0.
  • Władysław Kunicki-Goldfinger, 1982, Życie bakterii, s. 90–121, 577–583, ISBN 83-01-02730-4.
  • Robert K. Murray, Daryl K. Granner, Peter A. Mayes, Victor W. Rodwell, 2004, Biochemia Harpera, ISBN 83-200-2898-1.
  • Abigail S. Salyers, Dixie D. Whitt, 2003, Mikrobiologia. Różnorodność, chorobotwórczość i środowisko, s. 55–65, ISBN 83-01-14057-7.
  • Wojciech Sawicki, 2000, Histologia, s. 17–85, ISBN 83-200-2466-8.
  • Eldra P. Solomon, Linda R. Berg, Diana W. Martin, Claude A. Villee, 2000, Biologia, s. 74–88, ISBN 83-7073-090-6.
  • Lubert Stryer, Biochemia, Jacek Augustyniak (tłum.), Halina Augustyniak (tłum.), Jan Michejda (tłum.), Warszawa: Wydawnictwo Naukowe PWN, 1997, ISBN 83-01-12044-4, OCLC 749292209.

Internet