Babesia divergens
![]() | |
| Systematyka | |
| Domena | |
|---|---|
| Gromada |
Piroplasmea |
| Rząd |
Piroplasmida |
| Rodzina |
Babesiidae |
| Rodzaj | |
| Gatunek |
Babesia divergens |
| Nazwa systematyczna | |
| Babesia divergens | |
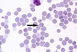
Babesia divergens – protist należy do królestwa protista, rodziny babeszje. Wywołuje u bydła chorobę pasożytniczą – babeszjozę zwaną hemoglobinurią europejską. Babesia divergens jest jedną z najmniejszych babeszji. Długość 1 µm. Szerokość 0,6 µm. Kształtu gruszkowatego. Lokalizuje się na obrzeżach krwinki.
Bibliografia
- Stanisław Furmaga: Choroby pasożytnicze zwierząt domowych. Warszawa: Państwowe Wydawnictwo Rolnicze i Leśne, 1983. ISBN 83-09-00671-3.
