Chloroplast

Chloroplast (ze starogreckiego: χλωρός (chlōrós) + πλαστός (plastós)[1][2] – ciałko zieleni) – otoczone dwoma błonami białkowo-lipidowymi organellum komórkowe występujące u roślin i glonów eukariotycznych. Są rodzajem plastydów. Zawierają zielone barwniki chlorofile pochłaniające energię światła słonecznego potrzebną do fotosyntezy. W nich zachodzi przemiana dwutlenku węgla oraz wody z wykorzystaniem energii świetlnej w glukozę oraz tlen.
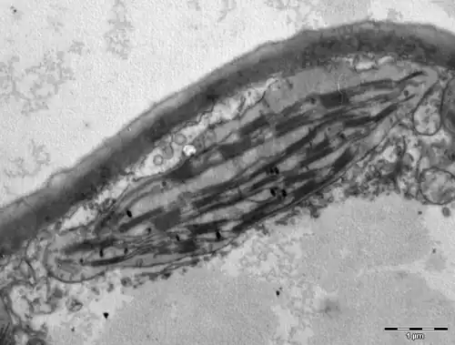
Budowa

Chloroplasty są otoczone dwiema błonami o różnej przepuszczalności, otaczającymi stromę wypełniającą wnętrze chloroplastu. Błona zewnętrzna dobrze przepuszcza jony. Wewnętrzna błona jest natomiast słabo przepuszczalna i tworzy liczne woreczki (zwane tylakoidami). W chloroplastach granalnych ułożone są one w płaskie stosy zwane tylakoidami gran. U chloroplastów bezgranalnych natomiast występują jedynie lamelle – tylakoidy stromy, czyli tylakoidy rozciągnięte wzdłuż całego chloroplastu (w komórkach pochew okołowiązkowych niektórych roślin przeprowadzających fotosyntezę C4[3] i glonów).
Wnętrze chloroplastu wypełnia białkowa substancja – stroma – koloid białkowy. W jej skład wchodzą m.in. niewielkie ilości DNA, enzymy biorące udział w fotosyntezie oraz rybosomy typu prokariotycznego (tzw. rybosomy małe, o stałej sedymentacji 70s), które biorą udział w produkcji białek, są one jednak mniejsze od rybosomów eukariotycznych o stałej sedymentacji 80s, znajdujących się w cytoplazmie.
Pochodzenie
Chloroplasty zaliczamy do organelli samoreplikujących się. Obecność chloroplastowego DNA oraz zdolność do samoreplikacji uważane są przez wielu naukowców za dowody na endosymbiotyczne pochodzenie tych organelli od innych organizmów, które zostały pochłonięte przez komórkę, lecz zamiast ulec strawieniu, przekształciły się w symbionty.
Chloroplasty powstają z proplastydów. Pierwszy etap to zmiana kształtu proplastydu z kulistego na ameboidalny oraz zmiany w stromie. Powstaje tzw. plastyd ameboidalny, ze słabo rozwiniętym systemem błon. Kolejny etap cechuje się stopniowym zwiększaniem komplikacji budowy wewnętrznej. Pęcherzyki powstające poprzez wpuklanie się do środka wewnętrznej błony ustawiają się parami i łączą ze sobą, tworząc pęcherzyki pierwotnych tylakoidów. Powstaje tzw. plastyd przedgranowy. Poprzez wbudowywanie białek, tłuszczów i barwników – chlorofili i karotenów – zaczynają się kształtować błony tylakoidów. Następuje dalsza komplikacja budowy wewnętrznej, łączenie się tylakoidów w grana i w efekcie utworzenie dojrzałego, funkcjonującego chloroplastu[4].
Przykłady prawdopodobnie wtórnej endosymbiozy wzbogacającej gospodarza w fotosyntetyczne możliwości występują u niektórych roślinopodobnych protistów (Stramenopile, Cercozoa), gdzie chloroplast otaczają 4 błony, i (Euglenozoa, Dinoflagellata), gdzie są 3 błony. Dla wytłumaczenia tej odmienności przyjmuje się, że w tych przypadkach cała eukariotyczna komórka, dysponująca możliwością fotosyntezy (np. komórka organizmu spokrewnionego z dzisiejszymi krasnorostami lub zielenicami), została endosybiotycznie przejęta przez organizm gospodarza. Przemawiają za tym podobieństwa molekularne, istnienie w niektórych takich chloroplastach szczątkowych eukariotycznych jąder komórkowych (nukleomorfów) i in.[5]
Genom chloroplastowy i synteza białek
W chloroplaście występuje około 200-300 cząsteczek DNA. Są to identyczne kopie tworzące grupy po 5-20 cząsteczek najczęściej połączonych z wewnętrzną błony osłonki lub błoną tylakoidów. Genom chloroplastowy składa się z około 120-160 tysięcy par zasad i zawiera geny części białek chloroplastowych, pełny zestaw tRNA oraz geny rRNA wchodzącego w skład chloroplastowych rybosomów 70S. Białka kodowane w genomie chloroplastowym to tylko niewielka część białek obecnych w chloroplastach. Ilość białek zakodowanym w chloroplastowym DNA oszacowano na 120. Pozostałe białka obecne w chloroplaście kodowane są przez genom jądrowy i transportowane do organellum. Kluczowa dla funkcjonowania chloroplastów karboksylaza RuBP zawiera podjednostki kodowane przez genom chloroplastowy i podjednostki kodowane przez genom jądrowy.
Aparat syntezy białek obecny w chloroplastach działa podobnie jak układ biosyntezy białka w cytoplazmie. Najważniejsze różnice to odmienna wielkość rybosomów oraz zastosowanie jako aminokwasu inicjującego biosyntezę N-formylometioniny w miejsce metioniny. Większość białek chloroplastowych kodowane jest przez genom jądrowy i wytwarzana na rybosomach cytoplazmy. Ich przeniesienie przez otoczkę chloroplastu jest możliwe dzięki obecności na N-końcu sekwencji aminokwasów określanych jako peptyd tranzytowy. Peptyd ten łączy się z odpowiednim receptorem obecnym w błonach chloroplastu. Białko przenoszone jest przez błonę z nakładem energii przy współudziale białek opiekuńczych, które rozwijają łańcuch przenoszonego białka, wykorzystując energię w postaci ATP. Rozwinięcie łańcucha prowadzi do ekspozycji reszt hydrofobowych aminokwasów i przejście przez błonę białkowo-lipidową. Wewnątrz chloroplastu następuje przekazanie łańcucha białka kolejnym białkom opiekuńczym i odcięcie peptydu tranzytowego[6].
Przypisy
- ↑ -plast at Dictionary.com
- ↑ Online Etymology Dictionary – chloroplast
- ↑ A. Faludi-Dániel, S. Demeter, AS. Garay. Circular dichroism spectra of granal and agranal chloroplasts of maize.. „Plant Physiol”. 52 (1), s. 54-6, Jul 1973. PMID: 16658498.
- ↑ Przemysław Wojtaszek, Adam Woźny, Lech Ratajczak (red.): Biologia komórki roślinnej. Tom 1. Struktura. Warszawa: Wydawnictwo Naukowe PWN, 2008. ISBN 978-83-01-14838-6.
- ↑ GI. McFadden, PR. Gilson, CJ. Hofmann, GJ. Adcock i inni. Evidence that an amoeba acquired a chloroplast by retaining part of an engulfed eukaryotic alga.. „Proc Natl Acad Sci U S A”. 91 (9), s. 3690-4, Apr 1994. PMID: 8170970.
- ↑ Jan Kopcewicz, Stanisław Lewak, Halina Gabryś: Fizjologia roślin. Warszawa: Wydawnictwo Naukowe PWN, 2002, s. 232-234. ISBN 83-01-13753-3.