Bruceloza

Bruceloza (łac. Brucellosis lub Abortus epizooticus) – przewlekła i zakaźna bakteryjna choroba różnych gatunków zwierząt domowych i dzikich, jak również człowieka. Choroba ta u człowieka znana jest również pod nazwami: gorączka maltańska, choroba Banga, gorączka falująca, gorączka kozia, gorączka skalna, gorączka gibraltarska, gorączka Rio Grande.
Etiologia
Chorobę wywołują bakterie z rodzaju Brucella. Są to gramujemne pałeczki, nieposiadające rzęsek, ani otoczek, niewytwarzające przetrwalników bakterie tlenowe.
Bruceloza bydła
Brucelozę u bydła wywołuje Brucella abortus – pałeczka ronienia bydła. U bydła jest to przewlekła choroba zakaźna o przebiegu enzootycznym, cechująca się występowaniem ronień w zaawansowanej ciąży.
Źródła zakażenia i patogeneza
Głównym źródłem zakażenia są zwierzęta chore, które przy poronieniu lub podczas porodu wydalają na zewnątrz bakterie z płodem, wodami płodowymi i błonami płodowymi. Dochodzi do zakażenia wody, ściółki, paszy. Innym równie poważnym źródłem zakażenia może być mleko zakażonych zwierząt.
Objawy
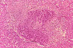
Inkubacja trwa od 14 dni do pół roku. Po tym okresie u samic występują poronienia. Wody płodowe są mętne o brunatnoczekoladowej barwie. Błony płodowe pokryte wybroczynami, zgrubiałe. Kosmki wykazują ogniska martwicowe. Ogniska martwicowe występują także w macicy. U buhajów jądra powiększone są z ogniskami martwiczymi i rozrostem łącznotkankowym.
Rozpoznawanie
Brucelozę rozpoznajemy na podstawie:
- wywiadu epizootiologicznego
- badań laboratoryjnych (odgrywają największą rolę przy rozpoznawaniu brucelozy)
- badań bakteriologicznych: do badań wykorzystuje się wątrobę, śledzionę, wycinki węzłów chłonnych, ewentualnie poronione płody, mleko, nasienie, wycinki łożyska; płód do badania przesyłany jest w całości i musi być odpowiednio zabezpieczony (zniwelowanie możliwości zakażenia środowiska i materiału)
- badań serologicznych (krew na surowicę)
- badań biologicznych – wykonuje się je na zwierzętach laboratoryjnych. Kawie domowe są bardzo wrażliwe na zakażenie szczepami Brucella. Po zakażeniu zwierzęcia rozcierem badanego materiału począwszy od 2 tyg. bada się krew na obecność przeciwciał anty-Brucella. Po 5-6 tyg zwierzęta usypia się. W przypadku brucellozy stwierdza się sekcyjnie obrzęki stawów, węzłów chłonnych i śledziony. Kawie zakażone materiałem chorobotwórczym ronią nawet przy słabo zaznaczonych zmianach chorobowych.
Rozpoznanie różnicowe
Należy wykluczyć następujące schorzenia: leptospirozę, listeriozę, aspergilozę, rzęsistkowicę, epizootyczne ronienie bydła.
Leczenie
Leczenie sztuk chorych na brucelozę jest zabronione. Jest nakaz zgłaszania. Choroba zwalczana z urzędu.
Zapobieganie i zwalczanie
Niedopuszczalne jest szczepienie przeciwko brucelozie (Rozporządzenie Ministra Rolnictwa i Rozwoju Wsi).
Bruceloza świń
Chorobę wywołuje szczep Brucella suis. Świnie mogą zakażać się szczepem Brucella abortus, lecz brak jest objawów chorobowych.
Źródła zakażenia i patogeneza
Jak u bydła.
Objawy
Występują ronienia w czasie całego okresu ciąży. Porody martwych lub źle rozwiniętych prosiąt. Następstwem ronień jest bezpłodność. U knurów występuje zapalenie jąder.
Rozpoznawanie
Zasady rozpoznawania podobne jak w brucelozie bydła.
Rozpoznanie różnicowe
Należy wykluczyć: chorobę Aujeszkiego, leptospirozę, salmonellozę, listeriozę, rzęsistnicę.
Zapobieganie i zwalczanie
Należy wybić wszystkie zwierzęta z dodatnim odczynem serologicznym, odkazić chlewy, wybiegi. Mięso zwierząt poddanych ubojowi z konieczności jest warunkowo zdatne do spożycia. Zwierzęta importowane są badane i poddawane kwarantannie na 21 dni. Według aktualnie obowiązujących przepisów, tuszę i narządy wewnętrzne zwierząt chorych na brucelozę uznaje się za niezdatne do spożycia.
Bruceloza owiec
Brucelozę u owiec powoduje najczęściej Brucella melitensis, rzadziej Brucella abortus.
Leczenie
Leczenie sztuk chorych na brucelozę jest zabronione.
Zapobieganie i zwalczanie
Bruceloza owiec w Polsce jest chorobą zwalczaną z urzędu. Zwierzęta chore są likwidowane, pomieszczenia odkażane. Szczegółowe zasady postępowania w wypadku stwierdzenia choroby są regulowane rozporządzeniami Ministerstwa Rolnictwa.
Bruceloza koni
Według Sellon i Long „Infectious Diseases of Horses” za brucelozę u koni odpowiedzialna jest Brucella melitensis.
Bruceloza psów
Najczęściej chorują psy trzymane w gospodarstwach w których występuje bruceloza zwierząt gospodarskich. Zarażenie następuje w efekcie zjadania odpadów poporodowych lub poprzez picie mleka zwierząt chorych na brucelozę. U samców występuje zapalenie jąder i najądrzy, a u suk dochodzi do poronień.
Bruceloza zajęcy
Rozpoznawanie
Charakterystyczne zmiany anatomopatologiczne widoczne podczas sekcji pozwalają na łatwe rozpoznanie. Można również prowadzić badania bakteriologiczne, serologiczne.
Bruceloza człowieka – zoonoza
| Brucellosis | |
| Klasyfikacje | |
| ICD-10 | |
|---|---|
Dla człowieka chorobotwórcze są Brucella melitensis, Brucella suis, Brucella abortus i Brucella canis. Objawy choroby u człowieka to: osłabienie, bóle mięśniowe, gorączka (rzadko falista). Dodatkowo mogą wystąpić: bóle głowy, bóle stawów, dolegliwości sercowe, zaburzenia psychiczne, utrata słuchu, bóle jąder, wysypki skórne. Najbardziej narażonymi na zachorowanie są lekarze weterynarii, technicy weterynarii, oborowi i dojarze, owczarze, rzeźnicy i mleczarze.
Najczęściej chorobę wywołuje Brucella melitensis[1].
Zapobieganie
Nie jest znany żaden mechanizm przenoszenia się tej choroby z człowieka na człowieka. Nie odkryto także szczepionki. Dlatego jedyne zalecenia dotyczą przestrzegania higieny osobistej, oraz nieprzyjmowania produktów zwierzęcych (np. mleka) o niewiadomym pochodzeniu, będąc w krajach Afryki Subsaharyjskiej[1].
Rozpoznanie
Rozpoznanie stawia się w oparciu o wywiad epidemiologiczny i badanie serologiczne:
- odczyn aglutynacji Wrighta
- odczyn wiązania dopełniacza
- odczyn skórno-alergiczny Burneta
Jest łatwa do pomylenia z malarią (szczególnie, że obie choroby występują w afrykańskiej strefie tropikalnej)[1].
Leczenie
Antybiotyki skuteczne wobec bakterii Brucella to tetracykliny, ryfampicyna oraz aminoglikozydy: streptomycyna i gentamycyna. Leczenie musi trwać kilka tygodni, ponieważ bakterie namnażają się wewnątrzkomórkowo.
Sprawdzonym[przez kogo?] sposobem leczenia dla dorosłych jest podawanie domięśniowo 1 g streptomycyny przez 3 tygodnie oraz jednoczesne doksycykliny doustnie w dawce 100 mg 2 razy dziennie przez 6 tygodni.
Powikłania
- zapalenie wsierdzia
- zapalenie szpiku kostnego
- zapalenie opon mózgowych i mózgu
- ropień śledziony
- zapalenie jąder
Historia
U człowieka ta choroba była już znana przed naszą erą.
Klasyfikacja ICD10
| kod ICD10 | nazwa choroby |
|---|---|
| ICD-10: A23 | Bruceloza |
| ICD-10: A23.0 | Bruceloza wywołana pałeczką maltańską [Br.melitensis] |
| ICD-10: A23.1 | Bruceloza wywołana pałeczką ronienia krów [Br.abortus var.bovis] |
| ICD-10: A23.2 | Bruceloza wywołana pałeczką ronienia świń [Br.abortus var.suis] |
| ICD-10: A23.3 | Bruceloza wywołana pałeczką psią [Br.canis] |
| ICD-10: A23.9 | Bruceloza, nie określona |
Przypisy
- 1 2 3 M. Ducrotoy i inni, Brucellosis in Sub-Saharan Africa: Current challenges for management, diagnosis and control, „Acta Tropica”, 165, The Fate of Neglected Zoonotic Diseases, 2017, s. 179–193, DOI: 10.1016/j.actatropica.2015.10.023.
Bibliografia
- Janowski H. i inni, Choroby bydła, Państwowe wydawnictwo rolnicze i leśne 1983, s. 480-489, ISBN 83-09-00650-0.
- Cąkała S. i inni, Choroby owiec, Państwowe wydawnictwo rolnicze i leśne 1981, s. 272-274, ISBN 83-09-00473-7.
- Beer J. i in., Choroby zakaźne zwierząt domowych 1980, Państwowe Wydawnictwo Rolnicze i Leśne, tom II, s. 239-273, ISBN 83-09-00332-3.
- Gerd Herold: Medycyna wewnętrzna. Repetytorium dla studentów medycyny i lekarzy. Warszawa: PZWL, 2006. ISBN 83-200-3380-2.
Przeczytaj ostrzeżenie dotyczące informacji medycznych i pokrewnych zamieszczonych w Wikipedii.