Babeszjoza
| Babesiosis | |
![]() Pierwotniaki z rodzaju Babesia | |
| Klasyfikacje | |
| ICD-10 |
B60 |
|---|---|
Babeszjoza, babezjoza, piroplazmoza (łac. babesiosis) – choroba pasożytnicza zwierząt (rzadko u ludzi) wywołana przez wewnątrzerytrocytarne pierwotniaki z rodzaju Babesia przenoszone na żywiciela poprzez kleszcze z rodzaju Ixodes[1].
Podział
Klinicznie babeszjozę dzieli się na:
- Babeszjoza człowieka
- Babeszjoza koni
- Babeszjoza krów:
- Choroba teksaska
- Hemoglobinuria bydła
- Hemoglobinuria europejska
- Babeszjoza owiec
- Babeszjoza psów
Etiologia

Zachorowania u bydła są spowodowane przez Babesia divergens, Babesia bigemina, Babesia bovis i Babesia major. Z kolei u koni chorobę powoduje Babesia equi, chorobę u psów Babesia canis, chorobę u kotów Babesia felis i chorobę u myszy Babesia microti, w Europie również przez Babesia divergens i Babesia bovis[1]. U ludzi w Europie zakażenie jest spowodowane Babesia divergens i Babesia bovis, w Stanach Zjednoczonych przez Babesia microti[1].
Babesia spp. wykazuje skomplikowany cykl życiowy, w którym dochodzi do rozmnażania bezpłciowego u kręgowców i płciowego u stawonogów[2].
Sporozoity wnikają do erytrocytu, gdzie ulegają podziałowi na 2–4 merozoity i przylegając do siebie tworzą krzyż maltański[1][2]. Wywołują odkształcenie błony komórkowej krwinki czerwonej zwiększając ich skłonność do przylegania[1]. Pierwotniaki są uwalniane do krwiobiegu w wyniku lizy erytrocytu i następnie mogą zakażać kolejne krwinki czerwone. Część z tych organizmów przyjmuje formę gametocytu i po ukłuciu przez kleszcza chorego kręgowca i wyssania krwi gemetocyty są uwalniane w jego jelicie. W jelicie kleszcza przy udziale gamet dochodzi do rozmnażania płciowego i powstaje zygota, a następnie ookineta. Ookineta posiada zdolność do poruszania się i może wędrować w hemolimfie kleszcza. Mogą osiąść w różnych tkankach kleszcza i przekształcić się w uśpione sporoblasty. Po ukłuciu kręgowca sporoblasty uaktywniają się i dochodzi do sporogoni, w wyniku której powstaje duża ilość sporozoitów, które przechodzą do gruczołów ślinowych i zarażają kręgowca[2][3].
W cyklu życiowym Babesia spp. występują gospodarz należący do kręgowców, u którego pasożyt przeprowadza cykl bezpłciowy, i gospodarz należący do bezkręgowców, gdzie dochodzi do cyklu płciowego. Rolę gospodarza kręgowego pełnią przede wszystkim ssaki, szczególnie u gryzoni, ale również u kilku gatunków ptaków[4]. Niemal każdy ssak może być gospodarzem pierwotniaka. Jednak różne gatunki pasożyta zwykle wykazują pewną swoistość gatunkową. Część gatunków pierwotniaka nie ma swoistego gospodarza kręgowego[5]. Gospodarzem bezkręgowym są wyłącznie kleszcze z rodzaju Ixodes. W jednej pracy jako wektora zakażenia zidentyfikowano Ornithodoros erraticus[4].
Epidemiologia
U ludzi babeszjoza jest rzadką chorobą. Większość przypadków jest rozpoznawana w umiarkowanych regionach Stanów Zjednoczonych (łącznie około 300 przypadków) i Europy[1] (około 30 przypadków[4]). Chorobę rozpoznawano również w Chinach, Tajwanie, Egipcie, RPA i Meksyku[4]. Endemicznie babeszjoza występuje w północno-wschodniej części USA[6]. Kontakt z Babesia microti miało 4–7% populacji ludzkiej, przy czym większość zarażeń była bezobjawowa. Zróżnicowanie gatunków z rodzaju Babesia powoduje zróżnicowany obraz choroby, np. w Europie zachorowania są rzadsze, ale przebieg choroby cięższy[6].
W Polsce rozpoznano przypadki objawowego zarażenia B. microti zawleczone z krajów Ameryki Północnej i Południowej oraz zarażenia B. venatorum współistniejące u pacjentów z boreliozą. Przypadki bezobjawowej babeszjozy w Polsce są prawdopodobnie częstsze niż się przypuszcza, na co wskazują dodatnie wyniki przesiewowych badań serologicznych u osób narażonych zawodowo na kontakty z kleszczami – pracowników leśnych i rolników[7].
Drogi zakażenia
Najczęstszą przyczyną zakażenie człowieka jest kontakt z zarażonymi kleszczami, rzadsze są transmisja przez transfuzję krwi i zakażenie płodu przez matkę[6].
Przebieg choroby
Babeszjozę u ludzi charakteryzuje szerokie spektrum nasilenia klinicznego. Zakażenie często ma przebieg bezobjawowy, jednak może rozwinąć się ciężka infekcja podobna do malarii[4].
W przebiegu objawowym objawy pojawiają się po okresie wylęgania trwającym 1–4 tygodnie od ukłucia kleszcza. Choroba przypomina malarię, nieleczona może trwać kilka miesięcy[4]. W początkowej fazie choroby dominują objawy grypopodobne, pojawiają się gorączka, dreszcze, wzmożona potliwość, osłabienie, zmęczenie, bóle mięśniowo-stawowe, złe samopoczucie, niechęć do jedzenia, bóle głowy, ból brzucha, nudności i wymioty[6]. W badaniu palpacyjnym stwierdza się powiększenie wątroby i śledziony. W ciężkim przebiegu występują objawy związane z nasiloną hemolizą i uszkodzeniem wątroby. Wówczas rozwija się niedokrwistość hemolityczna i pojawia się żółtaczka. Niedokrwistość najczęściej pojawia się u chorych po splenektomii i u osób starszych[4]. Chorobę może wikłać ostra niewydolność nerek, zespół ostrej niewydolności oddechowej (ARDS) i wstrząs[1]. Ciężkie powikłania najczęściej występują u chorych z obniżoną odpornością[4].
Rozpoznanie
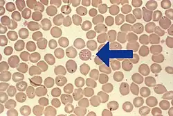
Pod mikroskopem po wybarwieniu metodą Giemsy preparatu z krwi obwodowej stwierdza się w erytrocytach obecność pierwotniaków[1]. Typowa, choć dość rzadka, jest obecność „krzyża maltańskiego”. W niektórych erytrocytach stwierdza się obecność gruszkowatych wtrętów. Ze względu na podobieństwo form wewnątrzerytrocytarnych i klinicznego przebiegu choroby do malarii zaleca się również stwierdzenie obecności pozakomórkowych merozoitów. W przypadkach wątpliwych zastosowanie znajduje PCR[8].
W badaniach laboratoryjnych stwierdza się podwyższoną aktywność AST i ALT, ALP, LDH, podwyższone stężenie bilirubiny. W morfologii stwierdza się niedokrwistość hemolityczną i małopłytkowość, rzadziej leukopenię[4]. W badaniu ogólnym moczu rozpoznaje się białkomocz i hemoglobinurię[1].
Leczenie
Bezobjawowych chorych nie leczy się, chyba że parazytemia utrzymuje się powyżej 3 miesięcy[2].
W łagodnej i umiarkowanej babeszjozie stosuje się atowakwon i azytromycynę przez 7–10 dni. Alternatywą jest leczenie klindamycyną i chininą[2]. U osób z niedoborem odporności farmakoterapia powinna minimum najmniej 6 tygodni, w tym 2 tygodnie po uzyskaniu niewykrywalności pasożytów[6].
U chorych z chorobą ciężką stosuje się dożylnie klindamycynę i doustnie chininę[2]. Alternatywnie może stosowane połączenie pentamidyny i trimetoprimu-sulfametoksazolu, połączenie atowakwonu z prokwanilem, połączenia doksycykliny, klindamycyny i azytromycyny[2][9]. W bardzo ciężkiej parazytemii lub przy powikłaniach zagrażających życiu stosuje się transfuzję wymienną[2].
Rokowanie
U chorych ze sprawnym układem odpornościowym choroba przebiega łagodnie[9], śmiertelność wynosi około 7%[6]. U chorych po usunięciu śledziony choroba przebiega ciężko i śmiertelność sięga 50%[9].
Historia
Babeszjozę jako pierwszy opisał w 1888 roku rumuński lekarz Victor Babeș, który odkrył obecność pierwotniaka w erytrocytach bydlęcych. W 1893 roku odkryto rolę kleszczy w szerzeniu się choroby. W 1957 roku rozpoznano pierwszy przypadek zachorowania u człowieka[1].
Klasyfikacja ICD10
| kod ICD10 | nazwa choroby |
|---|---|
| ICD-10: B60 | Inne choroby pierwotniakowe niesklasyfikowane gdzie indziej |
| ICD-10: B60.0 | Babeszjoza |
Przypisy
- 1 2 3 4 5 6 7 8 9 10 Cianciara i Juszczyk 2007 ↓, s. 481.
- 1 2 3 4 5 6 7 8 E. Vannier, B.E. Gewurz, P.J. Krause. Human babesiosis. „Infect Dis Clin North Am”. 22 (3), s. 469-488, viii-ix, Sep 2008. DOI: 10.1016/j.idc.2008.03.010. PMID: 18755385.
- ↑ W. Rożej-Bielicka, H. Stypułkowska-Misiurewicz, E. Gołąb. Human babesiosis. „Przegl Epidemiol”. 69 (3), s. 489–494, 2015. PMID: 26519845.
- 1 2 3 4 5 6 7 8 9 M.J. Homer, I. Aguilar-Delfin, S.R. Telford, P.J. Krause i inni. Babesiosis. „Clin Microbiol Rev”. 13 (3), s. 451–469, Jul 2000. PMID: 10885987.
- ↑ A. Chauvin, E. Moreau, S. Bonnet, O. Plantard i inni. Babesia and its hosts: adaptation to long-lasting interactions as a way to achieve efficient transmission. „Vet Res”. 40 (2). s. 37. DOI: 10.1051/vetres/2009020. PMID: 19379662.
- 1 2 3 4 5 6 Anna Parfieniuk-Kowerda, Babeszjoza [online], 15 marca 2017 [dostęp 2017-05-25].
- ↑ Babeszjoza – kolejny „prezent” od kleszcza dla człowieka [online], Centrum Diagnostyczne Narodowego Instytutu Zdrowia Publicznego – Państwowego Zakładu Higieny [dostęp 2018-07-20] [zarchiwizowane z adresu 2018-07-20].
- ↑ Cianciara i Juszczyk 2007 ↓, s. 481–482.
- 1 2 3 Cianciara i Juszczyk 2007 ↓, s. 482.
Bibliografia
- Janusz Cianciara, Jacek Juszczyk: Choroby zakaźne i pasożytnicze. Lublin: CZELEJ, 2007. ISBN 978-83-60608-34-0.
Przeczytaj ostrzeżenie dotyczące informacji medycznych i pokrewnych zamieszczonych w Wikipedii.
