Białaczka
| leucaemia | |
![]() |
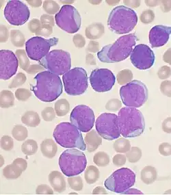
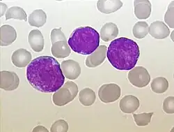
Białaczka (łac. leucaemia) – grupa nowotworów złośliwych o różnym przebiegu i objawach, która jest spowodowana patologicznym klonalnym rozrostem komórek układu krwiotwórczego o różnym stopniu dojrzałości w szpiku kostnym, a także w węzłach chłonnych i narządach krwiotwórczych okresu płodowego (wątroba, śledziona), a w późniejszym etapie również w innych tkankach. W konsekwencji choroby dochodzi do zaburzeń ilościowych i jakościowych komórek krwi obwodowej[1].
Klasyfikacja białaczek


Tradycyjnie białaczki są dzielone ze względu na przebieg (białaczki ostre i przewlekłe) oraz na linię pochodzenia (białaczki szpikowe i limfatyczne). Obecnie obowiązuje podział WHO nowotworów układu krwiotwórczego, który dzieli choroby rozrostowe na podstawie linii komórkowych, cech morfologicznych, immunofenotypowych i genetycznych.
Tradycyjny podział białaczek:
- białaczki ostre
- ostra białaczka szpikowa (AML) – grupa nowotworów charakteryzująca się obecnością klonu stransformowanych komórek wywodzących się z wczesnych etapów mielopoezy
- ostra białaczka limfoblastyczna (ALL) – nowotwory wywodzące się z prekursorów linii limfoidalnej (limfoblastów) z której powstają limfocyty
- białaczki przewlekłe
- przewlekła białaczka szpikowa (CML) – obecnie jest zaliczana do zespołów mieloproliferacyjnych
- przewlekła białaczka limfatyczna (CLL) – klonalny rozrost dojrzałych limfocytów
Diagnostyka
Ze względu na bardzo duże zróżnicowanie poszczególnych typów białaczek istnieją osobne kryteria rozpoznania dla każdej z tych chorób.
Kluczowymi badaniami są rozmaz krwi obwodowej oraz biopsja szpiku kostnego i jego badanie pod mikroskopem świetlnym, badanie cytochemiczne, genetyczne i molekularne. Rozmaz krwi obwodowej może wykazać niedokrwistość, trombocytopenię oraz zaburzenia w obrębie układu białokrwinkowego. Często występuje podwyższona liczba leukocytów (leukocytoza), niekiedy przekraczając 100 000/μl, jednak ich liczba może być prawidłowa lub obniżona (leukopenia). W rozmazie mogą występować blasty – niedojrzałe komórki prekursorowe. Biopsja szpiku dostarcza materiał do badania pod mikroskopem świetlnym, które często pozwala określić typ morfologiczny białaczki. Badania cytochemiczne, genetyczne i molekularne pozwalają dokładnie określić typ białaczki oraz określić czynniki rokownicze niezbędne do wyboru strategii leczenia[2].
Leczenie
Leczenie ostrych białaczek opiera się na chemioterapii i składa się z trzech faz: indukcji remisji, konsolidacji remisji i leczenia podtrzymującego. W leczeniu konsolidacyjnym w zależności od stanu chorego i ryzyka nawrotu choroby przeprowadza się przeszczep szpiku kostnego[3].
Postępowanie w przewlekłej białaczce limfatycznej jest uzależnione od stanu choroby i w korzystnych warunkach przyjmuje się postawę wyczekującą z regularną kontrolą kliniczną. Jeśli istnieją wskazania do leczenia przeprowadza się chemioterapię[4].
W leczeniu przewlekłej białaczki szpikowej stosuje się inhibitory kinazy tyrozynowej (imatynib) oraz przeszczep szpiku[5].
Klasyfikacja ICD10
| kod ICD10 | nazwa choroby |
|---|---|
| ICD-10: C91 | Białaczka limfatyczna |
| ICD-10: C92 | Białaczka szpikowa |
| ICD-10: C93 | Białaczka monocytowa |
| ICD-10: C94 | Inne białaczki określonego rodzaju |
| ICD-10: C95 | Białaczka z komórek nieokreślonego rodzaju |
Przypisy
- ↑ Kruś i Skrzypek-Fakhoury 2007 ↓, s. 744.
- ↑ Szczeklik i Gajewski 2014 ↓, s. 1636–1638, 1647–1649, 1661–1662, 1687–1688.
- ↑ Szczeklik i Gajewski 2014 ↓, s. 1640–1644, 1649–1650.
- ↑ Szczeklik i Gajewski 2014 ↓, s. 1689.
- ↑ Szczeklik i Gajewski 2014 ↓, s. 1662–1663.
Bibliografia
- Stefan Kruś, Ewa Skrzypek-Fakhoury: Patomorfologia kliniczna. Warszawa: PZWL, 2007. ISBN 978-83-200-3283-3.
- Andrzej Szczeklik, Piotr Gajewski: Interna Szczeklika 2014. Kraków: Medycyna Praktyczna, 2014. ISBN 978-83-7430-405-4.
Przeczytaj ostrzeżenie dotyczące informacji medycznych i pokrewnych zamieszczonych w Wikipedii.
