Leukocyty
| leukocytes | |
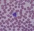
![]() Przykład leukocytu – neutrofil otoczony przez erytrocyty. Preparat barwiony. Obraz spod mikroskopu. |
Leukocyty, krwinki białe – elementy morfotyczne krwi. Są niemal bezbarwne i mniej liczne od erytrocytów, posiadają zdolność ruchu. Żyją od kilku dni (granulocyty) nawet do 20 lat (limfocyty B pamięci immunologicznej). Ich zadaniem jest ochrona organizmu przed patogenami, takimi jak wirusy i bakterie. Wszystkie leukocyty wykazują ekspresję cząsteczki CD45[1].
Podstawowe cechy leukocytów
- ich liczba waha się od 4×109 do 10×109 w litrze krwi (podając inaczej: 4–10 tys./mm³ lub 4–10 G/L)
- są większe od krwinek czerwonych
- w ich komórkach występuje jądro (mają swój własny metabolizm i możliwość podziału)
- u dużej części krwinek białych (granulocyty) w cytoplazmie występuje charakterystyczna ziarnistość (są to np. lizosomy, które zawierają enzymy)
Leukocyty są podstawowym elementem układu odpornościowego. Ich funkcja odpornościowa jest realizowana przez:
- fagocytozę (pochłanianie, trawienie komórek drobnoustrojów oraz martwych krwinek czerwonych przez część krwinek białych)
- odporność swoistą (produkcja przeciwciał oraz reakcja limfocytów T)
- degranulację i produkcję rodników
Leukocyty dzielą się na:
- agranulocyty – w skład których wchodzą:
- granulocyty – w skład których wchodzą:
| Typ | Zdjęcia | Schemat | Udział % we wszystkich leukocytach[2] | Opis |
|---|---|---|---|---|
| Neutrofil | ![]() | ![]() | 54–62% | Neutrofile (granulocyty obojętnochłonne) zapewniają ochronę przed drobnoustrojami na drodze fagocytozy, są wytwarzane intensywnie podczas stanów zapalnych. Posiadają jądra podzielone na segmenty (2-5). Poruszają się ruchem pełzakowatym. Są odpowiedzialne za wytwarzanie ropy. Żyją 2–4 dni, umierają od zatrucia bakteriami. |
| Eozynofil | ![]() | 1–6% | Eozynofile (granulocyty kwasochłonne) są odpowiedzialne za niszczenie obcych białek np. alergenów. Są intensywnie wytwarzane podczas zarażenia pasożytem. Poruszają się ruchem pełzakowatym i fagocytują. Są odpowiedzialne za niszczenie larw i jaj pasożytów. Mają jądro okularowe. Eozynofile regulują procesy alergiczne – powodują, że alergia jest łagodniejsza. | |
| Bazofil | ![]() | <1% | Bazofile (granulocyty zasadochłonne) posiadają zdolności do fagocytozy (mniejszą niż neutrofile)[3]. Nie poruszają się ruchem pełzakowatym. Produkują interleukinę 4, która pobudza limfocyty B oraz heparynę i serotoninę. | |
| Limfocyt | ![]() | ![]() | 25–33% | Limfocyty należą do agranulocytów. Mają kuliste jądra i okrągły kształt. Dzielą się na:
|
| Monocyt | 2–10% | Monocyty są największymi z leukocytów. Posiadają duże jądro oraz wytwarzają interferon. Monocyty mają dużą zdolność do fagocytozy. Gdy dojrzeją przekształcają się w makrofagi. | ||
| Makrofag | ![]() | ![]() | – | Są to dojrzałe monocyty, które przedostały się poza światło naczynia. |
Różnice w budowie i funkcjach pomiędzy agranulocytami a granulocytami
Granulocyty posiadają między innymi swoiste ziarnistości w cytoplazmie oraz płatowate jądro. Dzielą się na trzy podgrupy:
- neutrofile (granulocyty obojętnochłonne) – do 63,3% wszystkich krwinek białych
- bazofile (granulocyty zasadochłonne) ok. 0,5% wszystkich krwinek białych
- eozynofile (granulocyty kwasochłonne) do 3% wszystkich krwinek białych
Agranulocyty cechuje natomiast brak ziarnistości w cytoplazmie, pojedyncze, zwykle kuliste albo nerkowate jądro oraz lekko zasadochłonna cytoplazma. W tej grupie krwinek wyróżnia się:
Krwinki białe różnią się wyglądem i pełnioną funkcją. Granulocyty biorą udział w reakcjach alergicznych i wspomagają limfocyty w niszczeniu ciał obcych. Jest ich najwięcej, stanowią ok. 70% wszystkich leukocytów. Monocyty niszczą bakterie przez fagocytozę. Gdy monocyty są umiejscowione w tkankach, nazywane są makrofagami. Nadawane są im specyficzne nazwy ze względu na umiejscowienie, np. w węzłach chłonnych tworzą, tzw. komórki wyściełające zatoki. Stanowią najmniejszą grupę leukocytów. Limfocyty występują w dwóch postaciach, jako limfocyty B (funkcjonują w ramach odpowiedzi humoralnej) i limfocyty T (funkcjonują w ramach odpowiedzi komórkowej) i mają za zadanie wytwarzać przeciwciała (immunoglobuliny), które są obronną reakcją organizmu na obecność obcych antygenów, przy czym komórki B w reakcjach immunologicznych potrzebują pomocy specyficznych limfocytów (komórek) T – Th (od T helper), tzw. limfocytów pomocniczych. Istnieją także inne limfocyty, których działanie polega na regulacji pracy komórek B. Komórki NK (natural killers – naturalni zabójcy) to specyficzne limfocyty, których nazwa pochodzi od pełnionej funkcji, tj. niszczenia komórek nowotworowych i ciał wirusów. Ich działanie polega na niszczeniu błony komórkowej i uwalnianiu jej treści, która później jest fagocytowana. Krwinki białe produkowane są w szpiku kostnym, węzłach chłonnych, grasicy i śledzionie.
Normy
Liczba leukocytów we krwi krążącej (do badania pobiera się krew żylną) jest zmienna w szerokich granicach i zależy od bardzo wielu czynników zarówno fizjologicznych jak i chorobowych. Normy liczby leukocytów we krwi dorosłego człowieka: 4000-10000 leukocytów/mm³.
Zmniejszona liczba leukocytów we krwi określana jest terminem leukopenia, natomiast zwiększona hiperleukocytoza lub potocznie leukocytoza.
Przypisy
- ↑ MH. Dahlke, SR. Larsen, JE. Rasko, HJ. Schlitt. The biology of CD45 and its use as a therapeutic target.. „Leuk Lymphoma”. 45 (2), s. 229-36, Feb 2004. PMID: 15101706.
- ↑ Paul R. Wheater, H. George Burkitt, Victor G. Daniels: Functional histology: a text and colour atlas. Edinburgh: Churchill Livingstone, 1979. ISBN 0-443-01657-7.
- ↑ Wojciech Sawicki: Histologia: podręcznik dla studentów. Wyd. V (dodruk). Warszawa: Wydawnictwo Lekarskie PZWL, 2009, s. 215. ISBN 978-83-200-4103-3.
Przeczytaj ostrzeżenie dotyczące informacji medycznych i pokrewnych zamieszczonych w Wikipedii.








