Błękit toluidynowy
| |||||||||||||||||
| |||||||||||||||||
| Ogólne informacje | |||||||||||||||||
| Wzór sumaryczny |
C15H16ClN3S | ||||||||||||||||
|---|---|---|---|---|---|---|---|---|---|---|---|---|---|---|---|---|---|
| Inne wzory |
[C | ||||||||||||||||
| Masa molowa |
305,82 g/mol | ||||||||||||||||
| Wygląd |
zielony proszek o brązowym połysku[2] | ||||||||||||||||
| Identyfikacja | |||||||||||||||||
| Numer CAS | |||||||||||||||||
| PubChem | |||||||||||||||||
| |||||||||||||||||
| |||||||||||||||||
| |||||||||||||||||
| Podobne związki | |||||||||||||||||
| Podobne związki | |||||||||||||||||
| Jeżeli nie podano inaczej, dane dotyczą stanu standardowego (25 °C, 1000 hPa) | |||||||||||||||||
| |||||||||||||||||
| |||||||||||||||||
Błękit toluidynowy – organiczny związek chemiczny, pochodna 1,4-tiazyny, barwnik tiazynowy o charakterze soli. W temperaturze pokojowej jest to zielony proszek o brązowym połysku[2].
Zastosowanie
Znajduje zastosowanie jako barwnik w biologii, zwłaszcza jako barwnik histologiczny. Jest barwnikiem polichromatycznym, tzn. barwi ortochromatycznie w tej samej lub zbliżonej barwie niektóre struktury, a inne – metachromatycznie w barwie wyraźnie odmiennej (np. składniki cytoplazmy komórek tucznych dają się wybarwiać błękitem toluidynowym metachromatycznie na czerwono-purpurowo, gdy tło barwi się na niebiesko). Niebieski roztwór błękitu toluidynowego stosuje się w badaniach na obecność ligniny, która wiąże się z włóknami celulozowymi i wzmacnia oraz utwardza ściany komórkowe w roślinach – wynik jest pozytywny przy zmianie zabarwienia z niebieskiego na różowy. Błękit toluidynowy uwidacznia struktury komórkowe przy barwieniu osadu moczu oraz mastocytów w wycinkach skóry, ze względu na obecność heparyny w zasadochłonnych ziarnach w cytoplazmie[a][5].
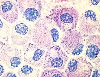
Przykład barwienia komórek tucznych błękitem toluidynowym. Komórki mogą wydawać się nieco zdegranulowane, ponieważ w czasie doświadczenia były aktywowane antygenem
Obraz mikroskopowy przekroju oka ślimaka barwionego błękitem toluidynowym (oznaczenia: VK – komora przednia, L – soczewka, R – siatkówka, Sn – nerw wzrokowy)
Dawniej błękit toluidynowy stosowano jako lek przeciwkrwotoczny przy przedawkowaniu heparyny i w krwawieniach, zwłaszcza z macicy[b], oraz środek diagnostyczny w badaniu testowym[c][2]. Jednakże ze względu na objawy niepożądane ograniczono jego stosowanie[d] i dziś stosowany jest m.in. do barwienia in vivo zmian śluzówki jamy ustnej jako badanie przesiewowe w celu wytypowania zmian[6] do dalszej diagnostyki w kierunku raka jamy ustnej[7], śluzówki przełyku[8], dróg rodnych[9][10]. Co do rakotwórczości błękitu toluidynowego rezultaty badań są niejednoznaczne[11][12].
Uwagi
- ↑
Dodatkowe barwienie błękitem toluidyny lub błękitem alcjanu uwidacznia charakterystyczne, wybarwione metachromatycznie ziarnistości komórek tucznych
[4]. - ↑ Gdyż
Podobnie jak siarczan protaminy, usuwa objawy wywołane przedawkowaniem heparyny. Jest on poza tym również skuteczny przy krwawieniach powstałych na innym tle, a zwłaszcza w przypadkach plamicy krwotocznej. Nie wpływa przy tym ani na ilość krwinek płytkowych, ani też na czas krwawienia
. Toteż:Błękit toluidynowy okazał się szczególnie skuteczny w krwawieniach macicznych, w silnych i długotrwałych krwawieniach miesięcznych
[2]. - ↑
Błękit toluidynowy podany dożylnie wydala się z ustroju przez nerki i przewód pokarmowy. Znaczna ilość barwnika wydala się w pierwszych 24 godzinach, reszta zaś w ciągu 36–48 godzin, barwiąc przy tym mocz i kał. Nie wywołuje jednak zabarwienia skóry
[2]. - ↑
Błękit toluidynowy wywołuje czasem objawy uboczne, jak nudności i wymioty, a niekiedy uczucie strachu i niepokój. Innych bardziej groźnych objawów u ludzi dotychczas nie notowano
.W doświadczeniach na zwierzętach (psach) błękit toluidynowy wywołuje hemolizę krwinek czerwonych, leukocytozę oraz zakrzepy. W dużych dawkach, podobnie jak błękit metylenowy i p-dwunitrofenol, wywołuje gorączkę obwodową, zależną od wzmożonej przemiany węglowodanowej wskutek glikogenolizy
[2].
Przypisy
- ↑ Ernst Mutschler, Farmakologia i toksykologia, Wroclaw: MedPharm Polska, 2010, s. 1053, ISBN 978-83-60466-81-0.
- 1 2 3 4 5 6 Józef Dadlez, Piotr Kubikowski, Farmakologia i toksykologia leków, wyd. 4, Warszawa: Państwowy Zakład Wydawnictw Lekarskich, 1964, s. 468–469, OCLC 802159062.
- 1 2 Tolonium chloride, [w:] ChemIDplus [online], United States National Library of Medicine [dostęp 2017-10-16] (ang.).
- ↑ Dorota Czelej i inni, Mastocytozy u dzieci i dorosłych – rozpoznawanie i postępowanie, „Nowa Medycyna”, 4, 2006, s. 83–87.
- ↑ Freida L. Carson, Christa Hladik, Histotechnology. A Self-Instructional Text, wyd. 3, Hong Kong: American Society for Clinical Pathology Press, 2009, s. 188, ISBN 0-89189-581-7, OCLC 750496410.
- ↑ C. Scully, S. Porter, ABC of oral health. Swellings and red, white, and pigmented lesions, „British Medical Journal”, 321 (7255), 2000, s. 225–228, DOI: 10.1136/bmj.321.7255.225, PMID: 10903660, PMCID: PMC1118223.
- ↑ Magdalena Pawelczyk-Madalińska, Diagnostyka przesiewowa stanów patologicznych błony śluzowej jamy ustnej, „E-dentico”, 2 (48), 2014, s. 16–17 [zarchiwizowane z adresu 2017-10-16].
- ↑ Markery nowotworowe: Klinika nowotworów przewodu pokarmowego, w ramach grantu: „Modyfikacja i wdrożenie programu nauczania onkologii w polskich uczelniach medycznych” przygotowano w Katedrze Onkologii Akademii Medycznej, Wrocław 2008.[niewiarygodne źródło?]
- ↑ Konrad Florczak, Janusz Emerich, Andrzej Staszewski, Rozszerzenie badania kolposkopowego o przyżyciowe barwienie błękitem toluidyny tarczy szyjki macicy – praca przeglądowa, „Ginekologia Praktyczna”, 11 (6), 2003, s. 37–44.
- ↑ Konrad Florczak i inni, Kolposkopowa analiza przyżyciowego barwienia błękitem toluidyny nabłonka wielowarstwowego płaskiego części pochwowej szyjki macicy, „Ginekologia Praktyczna”, 12 (3), 2004, s. 44–51.
- ↑ R.S. Redman, S.H. Krasnow, R.A. Sniffen, Evaluation of the carcinogenic potential of toluidine blue O in the hamster cheek pouch, „Oral Surgery, Oral Medicine, Oral Pathology, Oral Radiology, and Endodontology”, 74 (4), 1992, s. 473–480, DOI: 10.1016/0030-4220(92)90299-6, PMID: 1408024.
- ↑ A.J. Dunipace i inni, Mutagenic potential of toluidine blue evaluated in the Ames test, „Mutation Research”, 279 (4), 1992, s. 255–259, DOI: 10.1016/0165-1218(92)90241-Q, PMID: 1377780.
Przeczytaj ostrzeżenie dotyczące informacji medycznych i pokrewnych zamieszczonych w Wikipedii.
