Choroba Lhermitte’a-Duclos



Choroba Lhermitte’a-Duclos (dysplastyczny zwojak móżdżku, ang. Lhermitte-Duclos disease, LDD, dysplastic gangliocytoma of the cerebellum, purkinjeoma) – rzadki, łagodny (I° według WHO), dysplastyczny guz móżdżku, niekiedy klasyfikowany jako hamartoma.
Epidemiologia
Dysplastyczny zwojak móżdżku jest rzadką chorobą. Występuje najczęściej w 2. i 3. dekadzie życia, częściej u płci męskiej[1]. Często występuje w przebiegu choroby Cowden spowodowanej mutacjami genu PTEN; obecnie spektrum schorzeń związanych z mutacjami tego genu, do których należy choroba Lhermiitte'a-Duclos, określa się jako zespoły guzów hamartomatycznych związane z mutacjami PTEN[2]. Według kryteriów diagnostycznych International Cowden Consortium choroba Lhermitte’a-Duclos jest objawem patognomonicznym dla zespołu Cowden[3].
Objawy i przebieg
Objawy choroby narastają powoli i wiążą się ze wzrostem ciśnienia śródczaszkowego oraz dysfunkcją móżdżku. Są to bóle głowy, ataksja, drżenie, zaburzenia widzenia i nieprawidłowości w EEG[4]. Rozpoznanie stawiane jest zazwyczaj w MRI głowy[5].
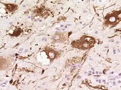
Obraz histologiczny
Histologicznie stwierdza się pogrubienie warstwy ziarnistej wewnętrznej kory móżdżku i liczne dysplastyczne neurony (komórki zwojowe) mające pęcherzykowate jądro komórkowe z widocznym jąderkiem[6].
Leczenie
Leczenie polega na odbarczeniu tylnego dołu czaszki i chirurgicznej resekcji guza.
Historia
Nazwa pochodzi od francuskich neurologów, Jacques’a Jeana Lhermitte’a i P. Duclos, którzy opisali chorobę jako pierwsi[7][8]. Przez długi czas histogeneza guza była niejasna, stąd duża liczba historycznych, zarzuconych już nazw choroby: guz opisywany był jako przerost warstwy ziarnistej, rozlana hipertrofia kory móżdżku, gangliogliomatosis cerebelli, hamartoma cerebelli, ganglioneuroma[9].
Przypisy
- ↑ Reznik M, Schoenen J. Lhermitte-Duclos disease. „Acta Neuropathol”. 2 (59), s. 88-94, 1983. PMID: 6837278.
- ↑ Lachlan KL, Lucassen AM, Bunyan D, Temple IK. Cowden syndrome and Bannayan-Riley-Ruvalcaba syndrome represent one condition with variable expression and age-related penetrance: results of a clinical study of PTEN mutation carriers. „J Med Genet”. 44, s. 579-585, 2007. PMID: 17526800.
- ↑ Eng C. Will the real Cowden syndrome please stand up: revised diagnostic criteria. „J Med Genet”. 37, s. 828-30, 2000. PMID: 11073535.
- ↑ Dziedziczne choroby móżdżku i rdzenia oraz rzadkie genetycznie uwarunkowane choroby neurozwyrodnieniowe ośrodkowego układu nerwowego. W: Paweł P. Liberski, Mirosław J. Mossakowski: Choroby układu nerwowego. Wojciech Kozubski, Paweł P. Liberski (red.). Warszawa: Wydawnictwo Lekarskie PZWL, 2004, s. 370-371. ISBN 83-200-2636-9.
- ↑ S Nagaraja, T Powell, PD Griffiths, ID Wilkinson. MR imaging and spectroscopy in Lhermitte-Duclos disease. „Neuroradiology”. 46 (5), s. 355-8, May 2004. DOI: 10.1007/s00234-004-1201-7. PMID: 15103436.
- ↑ Mirosław Jan Mossakowski, Paweł P. Liberski: Guzy układu nerwowego. Wrocław: Zakład Narodowy im. Ossolińskich, 1997, s. 133-134. ISBN 83-04-04366-1.
- ↑ Lhermitte J, Duclos P. Sur un ganglioneurome diffus du cortex du cervelet. „Bulletin de l'Association francaise pour l'etude du cancer”. 9, s. 99-107, 1920.
- ↑ Lhermitte-Duclos syndrome w bazie Who Named It (ang.)
- ↑ Nowotwory ośrodkowego układu nerwowego. W: Dariusz J. Jaskólski, Wielisław Papierz, Wojciech Biernat, Paweł P. Liberski: Choroby układu nerwowego. Wojciech Kozubski, Paweł P. Liberski (red.). Warszawa: Wydawnictwo Lekarskie PZWL, 2004, s. 163. ISBN 83-200-2636-9.
Przeczytaj ostrzeżenie dotyczące informacji medycznych i pokrewnych zamieszczonych w Wikipedii.