Choroba Kikuchi-Fujimoto

Choroba Kikuchi-Fujimoto (ang. Kikuchi-Fujimoto disease, KFD, Kikuchi's disease, histiocytic necrotizing lymphadenitis) – niezwykle rzadka choroba, samoograniczająca się i o łagodnym przebiegu, charakteryzująca się bolesną limfadenopatią węzłów szyjnych, której zazwyczaj towarzyszy łagodna gorączka i nocne poty. Do rzadszych objawów należą utrata wagi, nudności, wymioty, suchość i ból gardła, wysypka[1][2]. Wyjątkowo występuje zajęcie ośrodkowego układu nerwowego (pod postacią np. aseptycznego zapalenia opon mózgowo-rdzeniowych)[2].
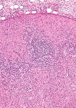
Choroba Kikuchi-Fujimoto jest bardzo rzadka; przypadki opisywano na całym świecie, częściej w populacji japońskiej. Obraz kliniczny, histopatologia i cechy immunohistochemiczne sugerują etiologię wirusową schorzenia, ale jak dotąd nie udowodniono tej hipotezy[3]. Rozpoznanie stawiane jest zazwyczaj na podstawie wyniku biopsji powiększonych węzłów szyjnych. Choroba spontanicznie ustępuje w przeciągu 1-4 miesięcy[1]. Chorobę opisali, niezależnie od siebie, Masahiro Kikuchi i Y. Fujimoto w 1972 roku.
Przypisy
- 1 2 Bosch X, Guilabert A. Kikuchi-Fujimoto disease. „Orphanet J Rare Dis”. 1 (18), 2006. DOI: 10.1186/1750-1172-1-18. PMID: 16722618. PMCID: PMC1481509.
- 1 2 Hyun-Duk Yang i inni, Aseptic Meningitis in Kikuchi's Disease, „Journal of Clinical Neurology (Seoul, Korea)”, 1 (1), 2005, s. 104–106, DOI: 10.3988/jcn.2005.1.1.104, ISSN 1738-6586, PMID: 20396479, PMCID: PMC2854927 [dostęp 2018-03-25].
- ↑ FG. Rosado, YW. Tang, RP. Hasserjian, CM. McClain i inni. Kikuchi-Fujimoto lymphadenitis: role of parvovirus B-19, Epstein-Barr virus, human herpesvirus 6, and human herpesvirus 8.. „Hum Pathol”. 44 (2), s. 255-9, Feb 2013. DOI: 10.1016/j.humpath.2012.05.016. PMID: 22939574.
Przeczytaj ostrzeżenie dotyczące informacji medycznych i pokrewnych zamieszczonych w Wikipedii.